Challenges and strategies: treating spontaneous pneumothorax in massive pulmonary langerhans cell histiocytosis in children.

IF 2
Letícia Helena Kaça do Carmo, Luiz Augusto Marin Jaca, Luiz Miguel Vicente Barreiros, Gabriela Marengone Altizani, Leticia Fontanini, Maristella Bergamo Francisco Dos Reis, Mauricio André Pereira da Silva, Marcel Koenigkam Santos, Monica Cypriano, Ygor Aluísio Moura, Henrique Lederman, Carlos Alberto Scrideli, Elvis Terci Valera
{"title":"Challenges and strategies: treating spontaneous pneumothorax in massive pulmonary langerhans cell histiocytosis in children.","authors":"Letícia Helena Kaça do Carmo, Luiz Augusto Marin Jaca, Luiz Miguel Vicente Barreiros, Gabriela Marengone Altizani, Leticia Fontanini, Maristella Bergamo Francisco Dos Reis, Mauricio André Pereira da Silva, Marcel Koenigkam Santos, Monica Cypriano, Ygor Aluísio Moura, Henrique Lederman, Carlos Alberto Scrideli, Elvis Terci Valera","doi":"10.1590/1984-0462/2025/43/2024076","DOIUrl":null,"url":null,"abstract":"<p><strong>Objective: </strong>The objective of this study was to report two cases of successive multiple spontaneous bilateral pneumothorax in children with massive lung involvement due to Langerhans cell histiocytosis (LCH), emphasizing the possibility of this differential diagnosis for the general pediatrician. Additionally, published cases describing pediatric patients with pulmonary manifestations of LCH were reviewed in the literature.</p><p><strong>Case description: </strong>Case #1: A 3-year-old male patient with a sudden episode of spontaneous right-sided pneumothorax, surgically drained. After 2 months, he experienced two new episodes of contralateral pneumothorax. A pulmonary lymph node biopsy revealed the diagnosis of LCH. He underwent bilateral video-assisted thoracic surgery and mini-thoracotomy with mechanical pleurodesis, in addition to chemotherapy, requiring prolonged hospitalization. Case #2: A 4-year-old boy with progressive dyspnea and wheezing for 5 months. A pulmonary biopsy revealed LCH. He developed significant respiratory distress and right pneumothorax, requiring drainage. Silver nitrate pleurodesis and different chemotherapy regimens were performed. Both patients responded well to multiple chemotherapy treatments, surgeries, and intensive care support.</p><p><strong>Comments: </strong>LCH is a challenging disease. Its clinical manifestation is variable, and pulmonary involvement occurs in about 10-15% of cases. We consider specialized surgical management and multidisciplinary support essential for the treatment of patients with massive pulmonary LCH. Although rare, massive pulmonary involvement by LCH should be considered in cases of recurrent pneumothorax in children.</p>","PeriodicalId":74721,"journal":{"name":"Revista paulista de pediatria : orgao oficial da Sociedade de Pediatria de Sao Paulo","volume":"43 ","pages":"e2024076"},"PeriodicalIF":2.0000,"publicationDate":"2024-11-29","publicationTypes":"Journal Article","fieldsOfStudy":null,"isOpenAccess":false,"openAccessPdf":"https://www.ncbi.nlm.nih.gov/pmc/articles/PMC11606601/pdf/","citationCount":"0","resultStr":null,"platform":"Semanticscholar","paperid":null,"PeriodicalName":"Revista paulista de pediatria : orgao oficial da Sociedade de Pediatria de Sao Paulo","FirstCategoryId":"1085","ListUrlMain":"https://doi.org/10.1590/1984-0462/2025/43/2024076","RegionNum":0,"RegionCategory":null,"ArticlePicture":[],"TitleCN":null,"AbstractTextCN":null,"PMCID":null,"EPubDate":"2024/1/1 0:00:00","PubModel":"eCollection","JCR":"","JCRName":"","Score":null,"Total":0}
引用次数: 0

