Sonographic Detection of Iatrogenic Carotid Artery Guidewires During Internal Jugular Vein Catheterization.

POCUS journal Pub Date : 2024-11-15 eCollection Date: 2024-01-01 DOI:10.24908/pocus.v9i2.17366
James H Moak, Kristen C Swann, Matthew M Kongkatong, Jakob E Ottenhoff, Christopher D Thom
{"title":"Sonographic Detection of Iatrogenic Carotid Artery Guidewires During Internal Jugular Vein Catheterization.","authors":"James H Moak, Kristen C Swann, Matthew M Kongkatong, Jakob E Ottenhoff, Christopher D Thom","doi":"10.24908/pocus.v9i2.17366","DOIUrl":null,"url":null,"abstract":"<p><p><b>Background:</b> Visualization of the guidewire during internal jugular (IJ) vein catheterization by point of care ultrasound (POCUS) has been recommended for avoiding inadvertent carotid artery dilation. The purpose of this study was to determine the accuracy of POCUS for identifying guidewires inappropriately placed in the carotid artery. <b>Methods:</b> This prospective, observational study involved emergency medicine (EM) residents with varying experience in guidewire visualization. Using an inanimate model, investigators placed guidewires randomly into the carotid artery or IJ vein. Residents, blinded to guidewire location, scanned the model and recorded their findings. The test performance of POCUS for arterially placed guidewires was evaluated through calculation of sensitivity, specificity, negative predictive value (NPV), positive predictive value (PPV), and overall accuracy, using investigator placement as the non-reference standard. <b>Results:</b> Twenty-five residents performed 51 observations. The test performance of POCUS for identifying arterially placed guidewires was sensitivity 95.0% (95%CI = 73.1-99.7%), specificity 96.8% (95%CI = 81.5-99.8%), NPV 96.8% (95%CI = 81.5-99.8%), and PPV 95.0% (95%CI = 73.1-99.7%). The overall accuracy was 96.1% (95%CI = 86.8-98.9%). Residents reported being very confident in their findings in 88.2% of all observations (95%CI = 76.6-94.5%), somewhat confident in 9.8% (95%CI = 4.3-21.0%), and not very confident in 2.0% (95%CI = 0.4-10.3%). No errors occurred among upper-level residents (post-graduate years 2-3) or those reporting >5 prior wire visualizations in live patients. <b>Conclusions:</b> This study is the first to demonstrate that physicians can easily identify misplaced guidewires located in the carotid artery with a high degree of accuracy using POCUS. We recommend routine scanning of the IJ vein and carotid artery prior to vessel dilation to reduce the likelihood of carotid artery injury.</p>","PeriodicalId":74470,"journal":{"name":"POCUS journal","volume":"9 2","pages":"88-92"},"PeriodicalIF":0.0000,"publicationDate":"2024-11-15","publicationTypes":"Journal Article","fieldsOfStudy":null,"isOpenAccess":false,"openAccessPdf":"https://www.ncbi.nlm.nih.gov/pmc/articles/PMC11614401/pdf/","citationCount":"0","resultStr":null,"platform":"Semanticscholar","paperid":null,"PeriodicalName":"POCUS journal","FirstCategoryId":"1085","ListUrlMain":"https://doi.org/10.24908/pocus.v9i2.17366","RegionNum":0,"RegionCategory":null,"ArticlePicture":[],"TitleCN":null,"AbstractTextCN":null,"PMCID":null,"EPubDate":"2024/1/1 0:00:00","PubModel":"eCollection","JCR":"","JCRName":"","Score":null,"Total":0}
引用次数: 0

Abstract

Background: Visualization of the guidewire during internal jugular (IJ) vein catheterization by point of care ultrasound (POCUS) has been recommended for avoiding inadvertent carotid artery dilation. The purpose of this study was to determine the accuracy of POCUS for identifying guidewires inappropriately placed in the carotid artery. Methods: This prospective, observational study involved emergency medicine (EM) residents with varying experience in guidewire visualization. Using an inanimate model, investigators placed guidewires randomly into the carotid artery or IJ vein. Residents, blinded to guidewire location, scanned the model and recorded their findings. The test performance of POCUS for arterially placed guidewires was evaluated through calculation of sensitivity, specificity, negative predictive value (NPV), positive predictive value (PPV), and overall accuracy, using investigator placement as the non-reference standard. Results: Twenty-five residents performed 51 observations. The test performance of POCUS for identifying arterially placed guidewires was sensitivity 95.0% (95%CI = 73.1-99.7%), specificity 96.8% (95%CI = 81.5-99.8%), NPV 96.8% (95%CI = 81.5-99.8%), and PPV 95.0% (95%CI = 73.1-99.7%). The overall accuracy was 96.1% (95%CI = 86.8-98.9%). Residents reported being very confident in their findings in 88.2% of all observations (95%CI = 76.6-94.5%), somewhat confident in 9.8% (95%CI = 4.3-21.0%), and not very confident in 2.0% (95%CI = 0.4-10.3%). No errors occurred among upper-level residents (post-graduate years 2-3) or those reporting >5 prior wire visualizations in live patients. Conclusions: This study is the first to demonstrate that physicians can easily identify misplaced guidewires located in the carotid artery with a high degree of accuracy using POCUS. We recommend routine scanning of the IJ vein and carotid artery prior to vessel dilation to reduce the likelihood of carotid artery injury.

