Aggressive Synchronous Papillary and Likely Follicular Thyroid Carcinomas in a Patient with Graves' Disease.

IF 1.2 Q4 ENDOCRINOLOGY & METABOLISM
Gerald Sng Gui Ren, Sarah Tan Ying Tse, Edwin Chew Jun Chen, Sangeeta Mantoo, Chng Chiaw Ling
{"title":"Aggressive Synchronous Papillary and Likely Follicular Thyroid Carcinomas in a Patient with Graves' Disease.","authors":"Gerald Sng Gui Ren, Sarah Tan Ying Tse, Edwin Chew Jun Chen, Sangeeta Mantoo, Chng Chiaw Ling","doi":"10.15605/jafes.039.02.08","DOIUrl":null,"url":null,"abstract":"<p><p>We report a case of an uncommonly aggressive presentation of the rare entity of synchronous papillary (PTC) and follicular thyroid carcinomas (FTC) in a 67-year-old female initially presenting with thyrotoxicosis from Graves' disease. She was found to have two thyroid nodules with extensive intra-cardiac tumour thrombus, symptomatic left pelvis bony metastasis with pathological fracture, pulmonary metastases and mediastinal lymph node metastases. Further investigations suggested a diagnosis of synchronous papillary and metastatic follicular thyroid cancer. Treatment with radical surgery followed by adjuvant therapeutic radioiodine ablation was proposed, but the patient declined all forms of cancer-specific therapy and was elected solely for a palliative approach to treatment. We discuss the diagnostic considerations in arriving at the diagnosis of synchronous thyroid malignancy - in this case the clear features of PTC and the strong probability of FTC due to invasiveness and metastatic follicular lesions. This case underscores potential limitations of the ACR TI-RADS system, notably with certain ultrasonographic features suggesting malignancy that might not be adequately captured. Notably, the aggressive presentation of DTC in this case may be contributed by the concurrent presence of Graves' Disease, suggesting heightened vigilance when assessing potential thyroid malignancies in such patients.</p>","PeriodicalId":41792,"journal":{"name":"Journal of the ASEAN Federation of Endocrine Societies","volume":"39 2","pages":"119-123"},"PeriodicalIF":1.2000,"publicationDate":"2024-01-01","publicationTypes":"Journal Article","fieldsOfStudy":null,"isOpenAccess":false,"openAccessPdf":"https://www.ncbi.nlm.nih.gov/pmc/articles/PMC11604363/pdf/","citationCount":"0","resultStr":null,"platform":"Semanticscholar","paperid":null,"PeriodicalName":"Journal of the ASEAN Federation of Endocrine Societies","FirstCategoryId":"1085","ListUrlMain":"https://doi.org/10.15605/jafes.039.02.08","RegionNum":0,"RegionCategory":null,"ArticlePicture":[],"TitleCN":null,"AbstractTextCN":null,"PMCID":null,"EPubDate":"2024/8/1 0:00:00","PubModel":"Epub","JCR":"Q4","JCRName":"ENDOCRINOLOGY & METABOLISM","Score":null,"Total":0}
引用次数: 0

Abstract

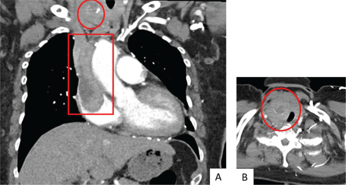
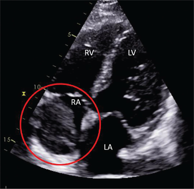
We report a case of an uncommonly aggressive presentation of the rare entity of synchronous papillary (PTC) and follicular thyroid carcinomas (FTC) in a 67-year-old female initially presenting with thyrotoxicosis from Graves' disease. She was found to have two thyroid nodules with extensive intra-cardiac tumour thrombus, symptomatic left pelvis bony metastasis with pathological fracture, pulmonary metastases and mediastinal lymph node metastases. Further investigations suggested a diagnosis of synchronous papillary and metastatic follicular thyroid cancer. Treatment with radical surgery followed by adjuvant therapeutic radioiodine ablation was proposed, but the patient declined all forms of cancer-specific therapy and was elected solely for a palliative approach to treatment. We discuss the diagnostic considerations in arriving at the diagnosis of synchronous thyroid malignancy - in this case the clear features of PTC and the strong probability of FTC due to invasiveness and metastatic follicular lesions. This case underscores potential limitations of the ACR TI-RADS system, notably with certain ultrasonographic features suggesting malignancy that might not be adequately captured. Notably, the aggressive presentation of DTC in this case may be contributed by the concurrent presence of Graves' Disease, suggesting heightened vigilance when assessing potential thyroid malignancies in such patients.

Abstract Image

Abstract Image

Abstract Image

格雷夫斯病患者的侵袭性同步甲状腺乳头状癌和可能的滤泡性甲状腺癌
我们报告一例罕见的侵袭性的同步乳头状(PTC)和滤泡性甲状腺癌(FTC)在一个67岁的女性最初表现为甲状腺毒症从格雷夫斯病。她发现有两个甲状腺结节并广泛的心脏内肿瘤血栓,症状性左骨盆骨转移伴病理性骨折,肺转移和纵隔淋巴结转移。进一步的检查显示诊断为同步乳头状和转移性甲状腺滤泡癌。建议根治性手术后辅助放射性碘消融治疗,但患者拒绝所有形式的癌症特异性治疗,仅选择姑息性治疗方法。我们讨论了同步甲状腺恶性肿瘤诊断的诊断考虑因素——在这种情况下,PTC的明确特征和侵袭性和转移性滤泡病变引起的FTC的高概率。该病例强调了ACR TI-RADS系统的潜在局限性,特别是某些超声特征提示可能无法充分捕获的恶性肿瘤。值得注意的是,本例DTC的侵袭性表现可能与Graves病的同时存在有关,这提示在评估此类患者潜在的甲状腺恶性肿瘤时应提高警惕。
本文章由计算机程序翻译,如有差异,请以英文原文为准。
求助全文
约1分钟内获得全文 求助全文
来源期刊
CiteScore
1.20
自引率
0.00%
发文量
22
审稿时长
8 weeks
期刊介绍: The Journal of the ASEAN Federation of Endocrine Societies (JAFES) is an OPEN ACCESS, internationally peer-reviewed, English language, medical and health science journal that is published in print two times a year by the ASEAN Federation of Endocrine Societies. It shall serve as the endocrine window between the ASEAN region and the world, featuring original papers and publishing key findings from specialists and experts of endocrinology.
×
引用
GB/T 7714-2015
复制
MLA
复制
APA
复制
导出至
BibTeX EndNote RefMan NoteFirst NoteExpress
×
提示
您的信息不完整,为了账户安全,请先补充。
现在去补充
×
提示
您因"违规操作"
具体请查看互助需知
我知道了
×
提示
确定
请完成安全验证×
copy
已复制链接
快去分享给好友吧!
我知道了
右上角分享
点击右上角分享
0
联系我们:info@booksci.cn Book学术提供免费学术资源搜索服务,方便国内外学者检索中英文文献。致力于提供最便捷和优质的服务体验。 Copyright © 2023 布克学术 All rights reserved.
京ICP备2023020795号-1
ghs 京公网安备 11010802042870号
Book学术文献互助
Book学术文献互助群
群 号:604180095
Book学术官方微信