Transarterial embolization of intralobar pulmonary sequestration in adult patients: A case series.

IF 1.3 Q3 RADIOLOGY, NUCLEAR MEDICINE & MEDICAL IMAGING
Journal of Clinical Imaging Science Pub Date : 2024-11-04 eCollection Date: 2024-01-01 DOI:10.25259/JCIS_108_2024
Andrea Benson, Yaron Perry, Andrew Cantos, Devang Butani, Harris Chengazi
{"title":"Transarterial embolization of intralobar pulmonary sequestration in adult patients: A case series.","authors":"Andrea Benson, Yaron Perry, Andrew Cantos, Devang Butani, Harris Chengazi","doi":"10.25259/JCIS_108_2024","DOIUrl":null,"url":null,"abstract":"<p><p>Pulmonary sequestration is a malformation of lung tissue such that a zone of pulmonary parenchyma exists in isolation from the bronchopulmonary tree. This condition is typically treated with surgical resection, but an increasing number of sequestrations are being treated with arterial embolization. We report interventions that were performed at two institutions on patients 53-70 years old. One patient presented with chronic cough and the two other patients presented with hemoptysis. Two of the cases were managed solely by endovascular embolization of the arteries supplying the pulmonary sequestration. In one patient, embolization was performed to debulk the sequestration, followed by surgical resection. These cases suggest transcatheter embolization may be an effective treatment in adult patients with symptomatic pulmonary sequestrations.</p>","PeriodicalId":15512,"journal":{"name":"Journal of Clinical Imaging Science","volume":"14 ","pages":"42"},"PeriodicalIF":1.3000,"publicationDate":"2024-11-04","publicationTypes":"Journal Article","fieldsOfStudy":null,"isOpenAccess":false,"openAccessPdf":"https://www.ncbi.nlm.nih.gov/pmc/articles/PMC11618808/pdf/","citationCount":"0","resultStr":null,"platform":"Semanticscholar","paperid":null,"PeriodicalName":"Journal of Clinical Imaging Science","FirstCategoryId":"1085","ListUrlMain":"https://doi.org/10.25259/JCIS_108_2024","RegionNum":0,"RegionCategory":null,"ArticlePicture":[],"TitleCN":null,"AbstractTextCN":null,"PMCID":null,"EPubDate":"2024/1/1 0:00:00","PubModel":"eCollection","JCR":"Q3","JCRName":"RADIOLOGY, NUCLEAR MEDICINE & MEDICAL IMAGING","Score":null,"Total":0}
引用次数: 0

Abstract

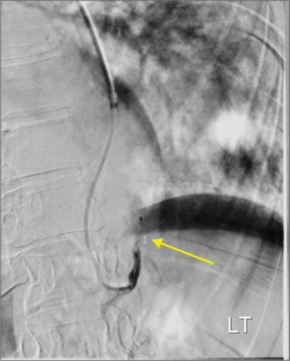
Pulmonary sequestration is a malformation of lung tissue such that a zone of pulmonary parenchyma exists in isolation from the bronchopulmonary tree. This condition is typically treated with surgical resection, but an increasing number of sequestrations are being treated with arterial embolization. We report interventions that were performed at two institutions on patients 53-70 years old. One patient presented with chronic cough and the two other patients presented with hemoptysis. Two of the cases were managed solely by endovascular embolization of the arteries supplying the pulmonary sequestration. In one patient, embolization was performed to debulk the sequestration, followed by surgical resection. These cases suggest transcatheter embolization may be an effective treatment in adult patients with symptomatic pulmonary sequestrations.

Abstract Image

Abstract Image

Abstract Image

经动脉栓塞治疗成人肺叶内肺隔离:一个病例系列。
肺隔离是肺组织的一种畸形,使肺实质区与支气管肺树分离存在。这种情况通常用手术切除治疗,但越来越多的隔离正在用动脉栓塞治疗。我们报告了在两家机构对53-70岁患者进行的干预。1例患者表现为慢性咳嗽,另外2例患者表现为咯血。其中2例仅通过血管内栓塞治疗肺动脉隔离。在一名患者中,进行了栓塞以清除隔离,随后进行了手术切除。这些病例提示经导管栓塞可能是治疗有症状性肺隔离的成人患者的有效方法。
本文章由计算机程序翻译,如有差异,请以英文原文为准。
求助全文
约1分钟内获得全文 求助全文
来源期刊
Journal of Clinical Imaging Science
Journal of Clinical Imaging Science RADIOLOGY, NUCLEAR MEDICINE & MEDICAL IMAGING-
CiteScore
2.00
自引率
0.00%
发文量
65
期刊介绍: The Journal of Clinical Imaging Science (JCIS) is an open access peer-reviewed journal committed to publishing high-quality articles in the field of Imaging Science. The journal aims to present Imaging Science and relevant clinical information in an understandable and useful format. The journal is owned and published by the Scientific Scholar. Audience Our audience includes Radiologists, Researchers, Clinicians, medical professionals and students. Review process JCIS has a highly rigorous peer-review process that makes sure that manuscripts are scientifically accurate, relevant, novel and important. Authors disclose all conflicts, affiliations and financial associations such that the published content is not biased.
×
引用
GB/T 7714-2015
复制
MLA
复制
APA
复制
导出至
BibTeX EndNote RefMan NoteFirst NoteExpress
×
提示
您的信息不完整,为了账户安全,请先补充。
现在去补充
×
提示
您因"违规操作"
具体请查看互助需知
我知道了
×
提示
确定
请完成安全验证×
copy
已复制链接
快去分享给好友吧!
我知道了
右上角分享
点击右上角分享
0
联系我们:info@booksci.cn Book学术提供免费学术资源搜索服务,方便国内外学者检索中英文文献。致力于提供最便捷和优质的服务体验。 Copyright © 2023 布克学术 All rights reserved.
京ICP备2023020795号-1
ghs 京公网安备 11010802042870号
Book学术文献互助
Book学术文献互助群
群 号:604180095
Book学术官方微信