Gastric Schwannoma: A Rare Cause of Gastric Bleeding.

IF 0.9
Journal of medical cases Pub Date : 2024-12-01 Epub Date: 2024-10-25 DOI:10.14740/jmc4312
Daniela Pato Pais, Sara Andrade, Ines Bertao Colaco, Margarida Luis, Nuno Azenha, Ana Couceiro, Jose Valente Cecilio
{"title":"Gastric Schwannoma: A Rare Cause of Gastric Bleeding.","authors":"Daniela Pato Pais, Sara Andrade, Ines Bertao Colaco, Margarida Luis, Nuno Azenha, Ana Couceiro, Jose Valente Cecilio","doi":"10.14740/jmc4312","DOIUrl":null,"url":null,"abstract":"<p><p>Gastric schwannomas and gastrointestinal stromal tumors (GISTs) are two types of mesenchymal tumors, which represent a group of rare tumors of the gastrointestinal tract. The differential diagnosis between these two tumors is difficult given their very similar appearance and clinical features. The authors present a case of a 63-year-old man with melena and epigastric pain. An upper digestive endoscopy was performed, revealing an ulcerated gastric subepithelial lesion suspected to be a GIST. Further imaging with a computed tomography (CT) scan revealed a well-defined hypodense solid nodular mass, with homogeneous enhancement, measuring 22 × 18 mm, on the anterior wall of the transition between the body and gastric antrum, situated within the submucosal layer. The patient subsequently underwent a laparoscopic atypical gastrectomy, which proceeded without complications. The pathological examination of the excised lesion confirmed it to be a gastric schwannoma, with complete excision. This case report illustrates a rare cause of gastrointestinal bleeding, that requires immediate action, and <i>en bloc</i> resection is usually curative. Given the excellent prognosis after complete resection, a correct diagnosis is essential.</p>","PeriodicalId":101328,"journal":{"name":"Journal of medical cases","volume":"15 12","pages":"371-375"},"PeriodicalIF":0.9000,"publicationDate":"2024-12-01","publicationTypes":"Journal Article","fieldsOfStudy":null,"isOpenAccess":false,"openAccessPdf":"https://www.ncbi.nlm.nih.gov/pmc/articles/PMC11602179/pdf/","citationCount":"0","resultStr":null,"platform":"Semanticscholar","paperid":null,"PeriodicalName":"Journal of medical cases","FirstCategoryId":"1085","ListUrlMain":"https://doi.org/10.14740/jmc4312","RegionNum":0,"RegionCategory":null,"ArticlePicture":[],"TitleCN":null,"AbstractTextCN":null,"PMCID":null,"EPubDate":"2024/10/25 0:00:00","PubModel":"Epub","JCR":"","JCRName":"","Score":null,"Total":0}
引用次数: 0

