Endoscopic management of hernia repair fixing tacks embedded in the bladder wall: A case report.

Bladder (San Francisco, Calif.) Pub Date : 2024-10-30 eCollection Date: 2024-01-01 DOI:10.14440/bladder.2024.0008
Tran Ngoc An Huynh, Liang Qu, Shekib Shahbaz, Paul Manohar, Scott Donnellan, Antonio De Sousa
{"title":"Endoscopic management of hernia repair fixing tacks embedded in the bladder wall: A case report.","authors":"Tran Ngoc An Huynh, Liang Qu, Shekib Shahbaz, Paul Manohar, Scott Donnellan, Antonio De Sousa","doi":"10.14440/bladder.2024.0008","DOIUrl":null,"url":null,"abstract":"<p><strong>Background: </strong>Migration of fixing tacks into the bladder wall is a rare complication following laparoscopic hernia repairs.</p><p><strong>Case presentation: </strong>This report detailed an 80-year-old male who presented to the clinic with hematuria. Cystoscopy revealed a bladder calculus adherent to the bladder wall, with an underlying metallic tack. A stent snare was used to secure the edges of the tack, and a resectoscope loop was carefully used to resect and free it from surrounding mucosa.</p><p><strong>Conclusion: </strong>This was the first case report to describe the successful removal of a metallic fixing tack from the bladder through a transurethral approach in a patient post-hernia repair.</p>","PeriodicalId":72421,"journal":{"name":"Bladder (San Francisco, Calif.)","volume":"11 3","pages":"e21200014"},"PeriodicalIF":0.0000,"publicationDate":"2024-10-30","publicationTypes":"Journal Article","fieldsOfStudy":null,"isOpenAccess":false,"openAccessPdf":"https://www.ncbi.nlm.nih.gov/pmc/articles/PMC11617062/pdf/","citationCount":"0","resultStr":null,"platform":"Semanticscholar","paperid":null,"PeriodicalName":"Bladder (San Francisco, Calif.)","FirstCategoryId":"1085","ListUrlMain":"https://doi.org/10.14440/bladder.2024.0008","RegionNum":0,"RegionCategory":null,"ArticlePicture":[],"TitleCN":null,"AbstractTextCN":null,"PMCID":null,"EPubDate":"2024/1/1 0:00:00","PubModel":"eCollection","JCR":"","JCRName":"","Score":null,"Total":0}
引用次数: 0

Abstract

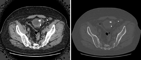
Background: Migration of fixing tacks into the bladder wall is a rare complication following laparoscopic hernia repairs.

Case presentation: This report detailed an 80-year-old male who presented to the clinic with hematuria. Cystoscopy revealed a bladder calculus adherent to the bladder wall, with an underlying metallic tack. A stent snare was used to secure the edges of the tack, and a resectoscope loop was carefully used to resect and free it from surrounding mucosa.

Conclusion: This was the first case report to describe the successful removal of a metallic fixing tack from the bladder through a transurethral approach in a patient post-hernia repair.

Abstract Image

Abstract Image

疝修补钉嵌入膀胱壁的内镜治疗:1例报告。
背景:腹腔镜疝修补术后固定钉向膀胱壁内移位是一种罕见的并发症。病例介绍:本报告详细介绍了一位80岁男性因血尿就诊的病例。膀胱镜检查发现膀胱结石附着于膀胱壁,并伴有金属粘连。支架圈套用于固定钉的边缘,切除镜环被小心地用于切除并将其从周围粘膜中解放出来。结论:这是首例通过经尿道入路成功从膀胱取出金属固定钉的病例报告。
本文章由计算机程序翻译,如有差异,请以英文原文为准。
求助全文
约1分钟内获得全文 求助全文
来源期刊
自引率
0.00%
发文量
0
×
引用
GB/T 7714-2015
复制
MLA
复制
APA
复制
导出至
BibTeX EndNote RefMan NoteFirst NoteExpress
×
提示
您的信息不完整,为了账户安全,请先补充。
现在去补充
×
提示
您因"违规操作"
具体请查看互助需知
我知道了
×
提示
确定
请完成安全验证×
copy
已复制链接
快去分享给好友吧!
我知道了
右上角分享
点击右上角分享
0
联系我们:info@booksci.cn Book学术提供免费学术资源搜索服务,方便国内外学者检索中英文文献。致力于提供最便捷和优质的服务体验。 Copyright © 2023 布克学术 All rights reserved.
京ICP备2023020795号-1
ghs 京公网安备 11010802042870号
Book学术文献互助
Book学术文献互助群
群 号:604180095
Book学术官方微信