Preassembled complexes of hAgo2 and ssRNA delivered by nanoparticles: a novel silencing gene expression approach overcoming the absence of the canonical pathway of siRNA processing in the apicomplexan parasite Babesia microti, blood parasite of veterinary and zoonotic importance.

IF 7.5 2区 医学 Q1 IMMUNOLOGY
Emerging Microbes & Infections Pub Date : 2025-12-01 Epub Date: 2025-01-06 DOI:10.1080/22221751.2024.2438658
Shimaa A E-S El-Sayed, Mohamed A Rizk, Hang Li, Uday Kumar Mohanta, Iqra Zafar, Shengwei Ji, Zhuowei Ma, Thom Do, Yongchang Li, Daisuke Kondoh, Jerzy Jaroszewski, Xuenan Xuan
{"title":"Preassembled complexes of hAgo2 and ssRNA delivered by nanoparticles: a novel silencing gene expression approach overcoming the absence of the canonical pathway of siRNA processing in the apicomplexan parasite Babesia microti, blood parasite of veterinary and zoonotic importance.","authors":"Shimaa A E-S El-Sayed, Mohamed A Rizk, Hang Li, Uday Kumar Mohanta, Iqra Zafar, Shengwei Ji, Zhuowei Ma, Thom Do, Yongchang Li, Daisuke Kondoh, Jerzy Jaroszewski, Xuenan Xuan","doi":"10.1080/22221751.2024.2438658","DOIUrl":null,"url":null,"abstract":"<p><p>Due to the lack of efficacy of the currently used chemical drugs, poor tick control, and lack of effective vaccines against <i>Babesia</i>, novel control strategies are urgently needed. In this regard, searching for anti-<i>Babesia</i> gene therapy may facilitate the control of this infection. Following this pattern, small interfering RNAs (siRNAs) are widely used to study gene function and hence open the way to control the parasite. However, the primary constraint of this approach is the lack of <i>Babesia</i> to RNA-induced silencing complex (RISC) enzymes, making siRNA impractical. In this study, we preassembled complexes with the human enzyme argonaute 2 (hAgo2) and a small interfering RNA (siRNA)<i>/</i>single-stranded RNA (ssRNA) against <i>B. gibsoni</i> and <i>B. microti</i> metabolite transporters. The assembled complexes were generated by developing a gene delivery system with chitosan dehydroascorbic acid nanoparticles. The delivery system effectively protected the loaded RNAi and targeted <i>Babesia-</i>infected RBCs with a relatively high internalization rate. The assembled complexes were successfully transfected into live parasites for specific slicing of <i>Babesia</i> targets. We demonstrated a reduction in the expression of target genes at the mRNA level. Furthermore, this silencing inhibited <i>Babesia</i> growth <i>in vitro</i> and <i>in vivo</i>. For the first time, we used this method to confirm the role of the assembled complexes in manipulating the noncanonical pathway of RNAi in <i>Babesia</i> parasites. This novel method provides a means of silencing <i>Babesia</i> genes to study their role in host-parasite interactions and as potential targets for gene therapy and control.</p>","PeriodicalId":11602,"journal":{"name":"Emerging Microbes & Infections","volume":" ","pages":"2438658"},"PeriodicalIF":7.5000,"publicationDate":"2025-12-01","publicationTypes":"Journal Article","fieldsOfStudy":null,"isOpenAccess":false,"openAccessPdf":"https://www.ncbi.nlm.nih.gov/pmc/articles/PMC11721618/pdf/","citationCount":"0","resultStr":null,"platform":"Semanticscholar","paperid":null,"PeriodicalName":"Emerging Microbes & Infections","FirstCategoryId":"3","ListUrlMain":"https://doi.org/10.1080/22221751.2024.2438658","RegionNum":2,"RegionCategory":"医学","ArticlePicture":[],"TitleCN":null,"AbstractTextCN":null,"PMCID":null,"EPubDate":"2025/1/6 0:00:00","PubModel":"Epub","JCR":"Q1","JCRName":"IMMUNOLOGY","Score":null,"Total":0}
引用次数: 0

