Frequency of myocardial infarcts on conventional, non-gated CT: An often-overlooked entity.

IF 1.3 Q3 RADIOLOGY, NUCLEAR MEDICINE & MEDICAL IMAGING
Journal of Clinical Imaging Science Pub Date : 2024-11-21 eCollection Date: 2024-01-01 DOI:10.25259/JCIS_114_2024
Jabi Elijah Shriki, Ashley Elizabeth Prosper, Jerold Shinbane, Patrick M Colletti
{"title":"Frequency of myocardial infarcts on conventional, non-gated CT: An often-overlooked entity.","authors":"Jabi Elijah Shriki, Ashley Elizabeth Prosper, Jerold Shinbane, Patrick M Colletti","doi":"10.25259/JCIS_114_2024","DOIUrl":null,"url":null,"abstract":"<p><strong>Objectives: </strong>The objective of this study was to determine how often myocardial infarctions are retrospectively visible on conventional, non-gated, non-cardiac computed tomography (CT) scans. Our goal was to evaluate a cohort of patients with myocardial infarctions visible on cardiac magnetic resonance imaging (MRI) to determine how often the area of infarction was retrospectively visible by preceding, conventional CT. We also sought to evaluate how often the diagnosis of myocardial infarction was reported at the time of initial study review.</p><p><strong>Material and methods: </strong>The Institutional Review Board approval was obtained for the creation and retrospective analysis of a database of patients undergoing cardiac MRI. We started with a cohort of 252 patients who had undergone cardiac MRI at our institution, over a 4-year period. We identified 160 patients who had a myocardial infarct visible on MRI.</p><p><strong>Results: </strong>Of the 160 patients who had been identified as having an infarct on cardiac MRI, 54 patients had undergone a recent (within 30 days) conventional CT scan, usually done for non-cardiac indications. In addition to the review of reports, non-cardiac CT scans were also evaluated retrospectively by two experienced, cardiothoracic imaging physicians, including a radiologist and a cardiologist. In 26 of these patients (48.1%), an infarct was visible on the CT images. In 12 of these 26 cases (46.1%), the infarct was noted in the initial report. In the remaining 14 of these 26 cases (53.8%), the infarct was unrecognized at the time of initial study interpretation.</p><p><strong>Conclusion: </strong>Our retrospective analysis demonstrates that myocardial infarctions may be frequently observed on non-gated, non-cardiac CT scans but may be underrecognized and under-reported.</p>","PeriodicalId":15512,"journal":{"name":"Journal of Clinical Imaging Science","volume":"14 ","pages":"45"},"PeriodicalIF":1.3000,"publicationDate":"2024-11-21","publicationTypes":"Journal Article","fieldsOfStudy":null,"isOpenAccess":false,"openAccessPdf":"https://www.ncbi.nlm.nih.gov/pmc/articles/PMC11618727/pdf/","citationCount":"0","resultStr":null,"platform":"Semanticscholar","paperid":null,"PeriodicalName":"Journal of Clinical Imaging Science","FirstCategoryId":"1085","ListUrlMain":"https://doi.org/10.25259/JCIS_114_2024","RegionNum":0,"RegionCategory":null,"ArticlePicture":[],"TitleCN":null,"AbstractTextCN":null,"PMCID":null,"EPubDate":"2024/1/1 0:00:00","PubModel":"eCollection","JCR":"Q3","JCRName":"RADIOLOGY, NUCLEAR MEDICINE & MEDICAL IMAGING","Score":null,"Total":0}
引用次数: 0

Abstract

Objectives: The objective of this study was to determine how often myocardial infarctions are retrospectively visible on conventional, non-gated, non-cardiac computed tomography (CT) scans. Our goal was to evaluate a cohort of patients with myocardial infarctions visible on cardiac magnetic resonance imaging (MRI) to determine how often the area of infarction was retrospectively visible by preceding, conventional CT. We also sought to evaluate how often the diagnosis of myocardial infarction was reported at the time of initial study review.

Material and methods: The Institutional Review Board approval was obtained for the creation and retrospective analysis of a database of patients undergoing cardiac MRI. We started with a cohort of 252 patients who had undergone cardiac MRI at our institution, over a 4-year period. We identified 160 patients who had a myocardial infarct visible on MRI.

