Myointimal hyperplasia of the mesenteric veins mimicking inflammatory bowel disease in a 13-year-old patient.

JPGN reports Pub Date : 2024-10-07 eCollection Date: 2024-11-01 DOI:10.1002/jpr3.12130
Dua Abuquteish, Rose Chami, Govind B Chavhan, Thomas Walters, Iram Siddiqui
{"title":"Myointimal hyperplasia of the mesenteric veins mimicking inflammatory bowel disease in a 13-year-old patient.","authors":"Dua Abuquteish, Rose Chami, Govind B Chavhan, Thomas Walters, Iram Siddiqui","doi":"10.1002/jpr3.12130","DOIUrl":null,"url":null,"abstract":"<p><p>Idiopathic myointimal hyperplasia of the mesenteric veins (IMHMV) is a rare entity reported in adults, frequently mimicking inflammatory bowel disease (IBD). We report the first case of intestinal ischemia secondary to IMHMV presenting as IBD in a pediatric patient with Down syndrome. Chronic intestinal ischemia is rare in children, and this case emphasizes the need to consider this in the differential, when histopathology is suggestive. Clinical findings and colonoscopy in these patients may mimic IBD. The mucosal biopsies do not show classic features of IBD. Instead, there can be variable extent of mucosal changes such as dilated small capillaries in the lamina propria, edema, and early fibrosis. These changes may in fact represent early chronic ischemia. These findings should alert for vascular imaging and a full-thickness biopsy to assess submucosal and subserosal larger vessels since medium- and large-caliber veins in the colonic wall and mesentery are affected in IMHMV.</p>","PeriodicalId":501015,"journal":{"name":"JPGN reports","volume":"5 4","pages":"491-496"},"PeriodicalIF":0.0000,"publicationDate":"2024-10-07","publicationTypes":"Journal Article","fieldsOfStudy":null,"isOpenAccess":false,"openAccessPdf":"https://www.ncbi.nlm.nih.gov/pmc/articles/PMC11600357/pdf/","citationCount":"0","resultStr":null,"platform":"Semanticscholar","paperid":null,"PeriodicalName":"JPGN reports","FirstCategoryId":"1085","ListUrlMain":"https://doi.org/10.1002/jpr3.12130","RegionNum":0,"RegionCategory":null,"ArticlePicture":[],"TitleCN":null,"AbstractTextCN":null,"PMCID":null,"EPubDate":"2024/11/1 0:00:00","PubModel":"eCollection","JCR":"","JCRName":"","Score":null,"Total":0}
引用次数: 0

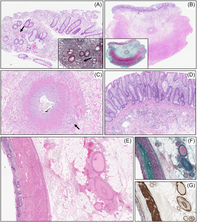
Abstract

Idiopathic myointimal hyperplasia of the mesenteric veins (IMHMV) is a rare entity reported in adults, frequently mimicking inflammatory bowel disease (IBD). We report the first case of intestinal ischemia secondary to IMHMV presenting as IBD in a pediatric patient with Down syndrome. Chronic intestinal ischemia is rare in children, and this case emphasizes the need to consider this in the differential, when histopathology is suggestive. Clinical findings and colonoscopy in these patients may mimic IBD. The mucosal biopsies do not show classic features of IBD. Instead, there can be variable extent of mucosal changes such as dilated small capillaries in the lamina propria, edema, and early fibrosis. These changes may in fact represent early chronic ischemia. These findings should alert for vascular imaging and a full-thickness biopsy to assess submucosal and subserosal larger vessels since medium- and large-caliber veins in the colonic wall and mesentery are affected in IMHMV.

Abstract Image

Abstract Image

Abstract Image

一例13岁患者的肠系膜静脉肌内膜增生与炎症性肠病相似。
特发性肠系膜静脉肌内膜增生(IMHMV)是一种罕见的成人疾病,通常与炎症性肠病(IBD)相似。我们报告了第一例继发于IMHMV的肠缺血,在患有唐氏综合征的儿童患者中表现为IBD。慢性肠道缺血在儿童中很少见,本病例强调当组织病理学提示时,需要在鉴别时考虑这一点。这些患者的临床表现和结肠镜检查可能与IBD相似。粘膜活检未显示IBD的典型特征。相反,可出现不同程度的粘膜改变,如固有层小毛细血管扩张、水肿和早期纤维化。这些变化实际上可能代表早期慢性缺血。这些发现提示血管成像和全层活检来评估粘膜下和浆膜下的大血管,因为在IMHMV中,结肠壁和肠系膜的中、大口径静脉受到影响。
本文章由计算机程序翻译,如有差异,请以英文原文为准。
求助全文
约1分钟内获得全文 求助全文
来源期刊
自引率
0.00%
发文量
0
×
引用
GB/T 7714-2015
复制
MLA
复制
APA
复制
导出至
BibTeX EndNote RefMan NoteFirst NoteExpress
×
提示
您的信息不完整,为了账户安全,请先补充。
现在去补充
×
提示
您因"违规操作"
具体请查看互助需知
我知道了
×
提示
确定
请完成安全验证×
copy
已复制链接
快去分享给好友吧!
我知道了
右上角分享
点击右上角分享
0
联系我们:info@booksci.cn Book学术提供免费学术资源搜索服务,方便国内外学者检索中英文文献。致力于提供最便捷和优质的服务体验。 Copyright © 2023 布克学术 All rights reserved.
京ICP备2023020795号-1
ghs 京公网安备 11010802042870号
Book学术文献互助
Book学术文献互助群
群 号:604180095
Book学术官方微信