Cardiac Myxoma as a Mimicker of Cerebral Vasculitis: A Case Report.

IF 0.9 Q4 CLINICAL NEUROLOGY
Case Reports in Neurological Medicine Pub Date : 2024-11-30 eCollection Date: 2024-01-01 DOI:10.1155/crnm/8675344
Nasser M AbuDujain, Abdulaziz Alshoumar, Awyshah M Alqahtani, Sohaila A Alshimemeri
{"title":"Cardiac Myxoma as a Mimicker of Cerebral Vasculitis: A Case Report.","authors":"Nasser M AbuDujain, Abdulaziz Alshoumar, Awyshah M Alqahtani, Sohaila A Alshimemeri","doi":"10.1155/crnm/8675344","DOIUrl":null,"url":null,"abstract":"<p><p>Cardiac myxoma is considered the most common primary cardiac tumor and has been reported to cause different neurological complications through distinctive mechanisms, including pseudovasculitis. Herein, we present and review a case of a young male with a previous history of ischemic stroke who presented with multiple territorial ischemic insults in the presence of a presumed diagnosis of vasculitis. Once further workup was done, he was found to have a left atrial myxoma.</p>","PeriodicalId":9615,"journal":{"name":"Case Reports in Neurological Medicine","volume":"2024 ","pages":"8675344"},"PeriodicalIF":0.9000,"publicationDate":"2024-11-30","publicationTypes":"Journal Article","fieldsOfStudy":null,"isOpenAccess":false,"openAccessPdf":"https://www.ncbi.nlm.nih.gov/pmc/articles/PMC11625082/pdf/","citationCount":"0","resultStr":null,"platform":"Semanticscholar","paperid":null,"PeriodicalName":"Case Reports in Neurological Medicine","FirstCategoryId":"1085","ListUrlMain":"https://doi.org/10.1155/crnm/8675344","RegionNum":0,"RegionCategory":null,"ArticlePicture":[],"TitleCN":null,"AbstractTextCN":null,"PMCID":null,"EPubDate":"2024/1/1 0:00:00","PubModel":"eCollection","JCR":"Q4","JCRName":"CLINICAL NEUROLOGY","Score":null,"Total":0}
引用次数: 0

Abstract

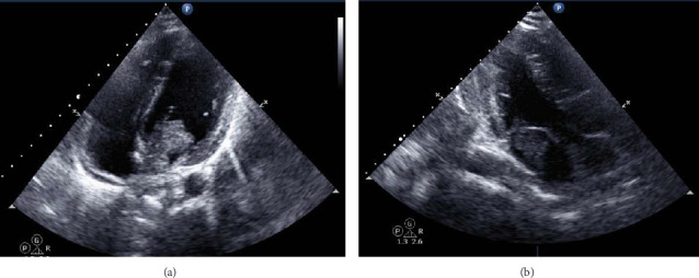
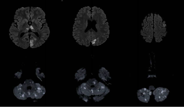
Cardiac myxoma is considered the most common primary cardiac tumor and has been reported to cause different neurological complications through distinctive mechanisms, including pseudovasculitis. Herein, we present and review a case of a young male with a previous history of ischemic stroke who presented with multiple territorial ischemic insults in the presence of a presumed diagnosis of vasculitis. Once further workup was done, he was found to have a left atrial myxoma.

Abstract Image

Abstract Image

心脏黏液瘤模拟脑血管炎1例报告。
心脏黏液瘤被认为是最常见的原发性心脏肿瘤,据报道,它通过不同的机制引起不同的神经系统并发症,包括假性血管炎。在这里,我们提出并回顾一个年轻的男性与缺血性中风的历史,谁提出了多个领土缺血性损伤的存在推定诊断血管炎的情况下。进一步检查后,发现他患有左心房黏液瘤。
本文章由计算机程序翻译,如有差异,请以英文原文为准。
求助全文
约1分钟内获得全文 求助全文
来源期刊
自引率
0.00%
发文量
26
审稿时长
11 weeks
×
引用
GB/T 7714-2015
复制
MLA
复制
APA
复制
导出至
BibTeX EndNote RefMan NoteFirst NoteExpress
×
提示
您的信息不完整,为了账户安全,请先补充。
现在去补充
×
提示
您因"违规操作"
具体请查看互助需知
我知道了
×
提示
确定
请完成安全验证×
copy
已复制链接
快去分享给好友吧!
我知道了
右上角分享
点击右上角分享
0
联系我们:info@booksci.cn Book学术提供免费学术资源搜索服务,方便国内外学者检索中英文文献。致力于提供最便捷和优质的服务体验。 Copyright © 2023 布克学术 All rights reserved.
京ICP备2023020795号-1
ghs 京公网安备 11010802042870号
Book学术文献互助
Book学术文献互助群
群 号:604180095
Book学术官方微信