Diffuse Type Pancreatic Ductal Adenocarcinoma: The Linitis Plastica Type of the Pancreas.

IF 0.9
Journal of medical cases Pub Date : 2024-12-01 Epub Date: 2024-11-11 DOI:10.14740/jmc5062
Mohammad Radwan, Basel Darawsha, Subhi Mansour, Safi Khuri
{"title":"Diffuse Type Pancreatic Ductal Adenocarcinoma: The Linitis Plastica Type of the Pancreas.","authors":"Mohammad Radwan, Basel Darawsha, Subhi Mansour, Safi Khuri","doi":"10.14740/jmc5062","DOIUrl":null,"url":null,"abstract":"<p><p>Pancreatic malignant tumors are diverse and characterized by aggressive nature with high mortality rates. Pancreatic ductal adenocarcinoma (PDAC) is the most common type of pancreatic malignant tumors and accounts for approximately 90% of pancreatic malignancies. A subtype of PDAC, diffuse type PDAC (DTP), is a very rare and underreported tumor, known for its aggressive traits. Although little data are available about this tumor subtype characteristics, it usually presents with distinct features that are different from the known ones in PDAC. Herein, we present a case of a 61-year-old male patient, who presented with abdominal discomfort, weight loss and newly diagnosed diabetes mellitus. An abdominal computed tomography (CT) scan showed an ill-defined mass at the uncinate process with diffuse dilatation of the main pancreatic duct. Endoscopic ultrasound (EUS)-guided fine-needle biopsy showed cellular atypia suspicious for malignancy. The patient underwent total pancreatectomy with Roux-en-Y reconstruction. His postoperative course was uneventful. The final histopathological report showed well-differentiated diffuse ductal adenocarcinoma involving the pancreatic head, neck and body.</p>","PeriodicalId":101328,"journal":{"name":"Journal of medical cases","volume":"15 12","pages":"406-410"},"PeriodicalIF":0.9000,"publicationDate":"2024-12-01","publicationTypes":"Journal Article","fieldsOfStudy":null,"isOpenAccess":false,"openAccessPdf":"https://www.ncbi.nlm.nih.gov/pmc/articles/PMC11602175/pdf/","citationCount":"0","resultStr":null,"platform":"Semanticscholar","paperid":null,"PeriodicalName":"Journal of medical cases","FirstCategoryId":"1085","ListUrlMain":"https://doi.org/10.14740/jmc5062","RegionNum":0,"RegionCategory":null,"ArticlePicture":[],"TitleCN":null,"AbstractTextCN":null,"PMCID":null,"EPubDate":"2024/11/11 0:00:00","PubModel":"Epub","JCR":"","JCRName":"","Score":null,"Total":0}
引用次数: 0

Abstract

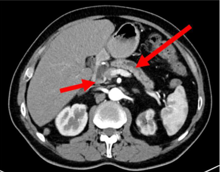
Pancreatic malignant tumors are diverse and characterized by aggressive nature with high mortality rates. Pancreatic ductal adenocarcinoma (PDAC) is the most common type of pancreatic malignant tumors and accounts for approximately 90% of pancreatic malignancies. A subtype of PDAC, diffuse type PDAC (DTP), is a very rare and underreported tumor, known for its aggressive traits. Although little data are available about this tumor subtype characteristics, it usually presents with distinct features that are different from the known ones in PDAC. Herein, we present a case of a 61-year-old male patient, who presented with abdominal discomfort, weight loss and newly diagnosed diabetes mellitus. An abdominal computed tomography (CT) scan showed an ill-defined mass at the uncinate process with diffuse dilatation of the main pancreatic duct. Endoscopic ultrasound (EUS)-guided fine-needle biopsy showed cellular atypia suspicious for malignancy. The patient underwent total pancreatectomy with Roux-en-Y reconstruction. His postoperative course was uneventful. The final histopathological report showed well-differentiated diffuse ductal adenocarcinoma involving the pancreatic head, neck and body.

Abstract Image

Abstract Image

弥漫型胰腺导管腺癌:胰腺的可塑性局限性。
胰腺恶性肿瘤种类繁多,具有侵袭性,死亡率高的特点。胰腺导管腺癌(PDAC)是最常见的胰腺恶性肿瘤,约占胰腺恶性肿瘤的90%。PDAC的一个亚型,弥漫性PDAC (DTP),是一种非常罕见且报道不足的肿瘤,以其侵袭性特征而闻名。虽然关于这种肿瘤亚型特征的资料很少,但它通常表现出与PDAC中已知的不同的明显特征。在此,我们提出一个61岁的男性病人,他表现为腹部不适,体重减轻和新诊断的糖尿病。腹部计算机断层扫描(CT)显示钩突处有一模糊肿块,伴主胰管弥漫性扩张。超声内镜下细针活检显示细胞异型,怀疑为恶性肿瘤。患者行全胰切除术并Roux-en-Y重建。他的术后过程平淡无奇。最终的组织病理学报告显示分化良好的弥漫导管腺癌累及胰腺头部、颈部和身体。
本文章由计算机程序翻译,如有差异,请以英文原文为准。
求助全文
约1分钟内获得全文 求助全文
来源期刊
CiteScore
1.10
自引率
0.00%
发文量
0
×
引用
GB/T 7714-2015
复制
MLA
复制
APA
复制
导出至
BibTeX EndNote RefMan NoteFirst NoteExpress
×
提示
您的信息不完整,为了账户安全,请先补充。
现在去补充
×
提示
您因"违规操作"
具体请查看互助需知
我知道了
×
提示
确定
请完成安全验证×
copy
已复制链接
快去分享给好友吧!
我知道了
右上角分享
点击右上角分享
0
联系我们:info@booksci.cn Book学术提供免费学术资源搜索服务,方便国内外学者检索中英文文献。致力于提供最便捷和优质的服务体验。 Copyright © 2023 布克学术 All rights reserved.
京ICP备2023020795号-1
ghs 京公网安备 11010802042870号
Book学术文献互助
Book学术文献互助群
群 号:604180095
Book学术官方微信