Primary cutaneous aggressive epidermotropic CD8+ cytotoxic T-cell lymphoma with aberrant CD56 expression: a rare case report.

IF 1.4 4区 医学 Q3 ALLERGY
Postepy Dermatologii I Alergologii Pub Date : 2024-10-01 Epub Date: 2024-10-24 DOI:10.5114/ada.2024.144399
Shuaihantian Luo, Yingdan Chen, Guiying Zhang
{"title":"Primary cutaneous aggressive epidermotropic CD8+ cytotoxic T-cell lymphoma with aberrant CD56 expression: a rare case report.","authors":"Shuaihantian Luo, Yingdan Chen, Guiying Zhang","doi":"10.5114/ada.2024.144399","DOIUrl":null,"url":null,"abstract":"","PeriodicalId":54595,"journal":{"name":"Postepy Dermatologii I Alergologii","volume":"41 5","pages":"538-541"},"PeriodicalIF":1.4000,"publicationDate":"2024-10-01","publicationTypes":"Journal Article","fieldsOfStudy":null,"isOpenAccess":false,"openAccessPdf":"https://www.ncbi.nlm.nih.gov/pmc/articles/PMC11589629/pdf/","citationCount":"0","resultStr":null,"platform":"Semanticscholar","paperid":null,"PeriodicalName":"Postepy Dermatologii I Alergologii","FirstCategoryId":"3","ListUrlMain":"https://doi.org/10.5114/ada.2024.144399","RegionNum":4,"RegionCategory":"医学","ArticlePicture":[],"TitleCN":null,"AbstractTextCN":null,"PMCID":null,"EPubDate":"2024/10/24 0:00:00","PubModel":"Epub","JCR":"Q3","JCRName":"ALLERGY","Score":null,"Total":0}
引用次数: 0

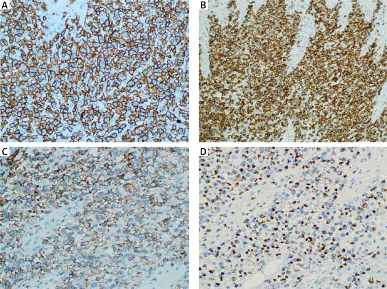
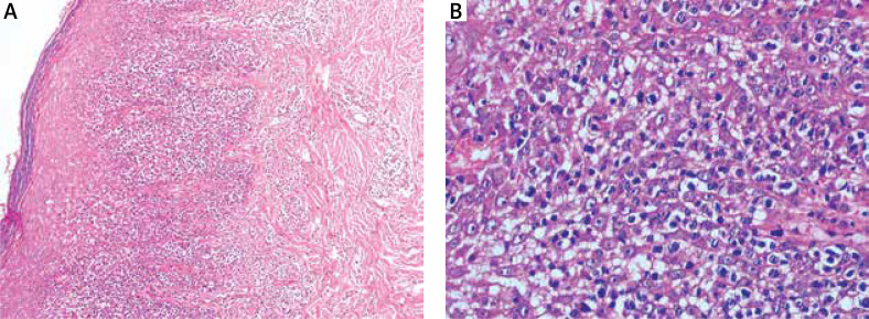
Abstract Image

Abstract Image

Abstract Image

原发性皮肤侵袭性表皮向CD8+细胞毒性T细胞淋巴瘤伴CD56异常表达:一例罕见病例报告。
本文章由计算机程序翻译,如有差异,请以英文原文为准。
求助全文
约1分钟内获得全文 求助全文
来源期刊
CiteScore
2.60
自引率
7.10%
发文量
107
审稿时长
6-12 weeks
期刊介绍: Advances in Dermatology and Allergology/Postępy Dermatologii i Alergologii is a bimonthly aimed at allergologists and dermatologists.
×
引用
GB/T 7714-2015
复制
MLA
复制
APA
复制
导出至
BibTeX EndNote RefMan NoteFirst NoteExpress
×
提示
您的信息不完整,为了账户安全,请先补充。
现在去补充
×
提示
您因"违规操作"
具体请查看互助需知
我知道了
×
提示
确定
请完成安全验证×
copy
已复制链接
快去分享给好友吧!
我知道了
右上角分享
点击右上角分享
0
联系我们:info@booksci.cn Book学术提供免费学术资源搜索服务,方便国内外学者检索中英文文献。致力于提供最便捷和优质的服务体验。 Copyright © 2023 布克学术 All rights reserved.
京ICP备2023020795号-1
ghs 京公网安备 11010802042870号
Book学术文献互助
Book学术文献互助群
群 号:604180095
Book学术官方微信