Abstract

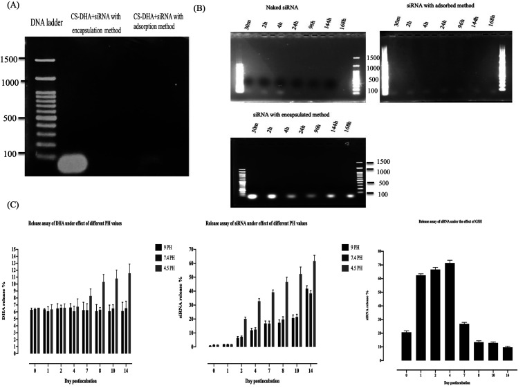
Due to the lack of efficacy of the currently used chemical drugs, poor tick control, and lack of effective vaccines against Babesia, novel control strategies are urgently needed. In this regard, searching for anti-Babesia gene therapy may facilitate the control of this infection. Following this pattern, small interfering RNAs (siRNAs) are widely used to study gene function and hence open the way to control the parasite. However, the primary constraint of this approach is the lack of Babesia to RNA-induced silencing complex (RISC) enzymes, making siRNA impractical. In this study, we preassembled complexes with the human enzyme argonaute 2 (hAgo2) and a small interfering RNA (siRNA)/single-stranded RNA (ssRNA) against B. gibsoni and B. microti metabolite transporters. The assembled complexes were generated by developing a gene delivery system with chitosan dehydroascorbic acid nanoparticles. The delivery system effectively protected the loaded RNAi and targeted Babesia-infected RBCs with a relatively high internalization rate. The assembled complexes were successfully transfected into live parasites for specific slicing of Babesia targets. We demonstrated a reduction in the expression of target genes at the mRNA level. Furthermore, this silencing inhibited Babesia growth in vitro and in vivo. For the first time, we used this method to confirm the role of the assembled complexes in manipulating the noncanonical pathway of RNAi in Babesia parasites. This novel method provides a means of silencing Babesia genes to study their role in host-parasite interactions and as potential targets for gene therapy and control.

Abstract Image

Abstract Image

Abstract Image

纳米颗粒递送hAgo2和ssRNA的预组装复合物:一种新的沉默基因表达方法,克服了微小巴贝虫(兽医学和人畜共患病的重要血液寄生虫)顶复合体中siRNA加工的典型途径的缺失。
由于目前使用的化学药物疗效不佳、蜱虫控制不力以及缺乏有效的巴贝西亚疫苗,因此迫切需要新的控制策略。在这方面,寻找抗巴贝斯虫基因疗法可能有助于控制这种感染。按照这种模式,小干扰 RNA(siRNA)被广泛用于研究基因功能,从而为控制寄生虫开辟了道路。然而,这种方法的主要制约因素是巴贝西亚虫缺乏 RNA 诱导沉默复合体(RISC)酶,使得 siRNA 不切实际。在这项研究中,我们用人酶 argonaute 2(hAgo2)和针对 B. gibsoni 和 B. microti 代谢物转运体的小干扰 RNA(siRNA)/单链 RNA(ssRNA)预组装了复合物。利用壳聚糖脱氢抗坏血酸纳米颗粒开发的基因递送系统产生了组装复合物。该递送系统能有效保护负载的 RNAi,并以相对较高的内化率靶向受巴贝斯虫感染的红细胞。组装好的复合物被成功转染到活寄生虫体内,对巴贝斯虫靶标进行特异性切片。我们在 mRNA 水平上证明了靶基因表达的减少。此外,这种沉默抑制了巴贝西亚原虫在体外和体内的生长。我们首次用这种方法证实了组装复合物在操纵巴贝西亚寄生虫 RNAi 非规范途径中的作用。这种新方法提供了一种沉默巴贝斯虫基因的方法,以研究它们在宿主-寄生虫相互作用中的作用,并将其作为基因治疗和控制的潜在靶点。
本文章由计算机程序翻译,如有差异,请以英文原文为准。
求助全文
约1分钟内获得全文 求助全文
来源期刊
Emerging Microbes & Infections
Emerging Microbes & Infections IMMUNOLOGY-MICROBIOLOGY
CiteScore
26.20
自引率
2.30%
发文量
276
审稿时长
20 weeks
期刊介绍: Emerging Microbes & Infections is a peer-reviewed, open-access journal dedicated to publishing research at the intersection of emerging immunology and microbiology viruses. The journal's mission is to share information on microbes and infections, particularly those gaining significance in both biological and clinical realms due to increased pathogenic frequency. Emerging Microbes & Infections is committed to bridging the scientific gap between developed and developing countries. This journal addresses topics of critical biological and clinical importance, including but not limited to: - Epidemic surveillance - Clinical manifestations - Diagnosis and management - Cellular and molecular pathogenesis - Innate and acquired immune responses between emerging microbes and their hosts - Drug discovery - Vaccine development research Emerging Microbes & Infections invites submissions of original research articles, review articles, letters, and commentaries, fostering a platform for the dissemination of impactful research in the field.
×
引用
GB/T 7714-2015
复制
MLA
复制
APA
复制
导出至
BibTeX EndNote RefMan NoteFirst NoteExpress
×
提示
您的信息不完整,为了账户安全,请先补充。
现在去补充
×
提示
您因"违规操作"
具体请查看互助需知
我知道了
×
提示
确定
请完成安全验证×
copy
已复制链接
快去分享给好友吧!
我知道了
右上角分享
点击右上角分享
0
联系我们:info@booksci.cn Book学术提供免费学术资源搜索服务,方便国内外学者检索中英文文献。致力于提供最便捷和优质的服务体验。 Copyright © 2023 布克学术 All rights reserved.
京ICP备2023020795号-1
ghs 京公网安备 11010802042870号
Book学术文献互助
Book学术文献互助群
群 号:604180095
Book学术官方微信