Exploring Overlap Syndromes: An Atypical Case of Multiple Sclerosis With Anti-Sjogren's Syndrome Type B Antibody.

IF 0.9
Journal of medical cases Pub Date : 2024-12-01 Epub Date: 2024-10-30 DOI:10.14740/jmc4336
Rebecca L Shakour, Oriana Tascione, Nathan Carberry, Ramon Flores-Gonzalez
{"title":"Exploring Overlap Syndromes: An Atypical Case of Multiple Sclerosis With Anti-Sjogren's Syndrome Type B Antibody.","authors":"Rebecca L Shakour, Oriana Tascione, Nathan Carberry, Ramon Flores-Gonzalez","doi":"10.14740/jmc4336","DOIUrl":null,"url":null,"abstract":"<p><p>Evaluating patients with symptoms suggestive of demyelinating disease such as multiple sclerosis (MS) is common in both the inpatient and outpatient setting but may be difficult if atypical neurological symptoms are present. In this case, a 39-year-old female presented with new onset weakness and paresthesias. The patient reported 3 weeks of progressively worsening left face and hemibody numbness, along with gait abnormality. She was found to have absent lower extremity reflexes, unexpected imaging findings, and a positive anti-Sjogren's syndrome type B (SSB) antibody despite lacking the typical sicca symptoms associated with Sjogren's syndrome (SS). This case report underscores the diagnostic complexity of overlapping MS and SS, highlighting the need for a comprehensive differential diagnosis when atypical neurological symptoms are present. It also emphasizes the importance of considering autoimmune overlap syndromes in such cases, as the co-occurrence of these conditions can significantly impact both diagnosis and treatment strategies, requiring a multidisciplinary approach for optimal patient care.</p>","PeriodicalId":101328,"journal":{"name":"Journal of medical cases","volume":"15 12","pages":"387-395"},"PeriodicalIF":0.9000,"publicationDate":"2024-12-01","publicationTypes":"Journal Article","fieldsOfStudy":null,"isOpenAccess":false,"openAccessPdf":"https://www.ncbi.nlm.nih.gov/pmc/articles/PMC11602178/pdf/","citationCount":"0","resultStr":null,"platform":"Semanticscholar","paperid":null,"PeriodicalName":"Journal of medical cases","FirstCategoryId":"1085","ListUrlMain":"https://doi.org/10.14740/jmc4336","RegionNum":0,"RegionCategory":null,"ArticlePicture":[],"TitleCN":null,"AbstractTextCN":null,"PMCID":null,"EPubDate":"2024/10/30 0:00:00","PubModel":"Epub","JCR":"","JCRName":"","Score":null,"Total":0}
引用次数: 0

Abstract

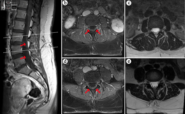
Evaluating patients with symptoms suggestive of demyelinating disease such as multiple sclerosis (MS) is common in both the inpatient and outpatient setting but may be difficult if atypical neurological symptoms are present. In this case, a 39-year-old female presented with new onset weakness and paresthesias. The patient reported 3 weeks of progressively worsening left face and hemibody numbness, along with gait abnormality. She was found to have absent lower extremity reflexes, unexpected imaging findings, and a positive anti-Sjogren's syndrome type B (SSB) antibody despite lacking the typical sicca symptoms associated with Sjogren's syndrome (SS). This case report underscores the diagnostic complexity of overlapping MS and SS, highlighting the need for a comprehensive differential diagnosis when atypical neurological symptoms are present. It also emphasizes the importance of considering autoimmune overlap syndromes in such cases, as the co-occurrence of these conditions can significantly impact both diagnosis and treatment strategies, requiring a multidisciplinary approach for optimal patient care.

Abstract Image

Abstract Image

Abstract Image

探索重叠综合征:1例非典型多发性硬化症伴抗干燥综合征B型抗体。
评估有脱髓鞘疾病症状的患者,如多发性硬化症(MS),在住院和门诊都很常见,但如果存在非典型神经系统症状,则可能很困难。在本病例中,一名39岁女性表现为新发虚弱和感觉异常。患者报告3周内左脸和半身麻木逐渐恶化,并伴有步态异常。尽管缺乏干燥综合征(SS)相关的典型干燥症状,但她发现下肢反射缺失,意想不到的影像学发现和抗干燥综合征B型(SSB)抗体阳性。本病例报告强调了多发性硬化症和多发性硬化症重叠诊断的复杂性,强调了当出现非典型神经症状时需要进行全面的鉴别诊断。它还强调了在这种情况下考虑自身免疫重叠综合征的重要性,因为这些情况的共同发生会显著影响诊断和治疗策略,需要多学科方法来优化患者护理。
本文章由计算机程序翻译,如有差异,请以英文原文为准。
求助全文
约1分钟内获得全文 求助全文
来源期刊
CiteScore
1.10
自引率
0.00%
发文量
0
×
引用
GB/T 7714-2015
复制
MLA
复制
APA
复制
导出至
BibTeX EndNote RefMan NoteFirst NoteExpress
×
提示
您的信息不完整,为了账户安全,请先补充。
现在去补充
×
提示
您因"违规操作"
具体请查看互助需知
我知道了
×
提示
确定
请完成安全验证×
copy
已复制链接
快去分享给好友吧!
我知道了
右上角分享
点击右上角分享
0
联系我们:info@booksci.cn Book学术提供免费学术资源搜索服务,方便国内外学者检索中英文文献。致力于提供最便捷和优质的服务体验。 Copyright © 2023 布克学术 All rights reserved.
京ICP备2023020795号-1
ghs 京公网安备 11010802042870号
Book学术文献互助
Book学术文献互助群
群 号:604180095
Book学术官方微信