Sessile Serrated Lesions: Searching for the True Prevalence and Risk Factors in China.

IF 1.6 4区 医学 Q4 GASTROENTEROLOGY & HEPATOLOGY
Bing-Yue Yao, Li Zhang, Chuan-Xia Wu, Liang Zheng, Ben-Song Duan, Qin-Wei Xu, Jing-Jing Lian, Hai-Bin Zhang, Yu Wang, Jia Cao
{"title":"Sessile Serrated Lesions: Searching for the True Prevalence and Risk Factors in China.","authors":"Bing-Yue Yao, Li Zhang, Chuan-Xia Wu, Liang Zheng, Ben-Song Duan, Qin-Wei Xu, Jing-Jing Lian, Hai-Bin Zhang, Yu Wang, Jia Cao","doi":"10.5152/tjg.2024.24188","DOIUrl":null,"url":null,"abstract":"<p><strong>Background/aims: </strong>Growing recognition identifies sessile serrated lesions (SSL) as colorectal cancer (CRC) precursors. However, the SSL detection rate remains debatable and lacks a definitive consensus. Additionally, understanding the influencing factors in SSL development is limited. We aim to retrospectively analyze the true prevalence and risk factors of SSL in China.</p><p><strong>Materials and methods: </strong>This retrospective study collected medical data from patients who underwent colonoscopy at the Endoscopy Center of Shanghai East Hospital affiliated with Tongji University between March 1, 2019 and February 28, 2022. Data were sourced through the electronic medical record system and included information such as age, sex, lesion location, number, and pathology. This study predominantly focused on the detection rate and the clinical and endoscopic features of SSL.</p><p><strong>Results: </strong>Of 72 287 colonoscopies in 3 years, 3905 cases were histologically confirmed as SSL. Among them, 2290 (58.6%) were male, and 1615 (41.4%) were female. The overall SSL detection rate was 5.40%, slightly surpassing Asian/Chinese averages but lower than Western rates. Males had a higher SSL detection rate (6.1%) than females (4.6%). Univariate analysis revealed a significant association between SSL with dysplasia/adenocarcinoma (SSL-D/AD) and obesity (Body Mass Index, BMI ≥ 24), CRC family history, and hypertension. After multivariable logistic regression, only obesity (BMI ≥ 24) remained a statistically significant independent risk factor for SSL-D/AD.</p><p><strong>Conclusions: </strong>The SSL detection rate at our center is 5.4% and increases with age. Males have a significantly higher detection rate than females. Our findings suggest that endoscopists should consider risk factors for SSL-D/AD, such as obesity, CRC family history, and hypertension.</p>","PeriodicalId":51205,"journal":{"name":"Turkish Journal of Gastroenterology","volume":" ","pages":"15-23"},"PeriodicalIF":1.6000,"publicationDate":"2024-11-11","publicationTypes":"Journal Article","fieldsOfStudy":null,"isOpenAccess":false,"openAccessPdf":"https://www.ncbi.nlm.nih.gov/pmc/articles/PMC11736866/pdf/","citationCount":"0","resultStr":null,"platform":"Semanticscholar","paperid":null,"PeriodicalName":"Turkish Journal of Gastroenterology","FirstCategoryId":"3","ListUrlMain":"https://doi.org/10.5152/tjg.2024.24188","RegionNum":4,"RegionCategory":"医学","ArticlePicture":[],"TitleCN":null,"AbstractTextCN":null,"PMCID":null,"EPubDate":"","PubModel":"","JCR":"Q4","JCRName":"GASTROENTEROLOGY & HEPATOLOGY","Score":null,"Total":0}
引用次数: 0

Abstract

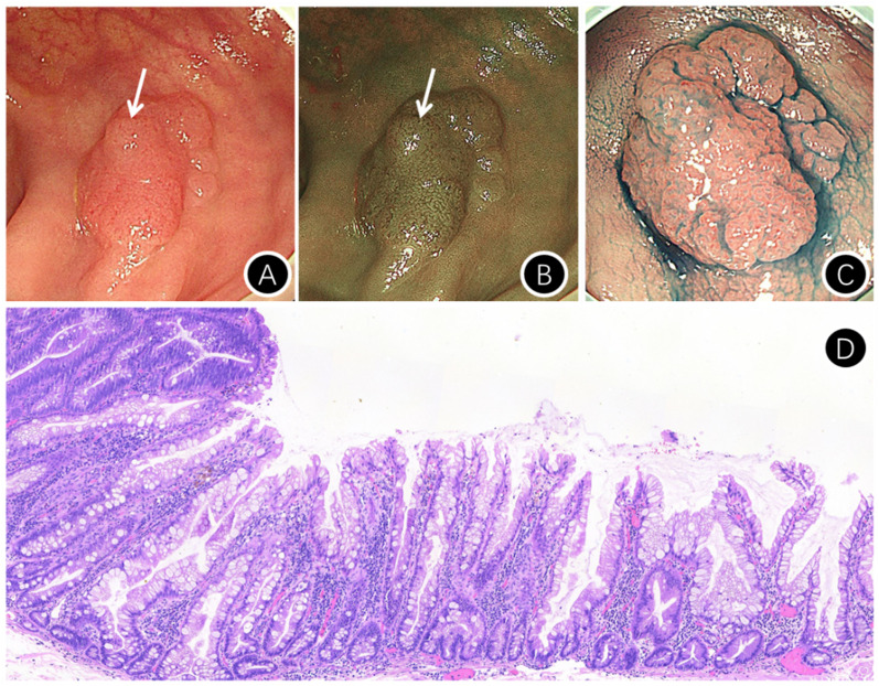
Background/aims: Growing recognition identifies sessile serrated lesions (SSL) as colorectal cancer (CRC) precursors. However, the SSL detection rate remains debatable and lacks a definitive consensus. Additionally, understanding the influencing factors in SSL development is limited. We aim to retrospectively analyze the true prevalence and risk factors of SSL in China.

