Evaluating a Lung Abscess in a Pediatric Patient using Point of Care Ultrasound (POCUS).

POCUS journal Pub Date : 2024-11-15 eCollection Date: 2024-01-01 DOI:10.24908/pocus.v9i2.17603
Alisha Ching, Charles William Kropf
{"title":"Evaluating a Lung Abscess in a Pediatric Patient using Point of Care Ultrasound (POCUS).","authors":"Alisha Ching, Charles William Kropf","doi":"10.24908/pocus.v9i2.17603","DOIUrl":null,"url":null,"abstract":"<p><p>Application of ultrasound to evaluate pediatric respiratory disease in the emergency department setting is rapidly growing, particularly as we often weigh the risks of exposure to radiation with other readily available imaging modalities in the acute care setting. In this case report, we describe how point of care ultrasound (POCUS) was utilized by emergency providers to characterize a lung abscess diagnosed in a pediatric patient. We also compare the ultrasound findings to other imaging studies.</p>","PeriodicalId":74470,"journal":{"name":"POCUS journal","volume":"9 2","pages":"36-38"},"PeriodicalIF":0.0000,"publicationDate":"2024-11-15","publicationTypes":"Journal Article","fieldsOfStudy":null,"isOpenAccess":false,"openAccessPdf":"https://www.ncbi.nlm.nih.gov/pmc/articles/PMC11614494/pdf/","citationCount":"0","resultStr":null,"platform":"Semanticscholar","paperid":null,"PeriodicalName":"POCUS journal","FirstCategoryId":"1085","ListUrlMain":"https://doi.org/10.24908/pocus.v9i2.17603","RegionNum":0,"RegionCategory":null,"ArticlePicture":[],"TitleCN":null,"AbstractTextCN":null,"PMCID":null,"EPubDate":"2024/1/1 0:00:00","PubModel":"eCollection","JCR":"","JCRName":"","Score":null,"Total":0}
引用次数: 0

Abstract

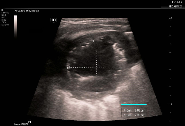
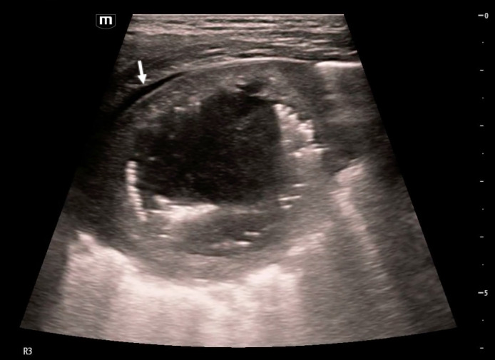
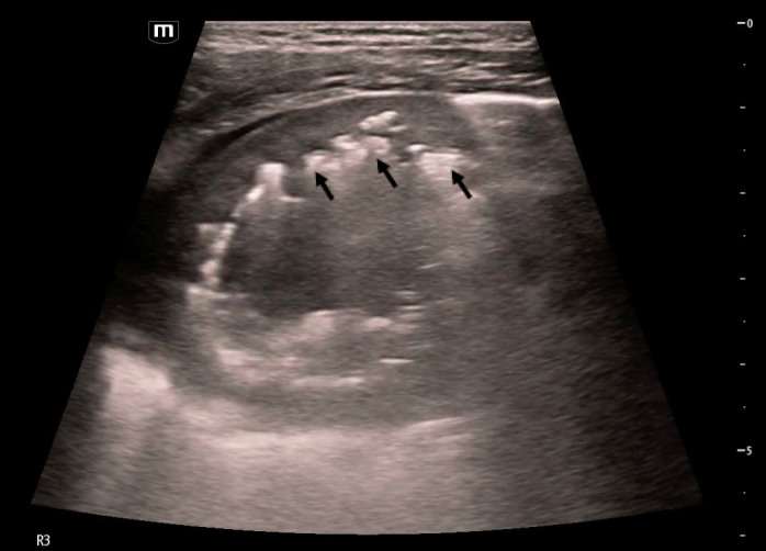
Application of ultrasound to evaluate pediatric respiratory disease in the emergency department setting is rapidly growing, particularly as we often weigh the risks of exposure to radiation with other readily available imaging modalities in the acute care setting. In this case report, we describe how point of care ultrasound (POCUS) was utilized by emergency providers to characterize a lung abscess diagnosed in a pediatric patient. We also compare the ultrasound findings to other imaging studies.

Abstract Image

Abstract Image

Abstract Image

使用点超声(POCUS)评估小儿患者的肺脓肿。
在急诊科环境中,超声评估儿科呼吸系统疾病的应用正在迅速增长,特别是当我们经常在急性护理环境中权衡辐射暴露的风险与其他容易获得的成像方式时。在本病例报告中,我们描述了急诊人员如何利用护理点超声(POCUS)来表征儿科患者诊断的肺脓肿。我们也将超声检查结果与其他影像学检查结果进行比较。
本文章由计算机程序翻译,如有差异,请以英文原文为准。
求助全文
约1分钟内获得全文 求助全文
来源期刊
自引率
0.00%
发文量
0
×
引用
GB/T 7714-2015
复制
MLA
复制
APA
复制
导出至
BibTeX EndNote RefMan NoteFirst NoteExpress
×
提示
您的信息不完整,为了账户安全,请先补充。
现在去补充
×
提示
您因"违规操作"
具体请查看互助需知
我知道了
×
提示
确定
请完成安全验证×
copy
已复制链接
快去分享给好友吧!
我知道了
右上角分享
点击右上角分享
0
联系我们:info@booksci.cn Book学术提供免费学术资源搜索服务,方便国内外学者检索中英文文献。致力于提供最便捷和优质的服务体验。 Copyright © 2023 布克学术 All rights reserved.
京ICP备2023020795号-1
ghs 京公网安备 11010802042870号
Book学术文献互助
Book学术文献互助群
群 号:604180095
Book学术官方微信