Rare Cause of Pediatric Abdominal Pain Diagnosed on Point of Care Ultrasound (POCUS).

POCUS journal Pub Date : 2024-11-15 eCollection Date: 2024-01-01 DOI:10.24908/pocus.v9i2.17451
Courtney Owens, Lindsey Chaudoin
{"title":"Rare Cause of Pediatric Abdominal Pain Diagnosed on Point of Care Ultrasound (POCUS).","authors":"Courtney Owens, Lindsey Chaudoin","doi":"10.24908/pocus.v9i2.17451","DOIUrl":null,"url":null,"abstract":"<p><p>An 11-year-old postmenarchal female presented to the pediatric emergency department (ED) with 2 days of periumbilical and right lower abdominal pain. Radiology-performed ultrasound (RADUS) did not visualize the appendix, and there was a plan for surgical consultation to decide between serial abdominal exams versus computed tomography (CT) scan. While awaiting consultation and to help further narrow the differential diagnosis, the emergency provider performed a point of care ultrasound (POCUS) of the urinary tract. This revealed several anomalies including a solitary left kidney with hydronephrosis, and a well-circumscribed, fluid-filled structure with mixed echogenicity posterior to the bladder and inferior to the uterus. Given these findings on POCUS, further imaging was pursued, including a RADUS of the pelvis followed by a magnetic resonance imaging (MRI) of the abdomen. Further imaging ultimately diagnosed a bicornuate uterus, septate vagina with hematocolpos and solitary left kidney consistent with Obstructed Hemivagina and Ipsilateral Renal Anomaly (OHVIRA) syndrome. This case is an illustration of how POCUS is an invaluable tool to narrow the differential diagnosis and guide advanced imaging or consultation for both common and rare causes of pediatric abdominal pain.</p>","PeriodicalId":74470,"journal":{"name":"POCUS journal","volume":"9 2","pages":"32-34"},"PeriodicalIF":0.0000,"publicationDate":"2024-11-15","publicationTypes":"Journal Article","fieldsOfStudy":null,"isOpenAccess":false,"openAccessPdf":"https://www.ncbi.nlm.nih.gov/pmc/articles/PMC11614403/pdf/","citationCount":"0","resultStr":null,"platform":"Semanticscholar","paperid":null,"PeriodicalName":"POCUS journal","FirstCategoryId":"1085","ListUrlMain":"https://doi.org/10.24908/pocus.v9i2.17451","RegionNum":0,"RegionCategory":null,"ArticlePicture":[],"TitleCN":null,"AbstractTextCN":null,"PMCID":null,"EPubDate":"2024/1/1 0:00:00","PubModel":"eCollection","JCR":"","JCRName":"","Score":null,"Total":0}
引用次数: 0