Materials and methods: This retrospective study collected medical data from patients who underwent colonoscopy at the Endoscopy Center of Shanghai East Hospital affiliated with Tongji University between March 1, 2019 and February 28, 2022. Data were sourced through the electronic medical record system and included information such as age, sex, lesion location, number, and pathology. This study predominantly focused on the detection rate and the clinical and endoscopic features of SSL.

Results: Of 72 287 colonoscopies in 3 years, 3905 cases were histologically confirmed as SSL. Among them, 2290 (58.6%) were male, and 1615 (41.4%) were female. The overall SSL detection rate was 5.40%, slightly surpassing Asian/Chinese averages but lower than Western rates. Males had a higher SSL detection rate (6.1%) than females (4.6%). Univariate analysis revealed a significant association between SSL with dysplasia/adenocarcinoma (SSL-D/AD) and obesity (Body Mass Index, BMI ≥ 24), CRC family history, and hypertension. After multivariable logistic regression, only obesity (BMI ≥ 24) remained a statistically significant independent risk factor for SSL-D/AD.

Conclusions: The SSL detection rate at our center is 5.4% and increases with age. Males have a significantly higher detection rate than females. Our findings suggest that endoscopists should consider risk factors for SSL-D/AD, such as obesity, CRC family history, and hypertension.

Abstract Image

Abstract Image

Abstract Image

无柄锯齿状病变:寻找中国的真实患病率和危险因素。
背景/目的:越来越多的人认识到,无梗锯齿状病变(SSL)是结直肠癌(CRC)的前体。然而,SSL检测率仍然存在争议,缺乏明确的共识。此外,对SSL开发中影响因素的理解也是有限的。我们的目的是回顾性分析中国SSL的真实患病率和危险因素。材料与方法:本回顾性研究收集了2019年3月1日至2022年2月28日在同济大学附属上海东方医院内镜中心接受结肠镜检查的患者的医学数据。数据来源于电子病历系统,包括年龄、性别、病变部位、数量和病理等信息。本研究主要集中在SSL的检出率和临床及内镜特征。结果:在3年内72287例结肠镜检查中,3905例组织学证实为SSL。其中男性2290例(58.6%),女性1615例(41.4%)。SSL的整体检出率为5.40%,略高于亚洲/中国的平均水平,但低于西方国家。男性的SSL检出率(6.1%)高于女性(4.6%)。单因素分析显示,SSL与发育不良/腺癌(SSL- d /AD)、肥胖(体重指数,BMI≥24)、CRC家族史和高血压之间存在显著关联。多变量logistic回归后,只有肥胖(BMI≥24)仍然是SSL-D/AD的有统计学意义的独立危险因素。结论:我院SSL检出率为5.4%,随年龄增长检出率呈上升趋势。男性的检出率明显高于女性。我们的研究结果表明,内镜医师应考虑SSL-D/AD的危险因素,如肥胖、结直肠癌家族史和高血压。
本文章由计算机程序翻译,如有差异,请以英文原文为准。
求助全文
约1分钟内获得全文 求助全文
来源期刊
Turkish Journal of Gastroenterology
Turkish Journal of Gastroenterology 医学-胃肠肝病学
CiteScore
1.90
自引率
0.00%
发文量
127
审稿时长
6 months
期刊介绍: The Turkish Journal of Gastroenterology (Turk J Gastroenterol) is the double-blind peer-reviewed, open access, international publication organ of the Turkish Society of Gastroenterology. The journal is a bimonthly publication, published on January, March, May, July, September, November and its publication language is English. The Turkish Journal of Gastroenterology aims to publish international at the highest clinical and scientific level on original issues of gastroenterology and hepatology. The journal publishes original papers, review articles, case reports and letters to the editor on clinical and experimental gastroenterology and hepatology.
×
引用
GB/T 7714-2015
复制
MLA
复制
APA
复制
导出至
BibTeX EndNote RefMan NoteFirst NoteExpress
×
提示
您的信息不完整,为了账户安全,请先补充。
现在去补充
×
提示
您因"违规操作"
具体请查看互助需知
我知道了
×
提示
确定
请完成安全验证×
copy
已复制链接
快去分享给好友吧!
我知道了
右上角分享
点击右上角分享
0
联系我们:info@booksci.cn Book学术提供免费学术资源搜索服务,方便国内外学者检索中英文文献。致力于提供最便捷和优质的服务体验。 Copyright © 2023 布克学术 All rights reserved.
京ICP备2023020795号-1
ghs 京公网安备 11010802042870号
Book学术文献互助
Book学术文献互助群
群 号:604180095
Book学术官方微信