Vascular irregularities in COVID-19: findings on computed tomography pulmonary angiography.

Q3 Medicine
Radiologia Brasileira Pub Date : 2024-11-18 eCollection Date: 2024-01-01 DOI:10.1590/0100-3984.2024.0054-en
Luiz Felipe Nobre, Sérgio Ferreira Alves Júnior, Elazir Barbosa Di Puglia, Rosana Rodrigues, Gláucia Zanetti, Edson Marchiori
{"title":"Vascular irregularities in COVID-19: findings on computed tomography pulmonary angiography.","authors":"Luiz Felipe Nobre, Sérgio Ferreira Alves Júnior, Elazir Barbosa Di Puglia, Rosana Rodrigues, Gláucia Zanetti, Edson Marchiori","doi":"10.1590/0100-3984.2024.0054-en","DOIUrl":null,"url":null,"abstract":"<p><strong>Objective: </strong>The purpose of this study was to evaluate the characteristics and meaning of the vessel wall irregularities sign, observed on computed tomography angiography of the pulmonary arteries of patients with coronavirus disease 2019 (COVID-19) pneumonia.</p><p><strong>Materials and methods: </strong>This retrospective study of the computed tomography pulmonary angiography findings of 65 patients diagnosed with COVID-19 included 27 women and 38 men, with a median age of 52 years (range, 20-86 years). The diagnosis of COVID-19 was established through reverse transcription-polymerase chain reaction for infection with severe acute respiratory syndrome coronavirus 2.</p><p><strong>Results: </strong>The vessel wall irregularities sign was observed in 50 (76.9%) of the 65 patients with COVID-19. Among those 50 patients, the vascular involvement was predominantly mixed (arterial and venous) in 43 (86%), subsegmental in all 50 (100%), segmental in 13 (26%), bilateral in 46 (92%), affecting 4-5 lobes in 35 (70%), mainly in the right lower lobe in 46 (92%), and mainly in the left lower lobe in 44 (88%).</p><p><strong>Conclusion: </strong>The vessel wall irregularities is a prevalent sign of vascular involvement in patients with COVID-19.</p>","PeriodicalId":20842,"journal":{"name":"Radiologia Brasileira","volume":"57 ","pages":"e20240054"},"PeriodicalIF":0.0000,"publicationDate":"2024-11-18","publicationTypes":"Journal Article","fieldsOfStudy":null,"isOpenAccess":false,"openAccessPdf":"https://www.ncbi.nlm.nih.gov/pmc/articles/PMC11616031/pdf/","citationCount":"0","resultStr":null,"platform":"Semanticscholar","paperid":null,"PeriodicalName":"Radiologia Brasileira","FirstCategoryId":"1085","ListUrlMain":"https://doi.org/10.1590/0100-3984.2024.0054-en","RegionNum":0,"RegionCategory":null,"ArticlePicture":[],"TitleCN":null,"AbstractTextCN":null,"PMCID":null,"EPubDate":"2024/1/1 0:00:00","PubModel":"eCollection","JCR":"Q3","JCRName":"Medicine","Score":null,"Total":0}
引用次数: 0

