Dual left anterior descending artery: A case report.

IF 1.3 Q3 RADIOLOGY, NUCLEAR MEDICINE & MEDICAL IMAGING
Journal of Clinical Imaging Science Pub Date : 2024-12-03 eCollection Date: 2024-01-01 DOI:10.25259/JCIS_122_2024
Jad Kassem, Ali Yildiz, Mamatha Gowda, Hunaina Shahab
{"title":"Dual left anterior descending artery: A case report.","authors":"Jad Kassem, Ali Yildiz, Mamatha Gowda, Hunaina Shahab","doi":"10.25259/JCIS_122_2024","DOIUrl":null,"url":null,"abstract":"<p><p>Dual left anterior descending (LAD) coronary artery is a rare anatomical variant with significant clinical implications. Recognizing this variant is crucial for accurate diagnosis and effective management, particularly in the context of revascularization strategies. We present a 71-year-old male with a history of dyspnea on exertion with baseline wall motion abnormality on a transthoracic stress echocardiography irreversible after exercise. Coronary computed tomography angiography revealed a dual LAD system: The left short LAD (LAD1) originating from the left main coronary artery and the right LAD (LAD2) arising separately from the right coronary cusp, distinct from the right coronary artery ostium. Having different origins and courses, both LADs supply the LAD territory. Our case is notable for two main reasons: The rarity of this particular type of dual LAD anatomy and the unique course of the LAD2, which, to our knowledge, has not been described in any previous case report. Although rare, dual LAD coronary artery should be considered in patients with atypical short LAD. Comprehensive imaging and a thorough understanding of coronary artery variants are essential for accurate diagnosis and effective management.</p>","PeriodicalId":15512,"journal":{"name":"Journal of Clinical Imaging Science","volume":"14 ","pages":"47"},"PeriodicalIF":1.3000,"publicationDate":"2024-12-03","publicationTypes":"Journal Article","fieldsOfStudy":null,"isOpenAccess":false,"openAccessPdf":"https://www.ncbi.nlm.nih.gov/pmc/articles/PMC11618701/pdf/","citationCount":"0","resultStr":null,"platform":"Semanticscholar","paperid":null,"PeriodicalName":"Journal of Clinical Imaging Science","FirstCategoryId":"1085","ListUrlMain":"https://doi.org/10.25259/JCIS_122_2024","RegionNum":0,"RegionCategory":null,"ArticlePicture":[],"TitleCN":null,"AbstractTextCN":null,"PMCID":null,"EPubDate":"2024/1/1 0:00:00","PubModel":"eCollection","JCR":"Q3","JCRName":"RADIOLOGY, NUCLEAR MEDICINE & MEDICAL IMAGING","Score":null,"Total":0}
引用次数: 0

Abstract

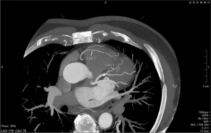
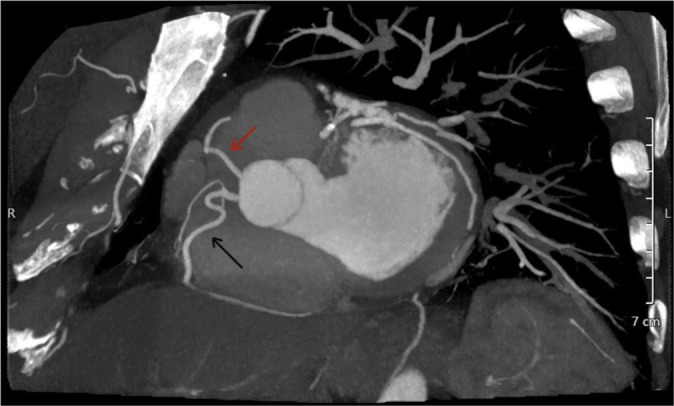
Dual left anterior descending (LAD) coronary artery is a rare anatomical variant with significant clinical implications. Recognizing this variant is crucial for accurate diagnosis and effective management, particularly in the context of revascularization strategies. We present a 71-year-old male with a history of dyspnea on exertion with baseline wall motion abnormality on a transthoracic stress echocardiography irreversible after exercise. Coronary computed tomography angiography revealed a dual LAD system: The left short LAD (LAD1) originating from the left main coronary artery and the right LAD (LAD2) arising separately from the right coronary cusp, distinct from the right coronary artery ostium. Having different origins and courses, both LADs supply the LAD territory. Our case is notable for two main reasons: The rarity of this particular type of dual LAD anatomy and the unique course of the LAD2, which, to our knowledge, has not been described in any previous case report. Although rare, dual LAD coronary artery should be considered in patients with atypical short LAD. Comprehensive imaging and a thorough understanding of coronary artery variants are essential for accurate diagnosis and effective management.

Abstract Image

Abstract Image

Abstract Image

双左前降支1例。
双左前降支冠状动脉是一种罕见的解剖变异,具有重要的临床意义。认识到这种变异对于准确诊断和有效管理至关重要,特别是在血运重建策略的背景下。我们报告一位71岁男性患者,有运动时呼吸困难的病史,经胸应激超声心动图显示壁运动基线异常,运动后不可逆转。冠状动脉ct血管造影显示双LAD系统:左短LAD (LAD1)起源于左主冠状动脉,右LAD (LAD2)分别起源于右冠状动脉尖,与右冠状动脉口不同。由于起源和课程不同,这两个地方行政区都管辖地方行政区。我们的病例值得注意主要有两个原因:这种特殊类型的双LAD解剖结构的罕见性和LAD2的独特病程,据我们所知,在以往的病例报告中没有描述过。虽然罕见,但在非典型短LAD患者中应考虑双LAD冠状动脉。全面的影像学检查和对冠状动脉变异的深入了解是准确诊断和有效治疗的必要条件。
本文章由计算机程序翻译,如有差异,请以英文原文为准。
求助全文
约1分钟内获得全文 求助全文
来源期刊
Journal of Clinical Imaging Science
Journal of Clinical Imaging Science RADIOLOGY, NUCLEAR MEDICINE & MEDICAL IMAGING-
CiteScore
2.00
自引率
0.00%
发文量
65
期刊介绍: The Journal of Clinical Imaging Science (JCIS) is an open access peer-reviewed journal committed to publishing high-quality articles in the field of Imaging Science. The journal aims to present Imaging Science and relevant clinical information in an understandable and useful format. The journal is owned and published by the Scientific Scholar. Audience Our audience includes Radiologists, Researchers, Clinicians, medical professionals and students. Review process JCIS has a highly rigorous peer-review process that makes sure that manuscripts are scientifically accurate, relevant, novel and important. Authors disclose all conflicts, affiliations and financial associations such that the published content is not biased.
×
引用
GB/T 7714-2015
复制
MLA
复制
APA
复制
导出至
BibTeX EndNote RefMan NoteFirst NoteExpress
×
提示
您的信息不完整,为了账户安全,请先补充。
现在去补充
×
提示
您因"违规操作"
具体请查看互助需知
我知道了
×
提示
确定
请完成安全验证×
copy
已复制链接
快去分享给好友吧!
我知道了
右上角分享
点击右上角分享
0
联系我们:info@booksci.cn Book学术提供免费学术资源搜索服务,方便国内外学者检索中英文文献。致力于提供最便捷和优质的服务体验。 Copyright © 2023 布克学术 All rights reserved.
京ICP备2023020795号-1
ghs 京公网安备 11010802042870号
Book学术文献互助
Book学术文献互助群
群 号:604180095
Book学术官方微信