Degradation Pattern of a Biodegradable and Photocurable Sealants Based on Hyaluronic Acid : A Serial Magnetic Resonance Imaging Observational Study in Rat Craniectomy Model.

IF 1.7 4区 医学 Q4 CLINICAL NEUROLOGY
Journal of Korean Neurosurgical Society Pub Date : 2025-07-01 Epub Date: 2024-12-03 DOI:10.3340/jkns.2024.0138
Hyeseon Lee, Sijoon Lee, Seung Yun Yang, Dong Hwan Kim, Mahnjeong Ha, Kyoung Hyup Nam
{"title":"Degradation Pattern of a Biodegradable and Photocurable Sealants Based on Hyaluronic Acid : A Serial Magnetic Resonance Imaging Observational Study in Rat Craniectomy Model.","authors":"Hyeseon Lee, Sijoon Lee, Seung Yun Yang, Dong Hwan Kim, Mahnjeong Ha, Kyoung Hyup Nam","doi":"10.3340/jkns.2024.0138","DOIUrl":null,"url":null,"abstract":"<p><strong>Objective: </strong>The aim of this study is evaluating in vivo degradation of photocrosslinkable hyaluronic acid (HA)-based dural sealant (HA photosealant) using magnetic resonance imaging (MRI) and histopathological analysis to assess its biodegradability and effectiveness in preventing cerebrospinal fluid (CSF) leakage.</p><p><strong>Methods: </strong>HA photosealants were applied to the incised dura in a rat craniectomy and durotomy. The HA photosealant quickly sealed the wound upon low-energy visible light exposure (405 nm, <5 seconds, < 1 J/cm2). The degradation of HA photosealants was tracked through serial MRI scans at 1, 2, and 4 weeks post-application. The remaining area of HA photosealants on the dura was measured using image processing program for volumetric analysis. Additionally, histopathological analyses were performed to evaluate the biocompatibility and effectiveness of the dural repair.</p><p><strong>Results: </strong>The MRI and histopathological analyses showed that the HA photosealant achieved progressive degradation while successfully preventing CSF leakage without any adverse tissue reactions. The residual area of HA photosealants measured at 2 weeks ranged from 41.35% to 94.88%, with an average of 66.57%. At 4 weeks, a more distinct degradation pattern was observed compared to 2 weeks, showing a residual area of 10.28% to 56.11%. The HA photosealant maintained structural integrity until dural regeneration was completed.</p><p><strong>Conclusion: </strong>HA photosealant showed gradual degradation in vivo while maintaining mechanical strength until the dura was repaired for preventing CSF leakage without inflammation and toxicity. HA photosealant has great potentials for clinical application for dural repair with biodegradable properties and biocompatibility.</p>","PeriodicalId":16283,"journal":{"name":"Journal of Korean Neurosurgical Society","volume":" ","pages":"375-382"},"PeriodicalIF":1.7000,"publicationDate":"2025-07-01","publicationTypes":"Journal Article","fieldsOfStudy":null,"isOpenAccess":false,"openAccessPdf":"https://www.ncbi.nlm.nih.gov/pmc/articles/PMC12237541/pdf/","citationCount":"0","resultStr":null,"platform":"Semanticscholar","paperid":null,"PeriodicalName":"Journal of Korean Neurosurgical Society","FirstCategoryId":"3","ListUrlMain":"https://doi.org/10.3340/jkns.2024.0138","RegionNum":4,"RegionCategory":"医学","ArticlePicture":[],"TitleCN":null,"AbstractTextCN":null,"PMCID":null,"EPubDate":"2024/12/3 0:00:00","PubModel":"Epub","JCR":"Q4","JCRName":"CLINICAL NEUROLOGY","Score":null,"Total":0}
引用次数: 0

Abstract

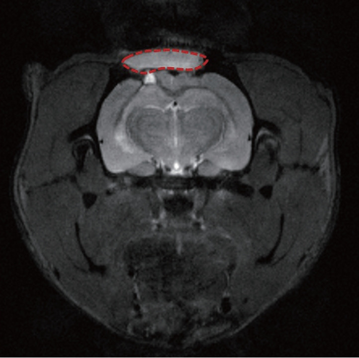
Objective: The aim of this study is evaluating in vivo degradation of photocrosslinkable hyaluronic acid (HA)-based dural sealant (HA photosealant) using magnetic resonance imaging (MRI) and histopathological analysis to assess its biodegradability and effectiveness in preventing cerebrospinal fluid (CSF) leakage.

