Staphylococcus aureus Dissemination Presenting With Encephalopathy and Epidural Abscess.

IF 0.8 Q4 INFECTIOUS DISEASES
Case Reports in Infectious Diseases Pub Date : 2024-11-18 eCollection Date: 2024-01-01 DOI:10.1155/crdi/6889110
Dhriti Sundar Das, Anupam Dey, Gurudip Das, Suprava Naik
{"title":"<i>Staphylococcus aureus</i> Dissemination Presenting With Encephalopathy and Epidural Abscess.","authors":"Dhriti Sundar Das, Anupam Dey, Gurudip Das, Suprava Naik","doi":"10.1155/crdi/6889110","DOIUrl":null,"url":null,"abstract":"<p><p><b>Background:</b> Staphylococcal infection is a common bacterial disease with common clinical features. Untreated infection, especially in immunosenescence cases, can affect other organs. This can lead to multiorgan dysfunction and cause increased morbidity and mortality. Unlike commonly presented features of pneumonia, dissemination of infection can pose diagnostic and therapeutic enigma. Therefore, any such presentation in common clinical practice can yield a conundrum of diagnoses. <b>Case Report:</b> A 69-year-old elderly male presented to the Emergency Department with acute onset encephalopathy. Historically, cues were limited, and evaluation was negated for acute cerebrovascular event or seizure. Laboratory findings were suggestive of a severe sepsis. While clinical medicine workup and diagnostic dilemma were ongoing, possible sources of the sepsis were thoroughly sought including range of infectious causes. This patient's presentation was one of its kind: staphylococcal bacteremia seeding to cause pneumonia and unusual epidural abscess in due course of illness. <b>Conclusion:</b> The health outcome of the critically ill especially elderly patients depends mostly on the importance of clinical medicine to address the diagnostic enigma and virtue of supportive care delivered. <i>Staphylococcus aureus</i> infections are capable of developing distant infectious foci, as highlighted in this case, and that the clinician should be alert to this possibility. This particular case firmly posits an admonition for clinicians and the importance of clinical medicine for critical reasoning to improve the patient outcome.</p>","PeriodicalId":9608,"journal":{"name":"Case Reports in Infectious Diseases","volume":"2024 ","pages":"6889110"},"PeriodicalIF":0.8000,"publicationDate":"2024-11-18","publicationTypes":"Journal Article","fieldsOfStudy":null,"isOpenAccess":false,"openAccessPdf":"https://www.ncbi.nlm.nih.gov/pmc/articles/PMC11599475/pdf/","citationCount":"0","resultStr":null,"platform":"Semanticscholar","paperid":null,"PeriodicalName":"Case Reports in Infectious Diseases","FirstCategoryId":"1085","ListUrlMain":"https://doi.org/10.1155/crdi/6889110","RegionNum":0,"RegionCategory":null,"ArticlePicture":[],"TitleCN":null,"AbstractTextCN":null,"PMCID":null,"EPubDate":"2024/1/1 0:00:00","PubModel":"eCollection","JCR":"Q4","JCRName":"INFECTIOUS DISEASES","Score":null,"Total":0}
引用次数: 0

Abstract

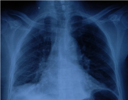
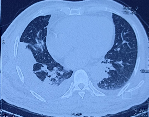
Background: Staphylococcal infection is a common bacterial disease with common clinical features. Untreated infection, especially in immunosenescence cases, can affect other organs. This can lead to multiorgan dysfunction and cause increased morbidity and mortality. Unlike commonly presented features of pneumonia, dissemination of infection can pose diagnostic and therapeutic enigma. Therefore, any such presentation in common clinical practice can yield a conundrum of diagnoses. Case Report: A 69-year-old elderly male presented to the Emergency Department with acute onset encephalopathy. Historically, cues were limited, and evaluation was negated for acute cerebrovascular event or seizure. Laboratory findings were suggestive of a severe sepsis. While clinical medicine workup and diagnostic dilemma were ongoing, possible sources of the sepsis were thoroughly sought including range of infectious causes. This patient's presentation was one of its kind: staphylococcal bacteremia seeding to cause pneumonia and unusual epidural abscess in due course of illness. Conclusion: The health outcome of the critically ill especially elderly patients depends mostly on the importance of clinical medicine to address the diagnostic enigma and virtue of supportive care delivered. Staphylococcus aureus infections are capable of developing distant infectious foci, as highlighted in this case, and that the clinician should be alert to this possibility. This particular case firmly posits an admonition for clinicians and the importance of clinical medicine for critical reasoning to improve the patient outcome.

Abstract Image

Abstract Image

Abstract Image

出现脑病和硬膜外脓肿的金黄色葡萄球菌播散。
背景:葡萄球菌感染是一种常见的细菌性疾病,具有常见的临床特征。未经治疗的感染,尤其是免疫衰竭病例,可影响其他器官。这会导致多器官功能障碍,增加发病率和死亡率。与肺炎的常见表现不同,播散性感染会给诊断和治疗带来难题。因此,在常见的临床实践中,任何此类表现都可能产生诊断难题。病例报告:一名 69 岁的老年男性因急性脑病到急诊科就诊。由于病史线索有限,无法评估急性脑血管事件或癫痫发作。实验室检查结果提示为严重败血症。在进行临床医学检查和诊断难题的同时,还彻底查找了败血症的可能来源,包括各种感染原因。这名患者的病例是独一无二的:葡萄球菌菌血症播散导致肺炎,并在病程中出现异常的硬膜外脓肿。结论危重病人尤其是老年患者的健康状况主要取决于临床医学在诊断方面的重要性,以及所提供的支持性护理。金黄色葡萄球菌感染能够形成远处感染灶,正如本病例所强调的那样,临床医生应警惕这种可能性。这一特殊病例坚定地告诫临床医生,临床医学必须进行批判性推理,以改善患者的治疗效果。
本文章由计算机程序翻译,如有差异,请以英文原文为准。
求助全文
约1分钟内获得全文 求助全文
来源期刊
自引率
0.00%
发文量
64
审稿时长
13 weeks
×
引用
GB/T 7714-2015
复制
MLA
复制
APA
复制
导出至
BibTeX EndNote RefMan NoteFirst NoteExpress
×
提示
您的信息不完整,为了账户安全,请先补充。
现在去补充
×
提示
您因"违规操作"
具体请查看互助需知
我知道了
×
提示
确定
请完成安全验证×
copy
已复制链接
快去分享给好友吧!
我知道了
右上角分享
点击右上角分享
0
联系我们:info@booksci.cn Book学术提供免费学术资源搜索服务,方便国内外学者检索中英文文献。致力于提供最便捷和优质的服务体验。 Copyright © 2023 布克学术 All rights reserved.
京ICP备2023020795号-1
ghs 京公网安备 11010802042870号
Book学术文献互助
Book学术文献互助群
群 号:604180095
Book学术官方微信