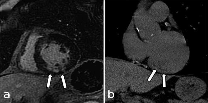
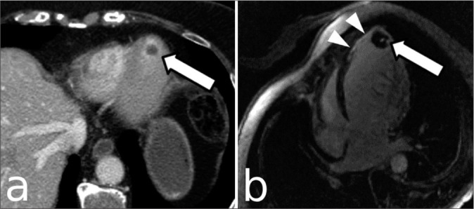
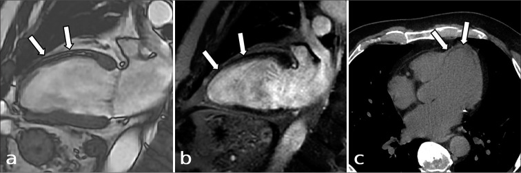
Results: Of the 160 patients who had been identified as having an infarct on cardiac MRI, 54 patients had undergone a recent (within 30 days) conventional CT scan, usually done for non-cardiac indications. In addition to the review of reports, non-cardiac CT scans were also evaluated retrospectively by two experienced, cardiothoracic imaging physicians, including a radiologist and a cardiologist. In 26 of these patients (48.1%), an infarct was visible on the CT images. In 12 of these 26 cases (46.1%), the infarct was noted in the initial report. In the remaining 14 of these 26 cases (53.8%), the infarct was unrecognized at the time of initial study interpretation.

Conclusion: Our retrospective analysis demonstrates that myocardial infarctions may be frequently observed on non-gated, non-cardiac CT scans but may be underrecognized and under-reported.

Abstract Image

Abstract Image

Abstract Image

常规非门控CT上心肌梗死的频率:一个经常被忽视的实体。
目的:本研究的目的是确定在常规、非门控、非心脏计算机断层扫描(CT)上回顾性观察心肌梗死的频率。我们的目的是评估一组在心脏磁共振成像(MRI)上可见心肌梗死的患者,以确定通过之前的常规CT回顾性显示梗死区域的频率。我们还试图评估在最初研究回顾时报告心肌梗死诊断的频率。材料和方法:获得了机构审查委员会的批准,用于创建和回顾性分析接受心脏MRI的患者数据库。我们从一组252名患者开始,他们在我们的机构接受了心脏MRI,为期4年。我们确定了160例MRI可见心肌梗死的患者。结果:在160例心脏MRI诊断为梗死的患者中,54例患者最近(30天内)进行了常规CT扫描,通常用于非心脏适应症。除了回顾报告外,两位经验丰富的心胸影像学医生(包括放射科医生和心脏病科医生)也对非心脏CT扫描进行了回顾性评估。其中26例(48.1%)在CT图像上可见梗死灶。在这26例病例中,有12例(46.1%)在最初的报告中发现了梗死。其余14例(53.8%)在最初的研究解释时未发现梗死。结论:我们的回顾性分析表明,心肌梗死可能经常在非门控、非心脏CT扫描上被观察到,但可能被低估和报道不足。
本文章由计算机程序翻译,如有差异,请以英文原文为准。
求助全文
约1分钟内获得全文 求助全文
来源期刊
Journal of Clinical Imaging Science
Journal of Clinical Imaging Science RADIOLOGY, NUCLEAR MEDICINE & MEDICAL IMAGING-
CiteScore
2.00
自引率
0.00%
发文量
65
期刊介绍: The Journal of Clinical Imaging Science (JCIS) is an open access peer-reviewed journal committed to publishing high-quality articles in the field of Imaging Science. The journal aims to present Imaging Science and relevant clinical information in an understandable and useful format. The journal is owned and published by the Scientific Scholar. Audience Our audience includes Radiologists, Researchers, Clinicians, medical professionals and students. Review process JCIS has a highly rigorous peer-review process that makes sure that manuscripts are scientifically accurate, relevant, novel and important. Authors disclose all conflicts, affiliations and financial associations such that the published content is not biased.
×
引用
GB/T 7714-2015
复制
MLA
复制
APA
复制
导出至
BibTeX EndNote RefMan NoteFirst NoteExpress
×
提示
您的信息不完整,为了账户安全,请先补充。
现在去补充
×
提示
您因"违规操作"
具体请查看互助需知
我知道了
×
提示
确定
请完成安全验证×
copy
已复制链接
快去分享给好友吧!
我知道了
右上角分享
点击右上角分享
0
联系我们:info@booksci.cn Book学术提供免费学术资源搜索服务,方便国内外学者检索中英文文献。致力于提供最便捷和优质的服务体验。 Copyright © 2023 布克学术 All rights reserved.
京ICP备2023020795号-1
ghs 京公网安备 11010802042870号
Book学术文献互助
Book学术文献互助群
群 号:604180095
Book学术官方微信