Methods: HA photosealants were applied to the incised dura in a rat craniectomy and durotomy. The HA photosealant quickly sealed the wound upon low-energy visible light exposure (405 nm, <5 seconds, < 1 J/cm2). The degradation of HA photosealants was tracked through serial MRI scans at 1, 2, and 4 weeks post-application. The remaining area of HA photosealants on the dura was measured using image processing program for volumetric analysis. Additionally, histopathological analyses were performed to evaluate the biocompatibility and effectiveness of the dural repair.

Results: The MRI and histopathological analyses showed that the HA photosealant achieved progressive degradation while successfully preventing CSF leakage without any adverse tissue reactions. The residual area of HA photosealants measured at 2 weeks ranged from 41.35% to 94.88%, with an average of 66.57%. At 4 weeks, a more distinct degradation pattern was observed compared to 2 weeks, showing a residual area of 10.28% to 56.11%. The HA photosealant maintained structural integrity until dural regeneration was completed.

Conclusion: HA photosealant showed gradual degradation in vivo while maintaining mechanical strength until the dura was repaired for preventing CSF leakage without inflammation and toxicity. HA photosealant has great potentials for clinical application for dural repair with biodegradable properties and biocompatibility.

Abstract Image

Abstract Image

Abstract Image

基于透明质酸的可生物降解光固化密封剂的降解模式:大鼠颅骨切除术模型的一系列磁共振成像观察研究。
目的:利用磁共振成像(MRI)和组织病理学分析评估光交联透明质酸(HA)硬膜密封胶(HA光密封胶)的体内降解性,以评估其生物降解性和防止脑脊液(CSF)泄漏的有效性。方法:采用透明质酸光密封剂对大鼠开颅和硬脑膜切开的硬脑膜进行涂敷。HA光密封胶在低能量可见光(405 nm, < 5 s, < 1 J/cm2)照射下快速密封伤口。在应用后1、2和4周,通过连续MRI扫描跟踪HA光密封剂的降解。使用图像处理程序测量硬脑膜上HA光密封剂的剩余面积,进行体积分析。此外,还进行了组织病理学分析,以评估硬脑膜修复的生物相容性和有效性。结果:MRI和组织病理学分析显示,透明质酸光密封剂在成功防止脑脊液泄漏的同时实现了进行性降解,无不良组织反应。2周测定的HA光封剂残留面积范围为41.36% ~ 94.88%,平均为66.57%。第4周时,与第2周相比,观察到更明显的降解模式,残余面积为10.28%至56.12%。HA光密封剂保持结构完整性,直到硬脑膜再生完成。结论:透明质酸光密封胶在体内可逐渐降解并保持机械强度直至硬脑膜修复,可防止脑脊液渗漏,无炎症和毒性。透明质酸光密封胶具有生物可降解性和生物相容性,在硬脑膜修复中具有广阔的应用前景。
本文章由计算机程序翻译,如有差异,请以英文原文为准。
求助全文
约1分钟内获得全文 求助全文
来源期刊
CiteScore
2.90
自引率
6.20%
发文量
109
审稿时长
3-8 weeks
期刊介绍: The Journal of Korean Neurosurgical Society (J Korean Neurosurg Soc) is the official journal of the Korean Neurosurgical Society, and published bimonthly (1st day of January, March, May, July, September, and November). It launched in October 31, 1972 with Volume 1 and Number 1. J Korean Neurosurg Soc aims to allow neurosurgeons from around the world to enrich their knowledge of patient management, education, and clinical or experimental research, and hence their professionalism. This journal publishes Laboratory Investigations, Clinical Articles, Review Articles, Case Reports, Technical Notes, and Letters to the Editor. Our field of interest involves clinical neurosurgery (cerebrovascular disease, neuro-oncology, skull base neurosurgery, spine, pediatric neurosurgery, functional neurosurgery, epilepsy, neuro-trauma, and peripheral nerve disease) and laboratory work in neuroscience.
×
引用
GB/T 7714-2015
复制
MLA
复制
APA
复制
导出至
BibTeX EndNote RefMan NoteFirst NoteExpress
×
提示
您的信息不完整,为了账户安全,请先补充。
现在去补充
×
提示
您因"违规操作"
具体请查看互助需知
我知道了
×
提示
确定
请完成安全验证×
copy
已复制链接
快去分享给好友吧!
我知道了
右上角分享
点击右上角分享
0
联系我们:info@booksci.cn Book学术提供免费学术资源搜索服务,方便国内外学者检索中英文文献。致力于提供最便捷和优质的服务体验。 Copyright © 2023 布克学术 All rights reserved.
京ICP备2023020795号-1
ghs 京公网安备 11010802042870号
Book学术文献互助
Book学术文献互助群
群 号:604180095
Book学术官方微信