[GINS1 Enhances Glycolysis, Proliferation and Metastasis in Lung Adenocarcinoma Cells by Activating the Notch/PI3K/AKT/mTORC1 Signaling Pathway].

Q4 Medicine
Yishan Huo, Xiaohui Xu, Xiumin Ma, Yangchun Feng
{"title":"[GINS1 Enhances Glycolysis, Proliferation and Metastasis in Lung Adenocarcinoma Cells by Activating the Notch/PI3K/AKT/mTORC1 Signaling Pathway].","authors":"Yishan Huo, Xiaohui Xu, Xiumin Ma, Yangchun Feng","doi":"10.3779/j.issn.1009-3419.2024.101.27","DOIUrl":null,"url":null,"abstract":"<p><strong>Background: </strong>Lung cancer is the most common type of cancer, accounting for more than half of all cancer cases, with lung adenocarcinoma (LUAD) representing over half of lung cancer patients. Currently, the 5-year survival rate for metastatic LUAD patients remains low and there is an urgent need for new biomarkers as targets for targeted therapy. Go-Ichi-Ni-San 1 (GINS1), an important member of the GINS family, is closely related to the occurrence and development of human malignant tumors. This study aims to explore the role of GINS1 in glycolysis, proliferation, and metastasis of LUAD cells and the related molecular mechanisms.</p><p><strong>Methods: </strong>The expression of GINS1 was analysed using bioinformatics between LUAD patients and healthy controls. The expression levels of GINS1 in LUAD and adjacent tissues were detected by immunohistochemistry and Western blot. Western blot and real-time fluorescence quantitative polymerase chain reaction (qRT-PCR) were used to detect the expression of GINS1 in LUAD cell lines A549, SK-LU-1, Calu-3, H1299 and BEAS-2B. Stably knockdown GINS1 in A549 cells and its negative control cell line, as well as stably overexpress GINS1 in H1299 cells and its negative control cell line, were constructed by lentiviral transduction. Colony formation test was used to detect cell proliferation. Scratch test was used to detect cell migration. Transwell test was used to detect cell invasion, and the test kits were used to detect glucose consumption and lactate production. The expression levels of glycolysis-related proteins, Notch signaling pathway proteins and phosphatidylinositol-3-kinase/protein kinase B/mammalian target of rapamycin (PI3K/AKT/mTOR) signaling pathway proteins were detected by Western blot. The Notch receptor agonist Jagged1 was added to cells from the shGINS1-A549 group and the Notch receptor inhibitor LY3039478 was added to cells from the GINS1-OE-H1299 group for the regression assay.</p><p><strong>Results: </strong>The expression of GINS1 was up-regulated in LUAD patients, tissues and cell lines, and correlated with overall survival (P<0.05). Knockdown of GINS1 significantly inhibited the proliferation, migration and invasion of A549 cells (P<0.05), while overexpression of GINS1 significantly enhanced the proliferation, migration and invasion of H1299 cells (P<0.05). Furthermore, knockdown of GINS1 resulted in reduced glucose consumption, reduced lactate production, and reduced expression levels of glycolytic-related proteins in A549 cells (P<0.05); overexpression of GINS1 enhanced glycolytic level in H1299 cells (P<0.05). The expression levels of Notch1, Notch3, phosphorylated-PI3K (p-PI3K), phosphorylated-AKT (p-AKT) and phosphorylated-mTORC1 (Ser2448)[p-mTORC1 (Ser2448)] in A549 cells were significantly decreased by GINS1 knockdown (P<0.05), while the expression levels of PI3K, AKT, mTOR and p-mTORC2 (Ser2481) were not significantly changed (P>0.05). Overexpression of GINS1 increased the levels of Notch1, Notch3 and PI3K/AKT/mTORC1 pathway phosphorylated proteins in H1299 cells (P<0.05). Jagged1 significantly reversed the inhibition of glycolysis, proliferation and metastasis induced by GINS1 knockdown in A549 cells (P<0.05), and LY3039478 significantly inhibited the enhancement of glycolysis, proliferation and metastasis induced by GINS1 overexpression in H1299 cells (P<0.05).</p><p><strong>Conclusions: </strong>The expression of GINS1 enhances the expression of Notch1 and Notch3 receptors, and then phosphorylates and activates the downstream PI3K/AKT/mTORC1 signaling pathway to enhance the glycolysis, proliferation and metastasis of LUAD cells.</p>","PeriodicalId":39317,"journal":{"name":"中国肺癌杂志","volume":"27 10","pages":"735-744"},"PeriodicalIF":0.0000,"publicationDate":"2024-10-20","publicationTypes":"Journal Article","fieldsOfStudy":null,"isOpenAccess":false,"openAccessPdf":"https://www.ncbi.nlm.nih.gov/pmc/articles/PMC11629005/pdf/","citationCount":"0","resultStr":null,"platform":"Semanticscholar","paperid":null,"PeriodicalName":"中国肺癌杂志","FirstCategoryId":"3","ListUrlMain":"https://doi.org/10.3779/j.issn.1009-3419.2024.101.27","RegionNum":0,"RegionCategory":null,"ArticlePicture":[],"TitleCN":null,"AbstractTextCN":null,"PMCID":null,"EPubDate":"","PubModel":"","JCR":"Q4","JCRName":"Medicine","Score":null,"Total":0}
引用次数: 0