Abstract

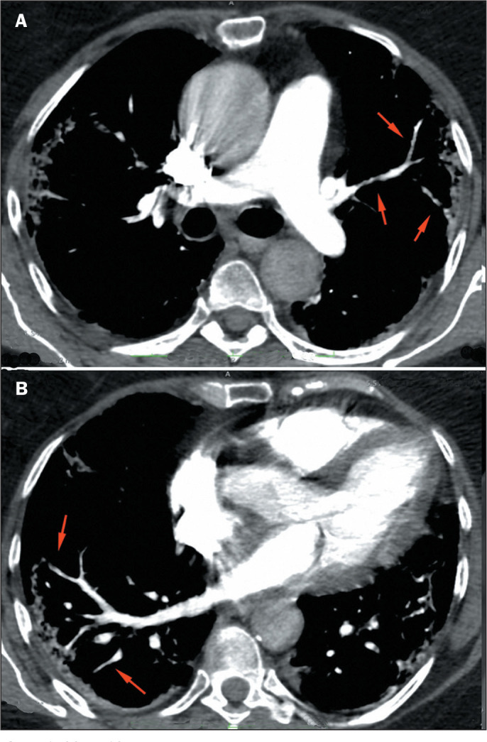
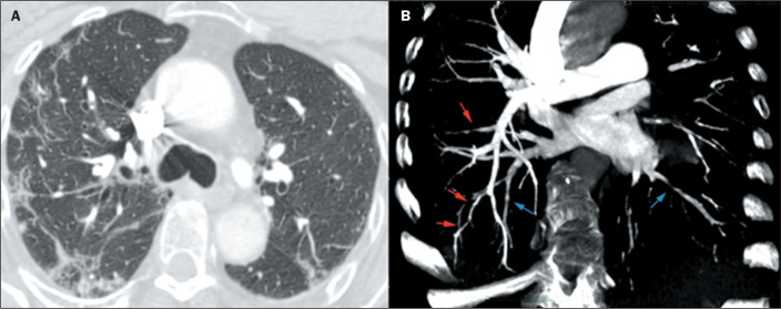
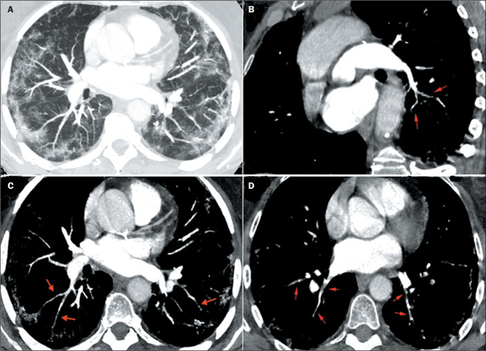
Objective: The purpose of this study was to evaluate the characteristics and meaning of the vessel wall irregularities sign, observed on computed tomography angiography of the pulmonary arteries of patients with coronavirus disease 2019 (COVID-19) pneumonia.

Materials and methods: This retrospective study of the computed tomography pulmonary angiography findings of 65 patients diagnosed with COVID-19 included 27 women and 38 men, with a median age of 52 years (range, 20-86 years). The diagnosis of COVID-19 was established through reverse transcription-polymerase chain reaction for infection with severe acute respiratory syndrome coronavirus 2.

Results: The vessel wall irregularities sign was observed in 50 (76.9%) of the 65 patients with COVID-19. Among those 50 patients, the vascular involvement was predominantly mixed (arterial and venous) in 43 (86%), subsegmental in all 50 (100%), segmental in 13 (26%), bilateral in 46 (92%), affecting 4-5 lobes in 35 (70%), mainly in the right lower lobe in 46 (92%), and mainly in the left lower lobe in 44 (88%).

Conclusion: The vessel wall irregularities is a prevalent sign of vascular involvement in patients with COVID-19.

Abstract Image

Abstract Image

Abstract Image

COVID-19血管不规则:计算机断层肺血管造影的发现。
目的:探讨2019冠状病毒病(COVID-19)肺炎患者肺动脉ct血管造影观察到的血管壁不规则征象的特点及意义。材料和方法:本研究回顾性分析了65例确诊为COVID-19的患者的计算机断层肺血管造影表现,其中女性27例,男性38例,中位年龄52岁(范围20-86岁)。采用严重急性呼吸综合征冠状病毒2型感染逆转录聚合酶链反应建立COVID-19诊断。结果:65例新冠肺炎患者中有50例(76.9%)出现血管壁不规则征象。50例患者中,43例(86%)以混合性(动脉和静脉)为主,50例均为亚节段性(100%),13例(26%)为节段性(26%),46例(92%)为双侧(92%),35例(70%)累及4-5叶,46例(92%)以右下叶为主,44例(88%)以左下叶为主。结论:血管壁不规则是COVID-19患者血管受累的常见征象。
本文章由计算机程序翻译,如有差异,请以英文原文为准。
求助全文
约1分钟内获得全文 求助全文
来源期刊
Radiologia Brasileira
Radiologia Brasileira Medicine-Radiology, Nuclear Medicine and Imaging
CiteScore
2.60
自引率
0.00%
发文量
75
审稿时长
28 weeks
×
引用
GB/T 7714-2015
复制
MLA
复制
APA
复制
导出至
BibTeX EndNote RefMan NoteFirst NoteExpress
×
提示
您的信息不完整,为了账户安全,请先补充。
现在去补充
×
提示
您因"违规操作"
具体请查看互助需知
我知道了
×
提示
确定
请完成安全验证×
copy
已复制链接
快去分享给好友吧!
我知道了
右上角分享
点击右上角分享
0
联系我们:info@booksci.cn Book学术提供免费学术资源搜索服务,方便国内外学者检索中英文文献。致力于提供最便捷和优质的服务体验。 Copyright © 2023 布克学术 All rights reserved.
京ICP备2023020795号-1
ghs 京公网安备 11010802042870号
Book学术文献互助
Book学术文献互助群
群 号:604180095
Book学术官方微信