Chronic Mesenteric Ischemia after a Type A Aortic Dissection Repair.

Q3 Medicine
AORTA Pub Date : 2024-04-01 Epub Date: 2024-11-26 DOI:10.1055/s-0044-1795146
Morgan Hardman, Houssam Farres, Santh Prakash Lanka, Young Erben
{"title":"Chronic Mesenteric Ischemia after a Type A Aortic Dissection Repair.","authors":"Morgan Hardman, Houssam Farres, Santh Prakash Lanka, Young Erben","doi":"10.1055/s-0044-1795146","DOIUrl":null,"url":null,"abstract":"<p><p>A 57-year-old male patient who underwent an open hemiarch repair with a femoral-femoral crossover bypass and right lower extremity fasciotomies for an acute Type A aortic dissection with limb ischemia presented 5 weeks' postrepair with a 20-pound weight loss due to intermittent hemodynamic collapse of the dissection flap over the origin of the superior mesenteric artery. This case highlights the challenges a dissection flap can cause after an urgent Type A aortic dissection repair.</p>","PeriodicalId":52392,"journal":{"name":"AORTA","volume":" ","pages":"44-46"},"PeriodicalIF":0.0000,"publicationDate":"2024-04-01","publicationTypes":"Journal Article","fieldsOfStudy":null,"isOpenAccess":false,"openAccessPdf":"https://www.ncbi.nlm.nih.gov/pmc/articles/PMC11688145/pdf/","citationCount":"0","resultStr":null,"platform":"Semanticscholar","paperid":null,"PeriodicalName":"AORTA","FirstCategoryId":"1085","ListUrlMain":"https://doi.org/10.1055/s-0044-1795146","RegionNum":0,"RegionCategory":null,"ArticlePicture":[],"TitleCN":null,"AbstractTextCN":null,"PMCID":null,"EPubDate":"2024/11/26 0:00:00","PubModel":"Epub","JCR":"Q3","JCRName":"Medicine","Score":null,"Total":0}
引用次数: 0

Abstract

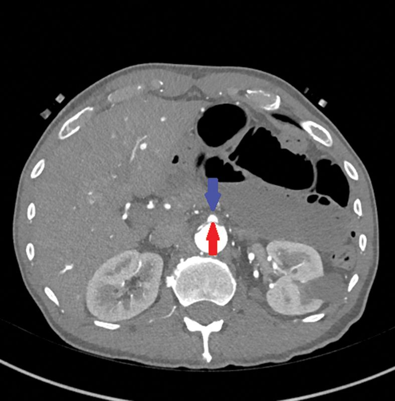
A 57-year-old male patient who underwent an open hemiarch repair with a femoral-femoral crossover bypass and right lower extremity fasciotomies for an acute Type A aortic dissection with limb ischemia presented 5 weeks' postrepair with a 20-pound weight loss due to intermittent hemodynamic collapse of the dissection flap over the origin of the superior mesenteric artery. This case highlights the challenges a dissection flap can cause after an urgent Type A aortic dissection repair.

Abstract Image

Abstract Image

Abstract Image

A 型主动脉夹层修复术后慢性肠系膜缺血。
一名 57 岁的男性患者因急性 A 型主动脉夹层伴肢体缺血接受了股股交叉旁路开放式半弓修复术和右下肢筋膜切开术,修复后 5 周,由于肠系膜上动脉起源处的夹层皮瓣间歇性血流动力学塌陷,患者体重下降了 20 磅。该病例突出说明了 A 型主动脉夹层紧急修复后夹层瓣可能带来的挑战。
本文章由计算机程序翻译,如有差异,请以英文原文为准。
求助全文
约1分钟内获得全文 求助全文
来源期刊
AORTA
AORTA Medicine-Surgery
CiteScore
1.00
自引率
0.00%
发文量
119
×
引用
GB/T 7714-2015
复制
MLA
复制
APA
复制
导出至
BibTeX EndNote RefMan NoteFirst NoteExpress
×
提示
您的信息不完整,为了账户安全,请先补充。
现在去补充
×
提示
您因"违规操作"
具体请查看互助需知
我知道了
×
提示
确定
请完成安全验证×
copy
已复制链接
快去分享给好友吧!
我知道了
右上角分享
点击右上角分享
0
联系我们:info@booksci.cn Book学术提供免费学术资源搜索服务,方便国内外学者检索中英文文献。致力于提供最便捷和优质的服务体验。 Copyright © 2023 布克学术 All rights reserved.
京ICP备2023020795号-1
ghs 京公网安备 11010802042870号
Book学术文献互助
Book学术文献互助群
群 号:604180095
Book学术官方微信