Abstract

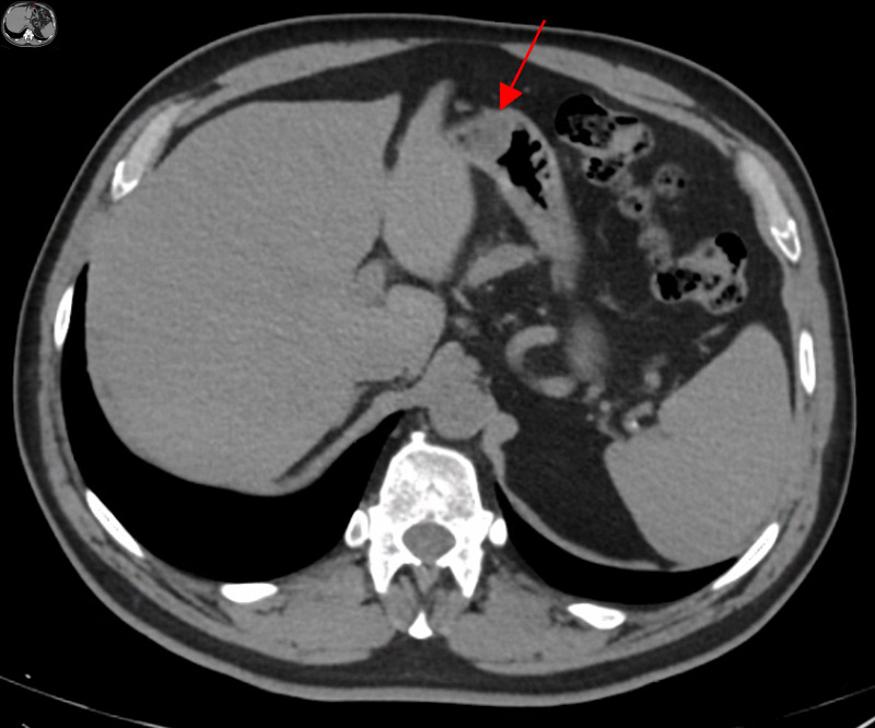
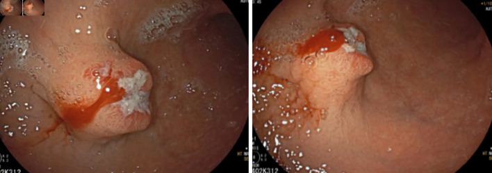
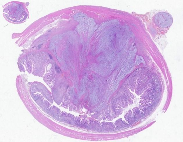
Gastric schwannomas and gastrointestinal stromal tumors (GISTs) are two types of mesenchymal tumors, which represent a group of rare tumors of the gastrointestinal tract. The differential diagnosis between these two tumors is difficult given their very similar appearance and clinical features. The authors present a case of a 63-year-old man with melena and epigastric pain. An upper digestive endoscopy was performed, revealing an ulcerated gastric subepithelial lesion suspected to be a GIST. Further imaging with a computed tomography (CT) scan revealed a well-defined hypodense solid nodular mass, with homogeneous enhancement, measuring 22 × 18 mm, on the anterior wall of the transition between the body and gastric antrum, situated within the submucosal layer. The patient subsequently underwent a laparoscopic atypical gastrectomy, which proceeded without complications. The pathological examination of the excised lesion confirmed it to be a gastric schwannoma, with complete excision. This case report illustrates a rare cause of gastrointestinal bleeding, that requires immediate action, and en bloc resection is usually curative. Given the excellent prognosis after complete resection, a correct diagnosis is essential.

Abstract Image

Abstract Image

Abstract Image

胃神经鞘瘤:胃出血的罕见原因。
胃神经鞘瘤和胃肠道间质瘤(gist)是两种间质肿瘤,代表了一组罕见的胃肠道肿瘤。这两种肿瘤的鉴别诊断是困难的,因为它们的外观和临床特征非常相似。作者提出了一例63岁的男性黑黑和胃脘痛。进行上消化道内窥镜检查,发现溃疡的胃上皮下病变怀疑是胃肠道间质瘤。进一步的计算机断层扫描(CT)显示,在身体和胃窦之间的前壁,位于粘膜下层内,有一个明确的低密度实性结节,均匀增强,大小为22 × 18 mm。患者随后接受了腹腔镜非典型胃切除术,手术无并发症。切除病变的病理检查证实为胃神经鞘瘤,并完全切除。这个病例报告说明了一个罕见的原因消化道出血,需要立即采取行动,整体切除通常是治愈的。鉴于完全切除后预后良好,正确的诊断是必不可少的。
本文章由计算机程序翻译,如有差异,请以英文原文为准。
求助全文
约1分钟内获得全文 求助全文
来源期刊
CiteScore
1.10
自引率
0.00%
发文量
0
×
引用
GB/T 7714-2015
复制
MLA
复制
APA
复制
导出至
BibTeX EndNote RefMan NoteFirst NoteExpress
×
提示
您的信息不完整,为了账户安全,请先补充。
现在去补充
×
提示
您因"违规操作"
具体请查看互助需知
我知道了
×
提示
确定
请完成安全验证×
copy
已复制链接
快去分享给好友吧!
我知道了
右上角分享
点击右上角分享
0
联系我们:info@booksci.cn Book学术提供免费学术资源搜索服务,方便国内外学者检索中英文文献。致力于提供最便捷和优质的服务体验。 Copyright © 2023 布克学术 All rights reserved.
京ICP备2023020795号-1
ghs 京公网安备 11010802042870号
Book学术文献互助
Book学术文献互助群
群 号:604180095
Book学术官方微信