An Interesting Case of Hemophagocytic Lymphohistiocytosis in a Postpartum Female With Recent COVID-19 Vaccination.

IF 0.7 Q3 MEDICINE, GENERAL & INTERNAL
Case Reports in Medicine Pub Date : 2024-11-25 eCollection Date: 2024-01-01 DOI:10.1155/carm/1876178
John Patresan, Amardeep Kalsi, Perry Cook
{"title":"An Interesting Case of Hemophagocytic Lymphohistiocytosis in a Postpartum Female With Recent COVID-19 Vaccination.","authors":"John Patresan, Amardeep Kalsi, Perry Cook","doi":"10.1155/carm/1876178","DOIUrl":null,"url":null,"abstract":"<p><p>Hemophagocytic lymphohistiocytosis is a life-threatening cryptogenic inflammatory process. In some cases, the etiology is obscure, while in others multiple potential etiologies may be present. Diagnosis relies on observed findings rather than context.</p>","PeriodicalId":9627,"journal":{"name":"Case Reports in Medicine","volume":"2024 ","pages":"1876178"},"PeriodicalIF":0.7000,"publicationDate":"2024-11-25","publicationTypes":"Journal Article","fieldsOfStudy":null,"isOpenAccess":false,"openAccessPdf":"https://www.ncbi.nlm.nih.gov/pmc/articles/PMC11614505/pdf/","citationCount":"0","resultStr":null,"platform":"Semanticscholar","paperid":null,"PeriodicalName":"Case Reports in Medicine","FirstCategoryId":"1085","ListUrlMain":"https://doi.org/10.1155/carm/1876178","RegionNum":0,"RegionCategory":null,"ArticlePicture":[],"TitleCN":null,"AbstractTextCN":null,"PMCID":null,"EPubDate":"2024/1/1 0:00:00","PubModel":"eCollection","JCR":"Q3","JCRName":"MEDICINE, GENERAL & INTERNAL","Score":null,"Total":0}
引用次数: 0

Abstract

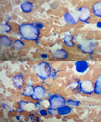
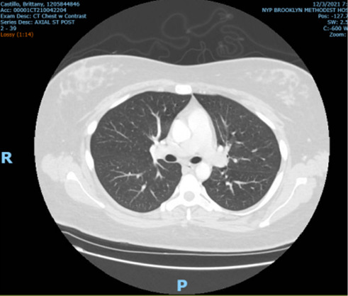
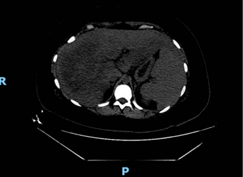
Hemophagocytic lymphohistiocytosis is a life-threatening cryptogenic inflammatory process. In some cases, the etiology is obscure, while in others multiple potential etiologies may be present. Diagnosis relies on observed findings rather than context.

Abstract Image

Abstract Image

Abstract Image

最近接种COVID-19疫苗的产后女性发生噬血细胞性淋巴组织细胞增多症的有趣病例
噬血细胞性淋巴组织细胞增多症是一种危及生命的隐源性炎症过程。在一些病例中,病因不明,而在其他情况下,可能存在多种潜在的病因。诊断依赖于观察到的结果,而不是背景。
本文章由计算机程序翻译,如有差异,请以英文原文为准。
求助全文
约1分钟内获得全文 求助全文
来源期刊
Case Reports in Medicine
Case Reports in Medicine MEDICINE, GENERAL & INTERNAL-
CiteScore
1.70
自引率
0.00%
发文量
53
审稿时长
13 weeks
×
引用
GB/T 7714-2015
复制
MLA
复制
APA
复制
导出至
BibTeX EndNote RefMan NoteFirst NoteExpress
×
提示
您的信息不完整,为了账户安全,请先补充。
现在去补充
×
提示
您因"违规操作"
具体请查看互助需知
我知道了
×
提示
确定
请完成安全验证×
copy
已复制链接
快去分享给好友吧!
我知道了
右上角分享
点击右上角分享
0
联系我们:info@booksci.cn Book学术提供免费学术资源搜索服务,方便国内外学者检索中英文文献。致力于提供最便捷和优质的服务体验。 Copyright © 2023 布克学术 All rights reserved.
京ICP备2023020795号-1
ghs 京公网安备 11010802042870号
Book学术文献互助
Book学术文献互助群
群 号:604180095
Book学术官方微信