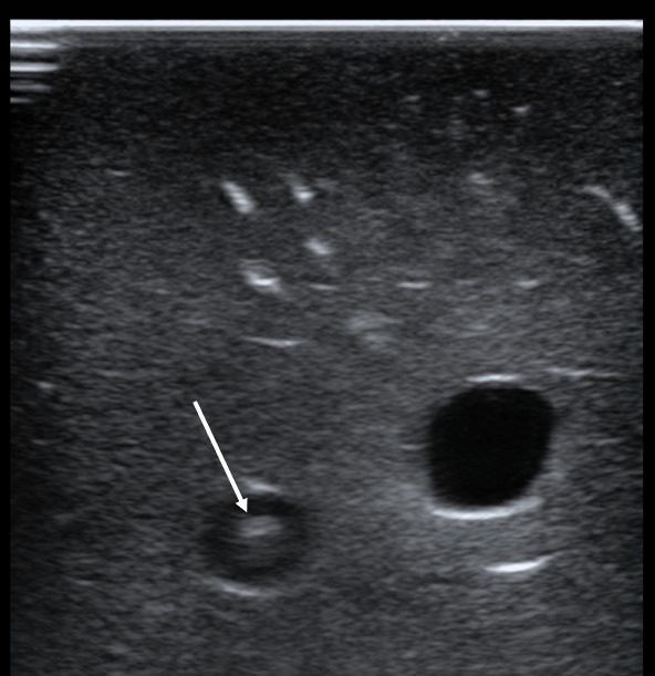
Abstract Image

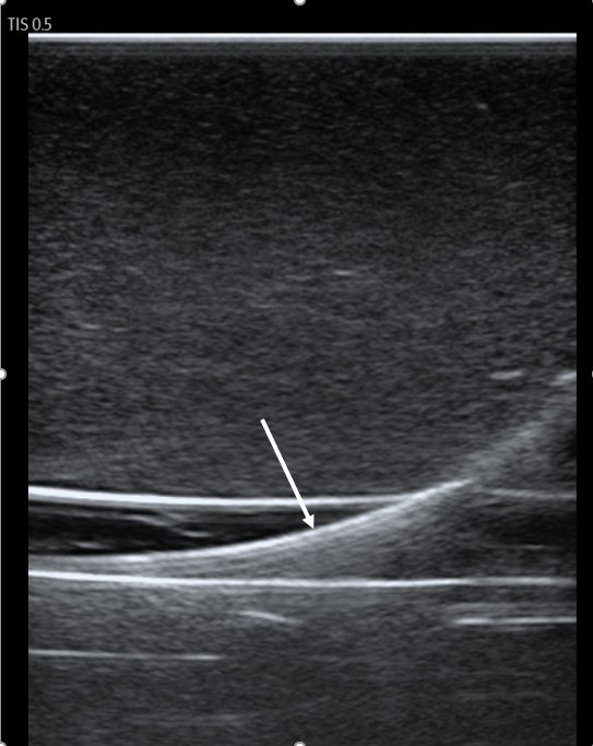
Abstract Image

颈内静脉置管过程中医源性颈动脉导丝的超声检测。
背景:在颈内静脉置管时,推荐使用护理点超声(POCUS)观察导丝,以避免意外的颈动脉扩张。本研究的目的是确定POCUS识别颈动脉中不适当放置的导丝的准确性。方法:本前瞻性观察性研究涉及具有不同导丝可视化经验的急诊医师。使用无生命模型,研究人员将导丝随机置入颈动脉或IJ静脉。居民不知道导丝的位置,扫描模型并记录他们的发现。以研究者放置为非参考标准,通过计算敏感性、特异性、阴性预测值(NPV)、阳性预测值(PPV)和总体准确性来评价POCUS对动脉放置导丝的检测性能。结果:25位住院医师进行了51次观察。POCUS鉴别动脉放置导丝的灵敏度为95.0% (95%CI = 73.1 ~ 99.7%),特异性为96.8% (95%CI = 81.5 ~ 99.8%), NPV为96.8% (95%CI = 81.5 ~ 99.8%), PPV为95.0% (95%CI = 73.1 ~ 99.7%)。总体准确率为96.1% (95%CI = 86.8-98.9%)。88.2%的居民报告对他们的发现非常有信心(95%CI = 76.6-94.5%), 9.8%的居民有一定的信心(95%CI = 4.3-21.0%), 2.0%的居民不太有信心(95%CI = 0.4-10.3%)。在高水平住院医师(研究生2-3年)或在活体患者中报告有5次钢丝显像的患者中没有发生错误。结论:本研究首次证明了医师使用POCUS可以很容易地识别颈动脉中错位的导丝,并且准确度很高。我们建议在血管扩张之前常规扫描IJ静脉和颈动脉,以减少颈动脉损伤的可能性。
本文章由计算机程序翻译,如有差异,请以英文原文为准。
求助全文
约1分钟内获得全文 求助全文
来源期刊
自引率
0.00%
发文量
0
×
引用
GB/T 7714-2015
复制
MLA
复制
APA
复制
导出至
BibTeX EndNote RefMan NoteFirst NoteExpress
×
提示
您的信息不完整,为了账户安全,请先补充。
现在去补充
×
提示
您因"违规操作"
具体请查看互助需知
我知道了
×
提示
确定
请完成安全验证×
copy
已复制链接
快去分享给好友吧!
我知道了
右上角分享
点击右上角分享
0
联系我们:info@booksci.cn Book学术提供免费学术资源搜索服务,方便国内外学者检索中英文文献。致力于提供最便捷和优质的服务体验。 Copyright © 2023 布克学术 All rights reserved.
京ICP备2023020795号-1
ghs 京公网安备 11010802042870号
Book学术文献互助
Book学术文献互助群
群 号:604180095
Book学术官方微信