Aspergillus Tracheobronchitis With Mediastinal Lymphadenopathy in a Patient With Well-Controlled HIV Infection.

IF 0.8 Q4 INFECTIOUS DISEASES
Case Reports in Infectious Diseases Pub Date : 2024-11-26 eCollection Date: 2024-01-01 DOI:10.1155/crdi/9748358
Ekachai Singhatiraj, Korsin Tiengburanatarm, Krit Pongpirul
{"title":"<i>Aspergillus</i> Tracheobronchitis With Mediastinal Lymphadenopathy in a Patient With Well-Controlled HIV Infection.","authors":"Ekachai Singhatiraj, Korsin Tiengburanatarm, Krit Pongpirul","doi":"10.1155/crdi/9748358","DOIUrl":null,"url":null,"abstract":"<p><p><b>Background:</b> <i>Aspergillus</i> tracheobronchitis (AT) is an uncommon yet severe form of invasive pulmonary aspergillosis, with a notably low incidence among individuals living with HIV infection-accounting for merely 4.5% (7 out of 156 cases) in recent reviews. The advent of modern antiretroviral therapy (ART) has significantly altered the landscape of opportunistic infections in HIV, rendering conditions like AT rare in well-controlled cases. <b>Case Presentation:</b> We present the case of a woman in her mid-20s with well-managed HIV infection who experienced a 4-week history of fever and dyspnea. Diagnostic procedures, including bronchoscopy, revealed granulation tissue obstructing her right main bronchus. Cultures confirmed infection with <i>Aspergillus fumigatus</i>, leading to a diagnosis of AT. Despite initial positive response to voriconazole treatment, the patient developed severe hemoptysis and unfortunately succumbed to the complication. <b>Conclusion:</b> This case underscores the critical need for healthcare providers to consider AT in the differential diagnosis of respiratory symptoms in HIV-positive patients, even when HIV is well-controlled with ART. Early recognition and prompt antifungal therapy are essential for improving outcomes. Clinicians should remain vigilant for severe complications like hemoptysis, which can occur despite appropriate therapy. This report highlights the ongoing necessity for vigilance and proactive intervention in the care of individuals living with HIV.</p>","PeriodicalId":9608,"journal":{"name":"Case Reports in Infectious Diseases","volume":"2024 ","pages":"9748358"},"PeriodicalIF":0.8000,"publicationDate":"2024-11-26","publicationTypes":"Journal Article","fieldsOfStudy":null,"isOpenAccess":false,"openAccessPdf":"https://www.ncbi.nlm.nih.gov/pmc/articles/PMC11614518/pdf/","citationCount":"0","resultStr":null,"platform":"Semanticscholar","paperid":null,"PeriodicalName":"Case Reports in Infectious Diseases","FirstCategoryId":"1085","ListUrlMain":"https://doi.org/10.1155/crdi/9748358","RegionNum":0,"RegionCategory":null,"ArticlePicture":[],"TitleCN":null,"AbstractTextCN":null,"PMCID":null,"EPubDate":"2024/1/1 0:00:00","PubModel":"eCollection","JCR":"Q4","JCRName":"INFECTIOUS DISEASES","Score":null,"Total":0}
引用次数: 0

Abstract

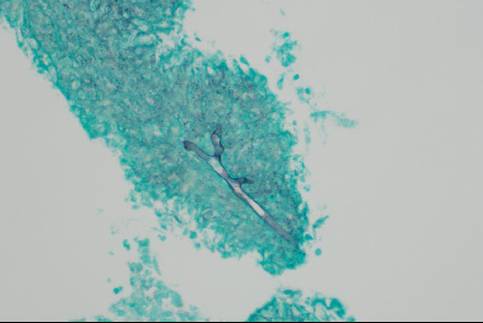
Background: Aspergillus tracheobronchitis (AT) is an uncommon yet severe form of invasive pulmonary aspergillosis, with a notably low incidence among individuals living with HIV infection-accounting for merely 4.5% (7 out of 156 cases) in recent reviews. The advent of modern antiretroviral therapy (ART) has significantly altered the landscape of opportunistic infections in HIV, rendering conditions like AT rare in well-controlled cases. Case Presentation: We present the case of a woman in her mid-20s with well-managed HIV infection who experienced a 4-week history of fever and dyspnea. Diagnostic procedures, including bronchoscopy, revealed granulation tissue obstructing her right main bronchus. Cultures confirmed infection with Aspergillus fumigatus, leading to a diagnosis of AT. Despite initial positive response to voriconazole treatment, the patient developed severe hemoptysis and unfortunately succumbed to the complication. Conclusion: This case underscores the critical need for healthcare providers to consider AT in the differential diagnosis of respiratory symptoms in HIV-positive patients, even when HIV is well-controlled with ART. Early recognition and prompt antifungal therapy are essential for improving outcomes. Clinicians should remain vigilant for severe complications like hemoptysis, which can occur despite appropriate therapy. This report highlights the ongoing necessity for vigilance and proactive intervention in the care of individuals living with HIV.

Abstract Image

Abstract Image

Abstract Image

曲霉菌性气管支气管炎伴纵隔淋巴结病的HIV感染控制良好的患者。
背景:曲霉菌性气管支气管炎(AT)是一种罕见但严重的侵袭性肺曲霉菌病,在HIV感染者中的发病率非常低,在最近的综述中仅占4.5%(156例中有7例)。现代抗逆转录病毒疗法(ART)的出现极大地改变了艾滋病毒机会性感染的情况,使像AT这样的情况在控制良好的病例中变得罕见。病例介绍:我们提出的情况下,一名妇女在她的25岁中期与良好的管理艾滋病毒感染谁经历了4周的发烧和呼吸困难的历史。包括支气管镜检查在内的诊断程序显示肉芽组织阻塞了她的右主支气管。培养证实了烟曲霉感染,导致诊断为AT。尽管最初对伏立康唑治疗有积极反应,但患者出现严重咯血,不幸死于并发症。结论:本病例强调了卫生保健提供者在艾滋病毒阳性患者的呼吸道症状鉴别诊断中考虑抗逆转录病毒治疗的迫切需要,即使艾滋病毒通过抗逆转录病毒治疗得到了很好的控制。早期识别和及时的抗真菌治疗对改善预后至关重要。临床医生应该对咯血等严重并发症保持警惕,尽管进行了适当的治疗,咯血仍可能发生。本报告强调,在护理艾滋病毒感染者方面,始终有必要保持警惕和积极干预。
本文章由计算机程序翻译,如有差异,请以英文原文为准。
求助全文
约1分钟内获得全文 求助全文
来源期刊
自引率
0.00%
发文量
64
审稿时长
13 weeks
×
引用
GB/T 7714-2015
复制
MLA
复制
APA
复制
导出至
BibTeX EndNote RefMan NoteFirst NoteExpress
×
提示
您的信息不完整,为了账户安全,请先补充。
现在去补充
×
提示
您因"违规操作"
具体请查看互助需知
我知道了
×
提示
确定
请完成安全验证×
copy
已复制链接
快去分享给好友吧!
我知道了
右上角分享
点击右上角分享
0
联系我们:info@booksci.cn Book学术提供免费学术资源搜索服务,方便国内外学者检索中英文文献。致力于提供最便捷和优质的服务体验。 Copyright © 2023 布克学术 All rights reserved.
京ICP备2023020795号-1
ghs 京公网安备 11010802042870号
Book学术文献互助
Book学术文献互助群
群 号:604180095
Book学术官方微信