Carbamazepine treatment of myotonia congenita in a cat.

IF 0.7 Q3 VETERINARY SCIENCES
Journal of Feline Medicine and Surgery Open Reports Pub Date : 2024-11-28 eCollection Date: 2024-07-01 DOI:10.1177/20551169241288447
Genesis V Lopez Bonilla, Elizabeth Parsley, G Diane Shelton, Dominik Faissler
{"title":"Carbamazepine treatment of myotonia congenita in a cat.","authors":"Genesis V Lopez Bonilla, Elizabeth Parsley, G Diane Shelton, Dominik Faissler","doi":"10.1177/20551169241288447","DOIUrl":null,"url":null,"abstract":"<p><strong>Case summary: </strong>A 2-year-old female intact domestic shorthair cat was referred to the neurology service at the Foster Hospital for Small Animals as a result of lifelong weakness, seizure-like episodes after excitement, muscle spasms, stiffness of the limbs and shortness of breath. A diagnosis of myotonia congenita (MC) was made based on compatible history, clinical signs and electromyography findings, and excluding other causes of muscle weakness using muscle biopsy, baseline bloodwork and echocardiography. Initial treatment with procainamide had overall low efficacy. The cat was then switched to carbamazepine, which provided long-term improvement in clinical signs at a dosage of 7.4 mg/kg PO q12h with no observed clinical side effects.</p><p><strong>Relevance and novel information: </strong>To date, there is only a single case report describing the successful treatment of MC in cats, and no report describing the use of carbamazepine to treat this condition in this species. This anti-convulsant medication was shown to be anecdotally effective in the case reported. Further research is needed to categorize the metabolism, pharmacokinetics, tolerance, dose range and efficacy of carbamazepine in cats with and without MC.</p>","PeriodicalId":36588,"journal":{"name":"Journal of Feline Medicine and Surgery Open Reports","volume":"10 2","pages":"20551169241288447"},"PeriodicalIF":0.7000,"publicationDate":"2024-11-28","publicationTypes":"Journal Article","fieldsOfStudy":null,"isOpenAccess":false,"openAccessPdf":"https://www.ncbi.nlm.nih.gov/pmc/articles/PMC11605756/pdf/","citationCount":"0","resultStr":null,"platform":"Semanticscholar","paperid":null,"PeriodicalName":"Journal of Feline Medicine and Surgery Open Reports","FirstCategoryId":"1085","ListUrlMain":"https://doi.org/10.1177/20551169241288447","RegionNum":0,"RegionCategory":null,"ArticlePicture":[],"TitleCN":null,"AbstractTextCN":null,"PMCID":null,"EPubDate":"2024/7/1 0:00:00","PubModel":"eCollection","JCR":"Q3","JCRName":"VETERINARY SCIENCES","Score":null,"Total":0}
引用次数: 0

Abstract

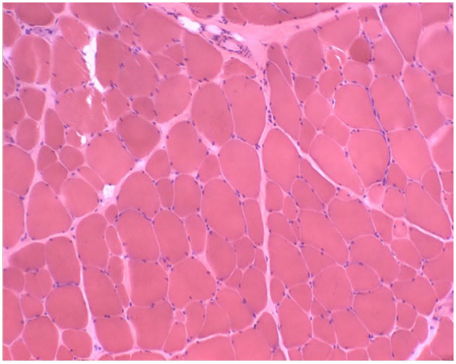
Case summary: A 2-year-old female intact domestic shorthair cat was referred to the neurology service at the Foster Hospital for Small Animals as a result of lifelong weakness, seizure-like episodes after excitement, muscle spasms, stiffness of the limbs and shortness of breath. A diagnosis of myotonia congenita (MC) was made based on compatible history, clinical signs and electromyography findings, and excluding other causes of muscle weakness using muscle biopsy, baseline bloodwork and echocardiography. Initial treatment with procainamide had overall low efficacy. The cat was then switched to carbamazepine, which provided long-term improvement in clinical signs at a dosage of 7.4 mg/kg PO q12h with no observed clinical side effects.

Relevance and novel information: To date, there is only a single case report describing the successful treatment of MC in cats, and no report describing the use of carbamazepine to treat this condition in this species. This anti-convulsant medication was shown to be anecdotally effective in the case reported. Further research is needed to categorize the metabolism, pharmacokinetics, tolerance, dose range and efficacy of carbamazepine in cats with and without MC.

Abstract Image

Abstract Image

Abstract Image

卡马西平治疗猫先天性肌强直。
病例总结:一只2岁的雌性完整家养短毛猫被送到福斯特小动物医院的神经内科,原因是终生虚弱,兴奋后癫痫样发作,肌肉痉挛,四肢僵硬和呼吸短促。诊断先天性肌强直(MC)是基于相容的病史、临床体征和肌电图结果,并排除其他原因的肌肉活检、基线血液检查和超声心动图。普鲁卡因胺初始治疗总体疗效较低。然后将猫切换到卡马西平,在7.4 mg/kg PO q12h的剂量下,临床症状得到长期改善,没有观察到临床副作用。相关性和新信息:迄今为止,只有一个病例报告描述了猫MC的成功治疗,没有报告描述使用卡马西平治疗这种疾病。这种抗惊厥药物被证明是轶事有效的情况下报道。卡马西平在患有和不患有MC的猫体内的代谢、药代动力学、耐受性、剂量范围和疗效有待进一步研究。
本文章由计算机程序翻译,如有差异,请以英文原文为准。
求助全文
约1分钟内获得全文 求助全文
来源期刊
CiteScore
1.30
自引率
14.30%
发文量
57
审稿时长
15 weeks
×
引用
GB/T 7714-2015
复制
MLA
复制
APA
复制
导出至
BibTeX EndNote RefMan NoteFirst NoteExpress
×
提示
您的信息不完整,为了账户安全,请先补充。
现在去补充
×
提示
您因"违规操作"
具体请查看互助需知
我知道了
×
提示
确定
请完成安全验证×
copy
已复制链接
快去分享给好友吧!
我知道了
右上角分享
点击右上角分享
0
联系我们:info@booksci.cn Book学术提供免费学术资源搜索服务,方便国内外学者检索中英文文献。致力于提供最便捷和优质的服务体验。 Copyright © 2023 布克学术 All rights reserved.
京ICP备2023020795号-1
ghs 京公网安备 11010802042870号
Book学术文献互助
Book学术文献互助群
群 号:604180095
Book学术官方微信