Case report: lichen planus in a patient with ulcerative colitis receiving sulfasalazine: a drug effect or a disease manifestation?

IF 2.1 Q3 MEDICINE, RESEARCH & EXPERIMENTAL
Future Science OA Pub Date : 2025-12-01 Epub Date: 2024-12-05 DOI:10.1080/20565623.2024.2432240
Ahmed Mohamed Nefzi, Haythem Yacoub, Asmahane Souissi, Hajer Hassine, Dhouha Cherif, Habiba Debbabi, Héla Kchir, Nadia Maamouri
{"title":"Case report: lichen planus in a patient with ulcerative colitis receiving sulfasalazine: a drug effect or a disease manifestation?","authors":"Ahmed Mohamed Nefzi, Haythem Yacoub, Asmahane Souissi, Hajer Hassine, Dhouha Cherif, Habiba Debbabi, Héla Kchir, Nadia Maamouri","doi":"10.1080/20565623.2024.2432240","DOIUrl":null,"url":null,"abstract":"<p><p>Lichen Planus is an inflammatory skin disease that has been reported to be associated with inflammatory diseases like Inflammatory Bowel Disease or with medication use such as sulfasalazine. We report a case of lichen planus in a 62-year-old patient with ulcerative colitis receiving sulfasalazine. Within three years of treatment, the patient developed an erythematous rash on her forehead and wrists, which gradually worsened and spread to her arms, forearms, neck, and upper back. Lichen planus was suspected and later confirmed through histopathological examination. Consequently, sulfasalazine was discontinued, leading to partial resolution of the skin lesions. Our case highlights the importance of a thorough patient interview, as the timeline of skin lesions in relation to medication use and disease activity.</p>","PeriodicalId":12568,"journal":{"name":"Future Science OA","volume":"11 1","pages":"2432240"},"PeriodicalIF":2.1000,"publicationDate":"2025-12-01","publicationTypes":"Journal Article","fieldsOfStudy":null,"isOpenAccess":false,"openAccessPdf":"https://www.ncbi.nlm.nih.gov/pmc/articles/PMC11622799/pdf/","citationCount":"0","resultStr":null,"platform":"Semanticscholar","paperid":null,"PeriodicalName":"Future Science OA","FirstCategoryId":"1085","ListUrlMain":"https://doi.org/10.1080/20565623.2024.2432240","RegionNum":0,"RegionCategory":null,"ArticlePicture":[],"TitleCN":null,"AbstractTextCN":null,"PMCID":null,"EPubDate":"2024/12/5 0:00:00","PubModel":"Epub","JCR":"Q3","JCRName":"MEDICINE, RESEARCH & EXPERIMENTAL","Score":null,"Total":0}
引用次数: 0

Abstract

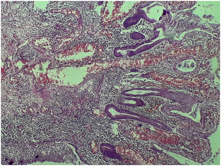
Lichen Planus is an inflammatory skin disease that has been reported to be associated with inflammatory diseases like Inflammatory Bowel Disease or with medication use such as sulfasalazine. We report a case of lichen planus in a 62-year-old patient with ulcerative colitis receiving sulfasalazine. Within three years of treatment, the patient developed an erythematous rash on her forehead and wrists, which gradually worsened and spread to her arms, forearms, neck, and upper back. Lichen planus was suspected and later confirmed through histopathological examination. Consequently, sulfasalazine was discontinued, leading to partial resolution of the skin lesions. Our case highlights the importance of a thorough patient interview, as the timeline of skin lesions in relation to medication use and disease activity.

Abstract Image

Abstract Image

Abstract Image

病例报告:溃疡性结肠炎患者接受柳氮磺胺吡啶治疗后出现扁平苔藓:是药物作用还是疾病表现?
扁平苔藓是一种炎症性皮肤病,据报道,它与炎症性肠病等炎症性疾病或磺胺吡啶等药物的使用有关。我们报告一个62岁的溃疡性结肠炎患者接受磺胺氮磺胺吡啶治疗后出现扁平苔藓的病例。在3年的治疗中,患者的前额和手腕出现红斑疹,并逐渐恶化并扩散到手臂、前臂、颈部和上背部。怀疑为扁平苔藓,病理检查证实为扁平苔藓。因此,停用磺胺吡啶,导致皮肤病变部分消退。我们的病例强调了彻底的患者访谈的重要性,因为皮肤损伤的时间轴与药物使用和疾病活动有关。
本文章由计算机程序翻译,如有差异,请以英文原文为准。
求助全文
约1分钟内获得全文 求助全文
来源期刊
Future Science OA
Future Science OA MEDICINE, RESEARCH & EXPERIMENTAL-
CiteScore
5.00
自引率
4.00%
发文量
48
审稿时长
13 weeks
期刊介绍: Future Science OA is an online, open access, peer-reviewed title from the Future Science Group. The journal covers research and discussion related to advances in biotechnology, medicine and health. The journal embraces the importance of publishing all good-quality research with the potential to further the progress of research in these fields. All original research articles will be considered that are within the journal''s scope, and have been conducted with scientific rigour and research integrity. The journal also features review articles, editorials and perspectives, providing readers with a leading source of commentary and analysis. Submissions of the following article types will be considered: -Research articles -Preliminary communications -Short communications -Methodologies -Trial design articles -Trial results (including early-phase and negative studies) -Reviews -Perspectives -Commentaries
×
引用
GB/T 7714-2015
复制
MLA
复制
APA
复制
导出至
BibTeX EndNote RefMan NoteFirst NoteExpress
×
提示
您的信息不完整,为了账户安全,请先补充。
现在去补充
×
提示
您因"违规操作"
具体请查看互助需知
我知道了
×
提示
确定
请完成安全验证×
copy
已复制链接
快去分享给好友吧!
我知道了
右上角分享
点击右上角分享
0
联系我们:info@booksci.cn Book学术提供免费学术资源搜索服务,方便国内外学者检索中英文文献。致力于提供最便捷和优质的服务体验。 Copyright © 2023 布克学术 All rights reserved.
京ICP备2023020795号-1
ghs 京公网安备 11010802042870号
Book学术文献互助
Book学术文献互助群
群 号:604180095
Book学术官方微信