Abstract

Background: Lung cancer is the most common type of cancer, accounting for more than half of all cancer cases, with lung adenocarcinoma (LUAD) representing over half of lung cancer patients. Currently, the 5-year survival rate for metastatic LUAD patients remains low and there is an urgent need for new biomarkers as targets for targeted therapy. Go-Ichi-Ni-San 1 (GINS1), an important member of the GINS family, is closely related to the occurrence and development of human malignant tumors. This study aims to explore the role of GINS1 in glycolysis, proliferation, and metastasis of LUAD cells and the related molecular mechanisms.

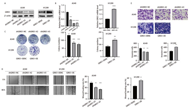
Methods: The expression of GINS1 was analysed using bioinformatics between LUAD patients and healthy controls. The expression levels of GINS1 in LUAD and adjacent tissues were detected by immunohistochemistry and Western blot. Western blot and real-time fluorescence quantitative polymerase chain reaction (qRT-PCR) were used to detect the expression of GINS1 in LUAD cell lines A549, SK-LU-1, Calu-3, H1299 and BEAS-2B. Stably knockdown GINS1 in A549 cells and its negative control cell line, as well as stably overexpress GINS1 in H1299 cells and its negative control cell line, were constructed by lentiviral transduction. Colony formation test was used to detect cell proliferation. Scratch test was used to detect cell migration. Transwell test was used to detect cell invasion, and the test kits were used to detect glucose consumption and lactate production. The expression levels of glycolysis-related proteins, Notch signaling pathway proteins and phosphatidylinositol-3-kinase/protein kinase B/mammalian target of rapamycin (PI3K/AKT/mTOR) signaling pathway proteins were detected by Western blot. The Notch receptor agonist Jagged1 was added to cells from the shGINS1-A549 group and the Notch receptor inhibitor LY3039478 was added to cells from the GINS1-OE-H1299 group for the regression assay.

Results: The expression of GINS1 was up-regulated in LUAD patients, tissues and cell lines, and correlated with overall survival (P<0.05). Knockdown of GINS1 significantly inhibited the proliferation, migration and invasion of A549 cells (P<0.05), while overexpression of GINS1 significantly enhanced the proliferation, migration and invasion of H1299 cells (P<0.05). Furthermore, knockdown of GINS1 resulted in reduced glucose consumption, reduced lactate production, and reduced expression levels of glycolytic-related proteins in A549 cells (P<0.05); overexpression of GINS1 enhanced glycolytic level in H1299 cells (P<0.05). The expression levels of Notch1, Notch3, phosphorylated-PI3K (p-PI3K), phosphorylated-AKT (p-AKT) and phosphorylated-mTORC1 (Ser2448)[p-mTORC1 (Ser2448)] in A549 cells were significantly decreased by GINS1 knockdown (P<0.05), while the expression levels of PI3K, AKT, mTOR and p-mTORC2 (Ser2481) were not significantly changed (P>0.05). Overexpression of GINS1 increased the levels of Notch1, Notch3 and PI3K/AKT/mTORC1 pathway phosphorylated proteins in H1299 cells (P<0.05). Jagged1 significantly reversed the inhibition of glycolysis, proliferation and metastasis induced by GINS1 knockdown in A549 cells (P<0.05), and LY3039478 significantly inhibited the enhancement of glycolysis, proliferation and metastasis induced by GINS1 overexpression in H1299 cells (P<0.05).

