Cholecystitis due to gallbladder volvulus in a child.

JPGN reports Pub Date : 2024-08-30 eCollection Date: 2024-11-01 DOI:10.1002/jpr3.12120
Christopher Prien, Olga Ostrovetsky, Graciela Wetzler, Kyle Glithero, Daniel Hechtman, Lynn Model
{"title":"Cholecystitis due to gallbladder volvulus in a child.","authors":"Christopher Prien, Olga Ostrovetsky, Graciela Wetzler, Kyle Glithero, Daniel Hechtman, Lynn Model","doi":"10.1002/jpr3.12120","DOIUrl":null,"url":null,"abstract":"<p><p>Gallbladder volvulus (GV) involves the rotation of the gallbladder along its axis, resulting in torsion. This pathology is rare, more commonly found in elderly females, but can occasionally occur in pediatric patients. Diagnosis is challenging due to often atypical symptoms, with imaging and laboratory findings typically nonspecific. Prompt surgical intervention is necessary when GV is suspected to prevent significant systemic illness. Laparoscopic cholecystectomy has proven to be safe and effective in pediatric cases. In this report, we present a pediatric case of GV, initially misdiagnosed as viral-induced acalculous cholecystitis, which was effectively managed using laparoscopic cholecystectomy.</p>","PeriodicalId":501015,"journal":{"name":"JPGN reports","volume":"5 4","pages":"528-532"},"PeriodicalIF":0.0000,"publicationDate":"2024-08-30","publicationTypes":"Journal Article","fieldsOfStudy":null,"isOpenAccess":false,"openAccessPdf":"https://www.ncbi.nlm.nih.gov/pmc/articles/PMC11600372/pdf/","citationCount":"0","resultStr":null,"platform":"Semanticscholar","paperid":null,"PeriodicalName":"JPGN reports","FirstCategoryId":"1085","ListUrlMain":"https://doi.org/10.1002/jpr3.12120","RegionNum":0,"RegionCategory":null,"ArticlePicture":[],"TitleCN":null,"AbstractTextCN":null,"PMCID":null,"EPubDate":"2024/11/1 0:00:00","PubModel":"eCollection","JCR":"","JCRName":"","Score":null,"Total":0}
引用次数: 0

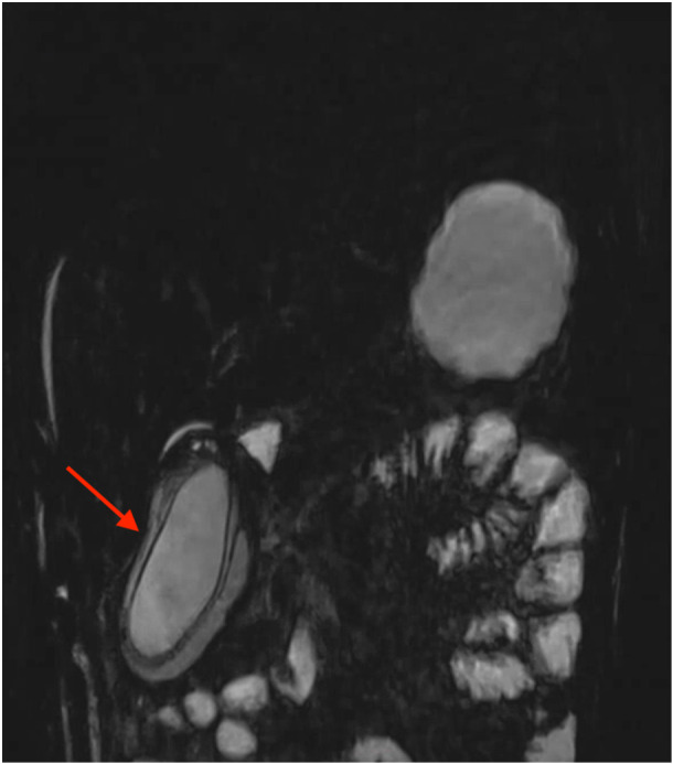
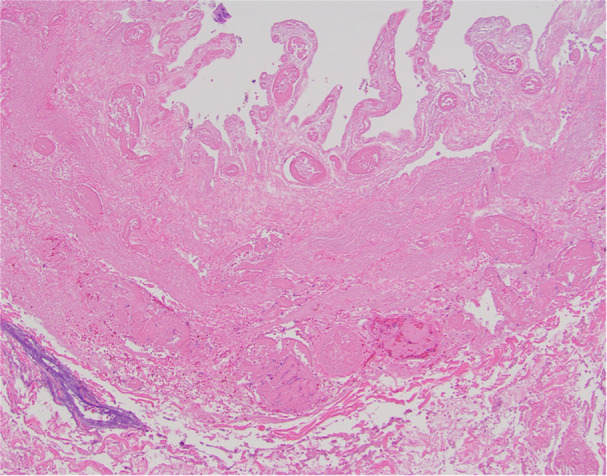
Abstract

Gallbladder volvulus (GV) involves the rotation of the gallbladder along its axis, resulting in torsion. This pathology is rare, more commonly found in elderly females, but can occasionally occur in pediatric patients. Diagnosis is challenging due to often atypical symptoms, with imaging and laboratory findings typically nonspecific. Prompt surgical intervention is necessary when GV is suspected to prevent significant systemic illness. Laparoscopic cholecystectomy has proven to be safe and effective in pediatric cases. In this report, we present a pediatric case of GV, initially misdiagnosed as viral-induced acalculous cholecystitis, which was effectively managed using laparoscopic cholecystectomy.

Abstract Image

Abstract Image

Abstract Image

儿童胆囊扭转所致胆囊炎。
胆囊扭转(GV)涉及胆囊沿其轴旋转,导致扭转。这种病理是罕见的,更常见于老年女性,但偶尔可以发生在儿科患者。由于通常不典型的症状,影像学和实验室结果通常是非特异性的,诊断是具有挑战性的。当怀疑GV时,及时手术干预是必要的,以防止重大的全身性疾病。腹腔镜胆囊切除术已被证明是安全有效的儿科病例。在本报告中,我们报告了一例小儿GV,最初误诊为病毒诱导的无结石性胆囊炎,并通过腹腔镜胆囊切除术有效地治疗。
本文章由计算机程序翻译,如有差异,请以英文原文为准。
求助全文
约1分钟内获得全文 求助全文
来源期刊
自引率
0.00%
发文量
0
×
引用
GB/T 7714-2015
复制
MLA
复制
APA
复制
导出至
BibTeX EndNote RefMan NoteFirst NoteExpress
×
提示
您的信息不完整,为了账户安全,请先补充。
现在去补充
×
提示
您因"违规操作"
具体请查看互助需知
我知道了
×
提示
确定
请完成安全验证×
copy
已复制链接
快去分享给好友吧!
我知道了
右上角分享
点击右上角分享
0
联系我们:info@booksci.cn Book学术提供免费学术资源搜索服务,方便国内外学者检索中英文文献。致力于提供最便捷和优质的服务体验。 Copyright © 2023 布克学术 All rights reserved.
京ICP备2023020795号-1
ghs 京公网安备 11010802042870号
Book学术文献互助
Book学术文献互助群
群 号:604180095
Book学术官方微信