Abstract

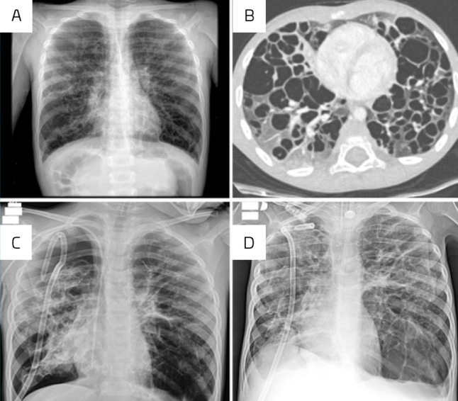
Objective: The objective of this study was to report two cases of successive multiple spontaneous bilateral pneumothorax in children with massive lung involvement due to Langerhans cell histiocytosis (LCH), emphasizing the possibility of this differential diagnosis for the general pediatrician. Additionally, published cases describing pediatric patients with pulmonary manifestations of LCH were reviewed in the literature.

Case description: Case #1: A 3-year-old male patient with a sudden episode of spontaneous right-sided pneumothorax, surgically drained. After 2 months, he experienced two new episodes of contralateral pneumothorax. A pulmonary lymph node biopsy revealed the diagnosis of LCH. He underwent bilateral video-assisted thoracic surgery and mini-thoracotomy with mechanical pleurodesis, in addition to chemotherapy, requiring prolonged hospitalization. Case #2: A 4-year-old boy with progressive dyspnea and wheezing for 5 months. A pulmonary biopsy revealed LCH. He developed significant respiratory distress and right pneumothorax, requiring drainage. Silver nitrate pleurodesis and different chemotherapy regimens were performed. Both patients responded well to multiple chemotherapy treatments, surgeries, and intensive care support.

Comments: LCH is a challenging disease. Its clinical manifestation is variable, and pulmonary involvement occurs in about 10-15% of cases. We consider specialized surgical management and multidisciplinary support essential for the treatment of patients with massive pulmonary LCH. Although rare, massive pulmonary involvement by LCH should be considered in cases of recurrent pneumothorax in children.

Abstract Image

Abstract Image

挑战和策略:治疗儿童大量肺朗格汉斯细胞组织细胞增多症并发自发性气胸。
目的:本研究的目的是报告两例由朗格汉斯细胞组织细胞增多症(LCH)引起的大面积肺部累及的连续多发性自发性双侧气胸患儿,强调普通儿科医生鉴别诊断的可能性。此外,文献回顾了已发表的描述LCH肺部表现的儿科患者的病例。病例描述:病例1:一名3岁男性患者突发自发性右侧气胸,手术引流。2个月后,他又经历了两次对侧气胸。肺淋巴结活检显示LCH的诊断。除了化疗外,他还接受了双侧胸腔镜手术和机械性胸膜切除术的小开胸手术,需要长期住院治疗。病例2:一名进行性呼吸困难和喘息5个月的4岁男孩。肺活检显示LCH。他出现了明显的呼吸窘迫和右侧气胸,需要引流。硝酸银胸膜固定术和不同的化疗方案。两名患者对多次化疗、手术和重症监护支持反应良好。点评:LCH是一种具有挑战性的疾病。其临床表现多变,约10-15%的病例累及肺部。我们认为专业的外科管理和多学科支持对于治疗大面积肺LCH患者至关重要。虽然罕见,但在儿童复发性气胸的病例中,应考虑LCH大面积累及肺部。
本文章由计算机程序翻译,如有差异,请以英文原文为准。
求助全文
约1分钟内获得全文 求助全文
来源期刊
自引率
0.00%
发文量
0
×
引用
GB/T 7714-2015
复制
MLA
复制
APA
复制
导出至
BibTeX EndNote RefMan NoteFirst NoteExpress
×
提示
您的信息不完整,为了账户安全,请先补充。
现在去补充
×
提示
您因"违规操作"
具体请查看互助需知
我知道了
×
提示
确定
请完成安全验证×
copy
已复制链接
快去分享给好友吧!
我知道了
右上角分享
点击右上角分享
0
联系我们:info@booksci.cn Book学术提供免费学术资源搜索服务,方便国内外学者检索中英文文献。致力于提供最便捷和优质的服务体验。 Copyright © 2023 布克学术 All rights reserved.
京ICP备2023020795号-1
ghs 京公网安备 11010802042870号
Book学术文献互助
Book学术文献互助群
群 号:604180095
Book学术官方微信