Conclusions: The expression of GINS1 enhances the expression of Notch1 and Notch3 receptors, and then phosphorylates and activates the downstream PI3K/AKT/mTORC1 signaling pathway to enhance the glycolysis, proliferation and metastasis of LUAD cells.

Abstract Image

Abstract Image

Abstract Image

[GINS1通过激活Notch/PI3K/AKT/mTORC1信号通路促进肺腺癌细胞糖酵解、增殖和转移]。
背景:肺癌是最常见的癌症类型,占所有癌症病例的一半以上,其中肺腺癌(LUAD)占肺癌患者的一半以上。目前,转移性LUAD患者的5年生存率仍然很低,迫切需要新的生物标志物作为靶向治疗的靶点。Go-Ichi-Ni-San 1 (GINS1)是GINS家族的重要成员,与人类恶性肿瘤的发生发展密切相关。本研究旨在探讨GINS1在LUAD细胞糖酵解、增殖和转移中的作用及其分子机制。方法:应用生物信息学方法分析LUAD患者与健康对照组GINS1的表达。免疫组化和Western blot检测GINS1在LUAD及邻近组织中的表达水平。采用Western blot和实时荧光定量聚合酶链反应(qRT-PCR)检测GINS1在LUAD细胞系A549、SK-LU-1、Calu-3、H1299和BEAS-2B中的表达。通过慢病毒转导,构建了在A549细胞及其阴性对照细胞系中稳定敲低GINS1,在H1299细胞及其阴性对照细胞系中稳定过表达GINS1。采用菌落形成试验检测细胞增殖情况。采用划痕试验检测细胞迁移。采用Transwell试验检测细胞侵袭,采用试剂盒检测葡萄糖消耗和乳酸生成。Western blot检测糖酵解相关蛋白、Notch信号通路蛋白和磷脂酰肌醇-3激酶/蛋白激酶B/哺乳动物雷帕霉素靶蛋白(PI3K/AKT/mTOR)信号通路蛋白的表达水平。在shGINS1-A549组细胞中加入Notch受体激动剂Jagged1,在gins1 - ee - h1299组细胞中加入Notch受体抑制剂LY3039478进行回归实验。结果:GINS1在LUAD患者及组织细胞系中表达上调,并与总生存率相关(P0.05)。过表达GINS1可使H1299细胞中Notch1、Notch3和PI3K/AKT/mTORC1通路磷酸化蛋白水平升高(结论:GINS1的表达可增强Notch1和Notch3受体的表达,进而磷酸化激活下游PI3K/AKT/mTORC1信号通路,促进LUAD细胞的糖酵解、增殖和转移。
本文章由计算机程序翻译,如有差异,请以英文原文为准。
求助全文
约1分钟内获得全文 求助全文
来源期刊
中国肺癌杂志
中国肺癌杂志 Medicine-Pulmonary and Respiratory Medicine
CiteScore
1.40
自引率
0.00%
发文量
5131
审稿时长
14 weeks
期刊介绍: Chinese Journal of Lung Cancer(CJLC, pISSN 1009-3419, eISSN 1999-6187), a monthly Open Access journal, is hosted by Chinese Anti-Cancer Association, Chinese Antituberculosis Association, Tianjin Medical University General Hospital. CJLC was indexed in DOAJ, EMBASE/SCOPUS, Chemical Abstract(CA), CSA-Biological Science, HINARI, EBSCO-CINAHL,CABI Abstract, Global Health, CNKI, etc. Editor-in-Chief: Professor Qinghua ZHOU.
×
引用
GB/T 7714-2015
复制
MLA
复制
APA
复制
导出至
BibTeX EndNote RefMan NoteFirst NoteExpress
×
提示
您的信息不完整,为了账户安全,请先补充。
现在去补充
×
提示
您因"违规操作"
具体请查看互助需知
我知道了
×
提示
确定
请完成安全验证×
copy
已复制链接
快去分享给好友吧!
我知道了
右上角分享
点击右上角分享
0
联系我们:info@booksci.cn Book学术提供免费学术资源搜索服务,方便国内外学者检索中英文文献。致力于提供最便捷和优质的服务体验。 Copyright © 2023 布克学术 All rights reserved.
京ICP备2023020795号-1
ghs 京公网安备 11010802042870号
Book学术文献互助
Book学术文献互助群
群 号:604180095
Book学术官方微信