Abstract

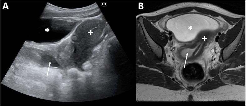
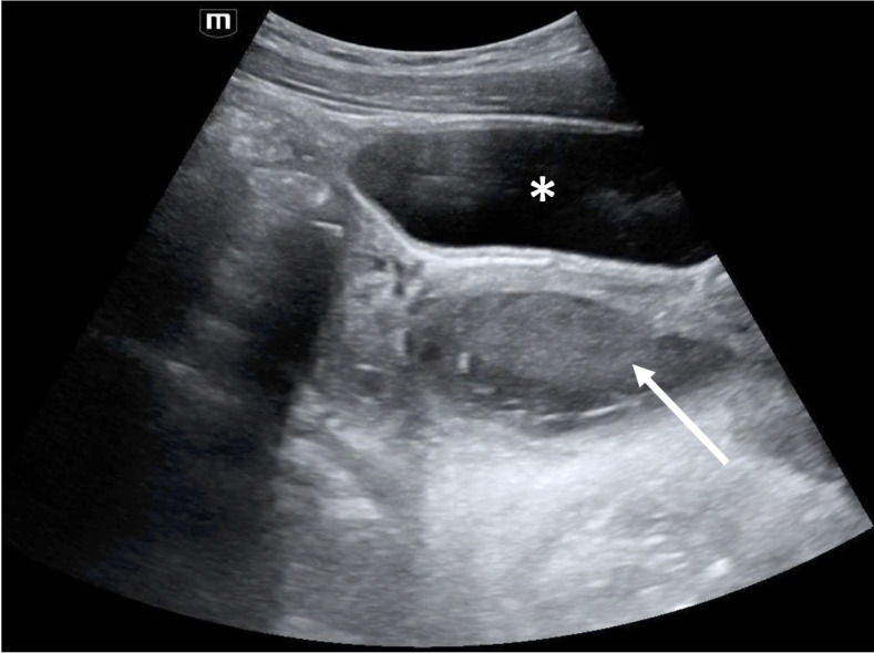
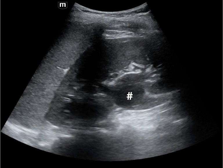
An 11-year-old postmenarchal female presented to the pediatric emergency department (ED) with 2 days of periumbilical and right lower abdominal pain. Radiology-performed ultrasound (RADUS) did not visualize the appendix, and there was a plan for surgical consultation to decide between serial abdominal exams versus computed tomography (CT) scan. While awaiting consultation and to help further narrow the differential diagnosis, the emergency provider performed a point of care ultrasound (POCUS) of the urinary tract. This revealed several anomalies including a solitary left kidney with hydronephrosis, and a well-circumscribed, fluid-filled structure with mixed echogenicity posterior to the bladder and inferior to the uterus. Given these findings on POCUS, further imaging was pursued, including a RADUS of the pelvis followed by a magnetic resonance imaging (MRI) of the abdomen. Further imaging ultimately diagnosed a bicornuate uterus, septate vagina with hematocolpos and solitary left kidney consistent with Obstructed Hemivagina and Ipsilateral Renal Anomaly (OHVIRA) syndrome. This case is an illustration of how POCUS is an invaluable tool to narrow the differential diagnosis and guide advanced imaging or consultation for both common and rare causes of pediatric abdominal pain.

Abstract Image

Abstract Image

Abstract Image

急诊超声诊断小儿腹痛的罕见病因。
一名11岁的月经后女性以2天的脐周和右下腹疼痛就诊于儿科急诊科。radiography -performed ultrasound (RADUS)不能显示阑尾,并且有一个外科会诊计划来决定是连续腹部检查还是计算机断层扫描(CT)扫描。在等待咨询并帮助进一步缩小鉴别诊断范围的同时,急诊医生对患者进行了尿路超声检查(POCUS)。检查发现了几个异常,包括一个孤立的左肾伴肾积水,以及一个边界清晰、充满液体的结构,在膀胱后和子宫下有混合回声。鉴于POCUS的这些发现,我们进行了进一步的影像学检查,包括骨盆的RADUS和腹部的磁共振成像(MRI)。进一步的影像学检查最终诊断为双角子宫、阴道分离伴阴道积血和左肾孤立,符合半阴道梗阻性和同侧肾异常(OHVIRA)综合征。本病例说明POCUS是缩小小儿腹痛常见和罕见病因鉴别诊断和指导高级影像学或会诊的宝贵工具。
本文章由计算机程序翻译,如有差异,请以英文原文为准。
求助全文
约1分钟内获得全文 求助全文
来源期刊
自引率
0.00%
发文量
0
×
引用
GB/T 7714-2015
复制
MLA
复制
APA
复制
导出至
BibTeX EndNote RefMan NoteFirst NoteExpress
×
提示
您的信息不完整,为了账户安全,请先补充。
现在去补充
×
提示
您因"违规操作"
具体请查看互助需知
我知道了
×
提示
确定
请完成安全验证×
copy
已复制链接
快去分享给好友吧!
我知道了
右上角分享
点击右上角分享
0
联系我们:info@booksci.cn Book学术提供免费学术资源搜索服务,方便国内外学者检索中英文文献。致力于提供最便捷和优质的服务体验。 Copyright © 2023 布克学术 All rights reserved.
京ICP备2023020795号-1
ghs 京公网安备 11010802042870号
Book学术文献互助
Book学术文献互助群
群 号:604180095
Book学术官方微信