Chandelier retroillumination-assisted cataract surgery in two cases of congenital aniridia with severe aniridia-associated keratopathy: case series.

IF 2.3 Q2 OPHTHALMOLOGY
Therapeutic Advances in Ophthalmology Pub Date : 2024-11-28 eCollection Date: 2024-01-01 DOI:10.1177/25158414241302879
Joseph Hu, Chao-Chien Hu
{"title":"Chandelier retroillumination-assisted cataract surgery in two cases of congenital aniridia with severe aniridia-associated keratopathy: case series.","authors":"Joseph Hu, Chao-Chien Hu","doi":"10.1177/25158414241302879","DOIUrl":null,"url":null,"abstract":"<p><p>Congenital aniridia is a rare genetic eye disorder often associated with PAX6 gene mutations, leading to complex ocular manifestations, including aniridia-associated keratopathy (AAK) and cataracts. The surgical management of cataracts in these patients is particularly challenging due to severe corneal opacities, which obscure key surgical steps such as capsulorhexis and phacoemulsification. This report presents two cases of congenital aniridia with severe AAK, in which chandelier retroillumination-assisted cataract surgery was employed. This technique, typically used in vitreous surgery, provided enhanced visualization of the lens through posterior segment illumination, facilitating successful cataract extraction and intraocular lens implantation. Both patients showed significant postoperative improvement in visual acuity. These cases demonstrate the feasibility and effectiveness of chandelier retroillumination-assisted cataract surgery in patients with congenital aniridia complicated by severe corneal opacity.</p>","PeriodicalId":23054,"journal":{"name":"Therapeutic Advances in Ophthalmology","volume":"16 ","pages":"25158414241302879"},"PeriodicalIF":2.3000,"publicationDate":"2024-11-28","publicationTypes":"Journal Article","fieldsOfStudy":null,"isOpenAccess":false,"openAccessPdf":"https://www.ncbi.nlm.nih.gov/pmc/articles/PMC11605765/pdf/","citationCount":"0","resultStr":null,"platform":"Semanticscholar","paperid":null,"PeriodicalName":"Therapeutic Advances in Ophthalmology","FirstCategoryId":"1085","ListUrlMain":"https://doi.org/10.1177/25158414241302879","RegionNum":0,"RegionCategory":null,"ArticlePicture":[],"TitleCN":null,"AbstractTextCN":null,"PMCID":null,"EPubDate":"2024/1/1 0:00:00","PubModel":"eCollection","JCR":"Q2","JCRName":"OPHTHALMOLOGY","Score":null,"Total":0}
引用次数: 0

Abstract

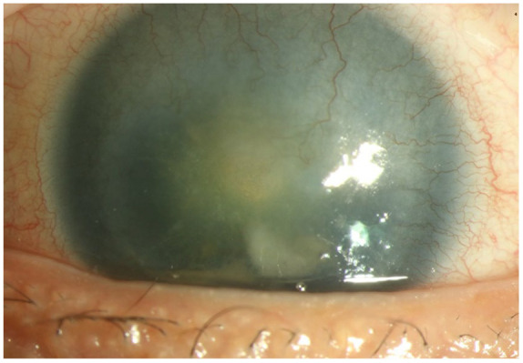
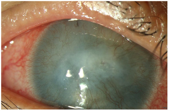
Congenital aniridia is a rare genetic eye disorder often associated with PAX6 gene mutations, leading to complex ocular manifestations, including aniridia-associated keratopathy (AAK) and cataracts. The surgical management of cataracts in these patients is particularly challenging due to severe corneal opacities, which obscure key surgical steps such as capsulorhexis and phacoemulsification. This report presents two cases of congenital aniridia with severe AAK, in which chandelier retroillumination-assisted cataract surgery was employed. This technique, typically used in vitreous surgery, provided enhanced visualization of the lens through posterior segment illumination, facilitating successful cataract extraction and intraocular lens implantation. Both patients showed significant postoperative improvement in visual acuity. These cases demonstrate the feasibility and effectiveness of chandelier retroillumination-assisted cataract surgery in patients with congenital aniridia complicated by severe corneal opacity.

Abstract Image

Abstract Image

Abstract Image

吊灯后照辅助白内障手术治疗先天性无虹膜伴严重无虹膜相关性角膜病变2例。
先天性无虹膜是一种罕见的遗传性眼病,通常与PAX6基因突变有关,导致复杂的眼部表现,包括无虹膜相关性角膜病变(AAK)和白内障。由于严重的角膜混浊,这些患者的白内障手术治疗尤其具有挑战性,这使得关键的手术步骤如撕囊和超声乳化手术变得模糊。本文报告了两例先天性无虹膜伴严重AAK的病例,其中采用了吊灯后照辅助白内障手术。该技术通常用于玻璃体手术,通过后段照明增强晶状体的可视性,促进白内障摘除和人工晶状体植入术的成功。两例患者术后视力均有明显改善。这些病例证明了吊灯后照辅助白内障手术治疗先天性无虹膜合并严重角膜混浊的可行性和有效性。
本文章由计算机程序翻译,如有差异,请以英文原文为准。
求助全文
约1分钟内获得全文 求助全文
来源期刊
CiteScore
4.50
自引率
0.00%
发文量
44
审稿时长
12 weeks
×
引用
GB/T 7714-2015
复制
MLA
复制
APA
复制
导出至
BibTeX EndNote RefMan NoteFirst NoteExpress
×
提示
您的信息不完整,为了账户安全,请先补充。
现在去补充
×
提示
您因"违规操作"
具体请查看互助需知
我知道了
×
提示
确定
请完成安全验证×
copy
已复制链接
快去分享给好友吧!
我知道了
右上角分享
点击右上角分享
0
联系我们:info@booksci.cn Book学术提供免费学术资源搜索服务,方便国内外学者检索中英文文献。致力于提供最便捷和优质的服务体验。 Copyright © 2023 布克学术 All rights reserved.
京ICP备2023020795号-1
ghs 京公网安备 11010802042870号
Book学术文献互助
Book学术文献互助群
群 号:604180095
Book学术官方微信