CD47 in Osteosarcoma: Correlation with Metastasis and Macrophage-Mediated Phagocytosis.

IF 5.2 2区 生物学 Q2 CELL BIOLOGY
Cells Pub Date : 2024-11-10 DOI:10.3390/cells13221862
Yunmi Ko, Seog-Yun Park, Jong Woong Park, June Hyuk Kim, Hyun Guy Kang, Jun Ah Lee
{"title":"CD47 in Osteosarcoma: Correlation with Metastasis and Macrophage-Mediated Phagocytosis.","authors":"Yunmi Ko, Seog-Yun Park, Jong Woong Park, June Hyuk Kim, Hyun Guy Kang, Jun Ah Lee","doi":"10.3390/cells13221862","DOIUrl":null,"url":null,"abstract":"<p><p>CD47 is expressed on cell surfaces and acts as a \"don't eat me\" signal by interacting with signal-regulatory protein-α on the macrophage surface. Some cancer cells express CD47 protein and can evade macrophage phagocytosis. Herein, we evaluated the feasibility of targeting CD47 for osteosarcoma by analyzing its expression patterns, clinicopathological correlations, and immunotherapeutic potential. We performed a retrospective analysis on 24 biopsy samples from patients with osteosarcoma to investigate correlations between CD47 protein positivity and clinicopathological characteristics. CD47 protein expression was detected in 20.8% of the biopsy samples. CD47 positivity correlated with metastasis at diagnosis. Patients with CD47-positive tumors were older than those with CD47-negative tumors. However, CD47 protein expression was not associated with sex, tumor size, or histologic response to preoperative chemotherapy. In vitro, CD47 antibody (B6H12) did not affect osteosarcoma cell viability or apoptosis. In a wound-healing assay, CD47 inhibited the migration of osteosarcoma cells. Differentiated macrophages exhibited higher phagocytic activity against osteosarcoma cells when pretreated with B6H12 compared with the isotype control. Our preliminary data suggest a possible interaction between CD47 protein and macrophage phagocytosis in osteosarcoma metastasis. A better understanding of the role of CD47 is necessary to develop an innovative immunotherapeutic approach against osteosarcoma.</p>","PeriodicalId":9743,"journal":{"name":"Cells","volume":"13 22","pages":""},"PeriodicalIF":5.2000,"publicationDate":"2024-11-10","publicationTypes":"Journal Article","fieldsOfStudy":null,"isOpenAccess":false,"openAccessPdf":"https://www.ncbi.nlm.nih.gov/pmc/articles/PMC11592588/pdf/","citationCount":"0","resultStr":null,"platform":"Semanticscholar","paperid":null,"PeriodicalName":"Cells","FirstCategoryId":"99","ListUrlMain":"https://doi.org/10.3390/cells13221862","RegionNum":2,"RegionCategory":"生物学","ArticlePicture":[],"TitleCN":null,"AbstractTextCN":null,"PMCID":null,"EPubDate":"","PubModel":"","JCR":"Q2","JCRName":"CELL BIOLOGY","Score":null,"Total":0}
引用次数: 0

Abstract

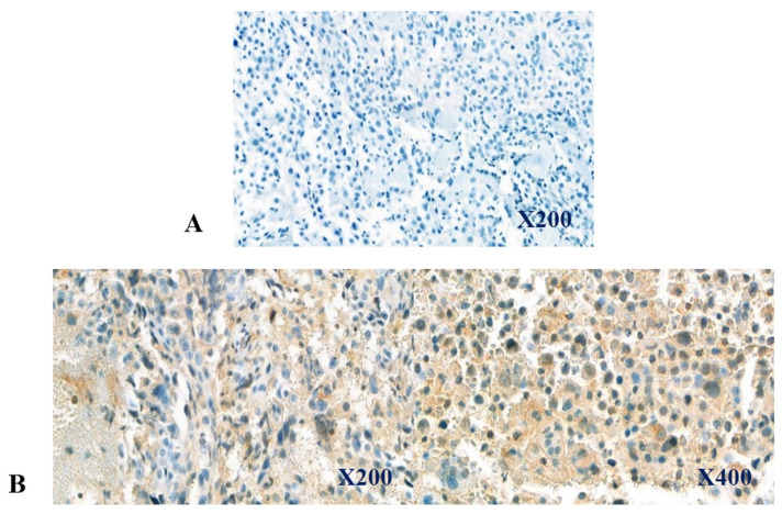
CD47 is expressed on cell surfaces and acts as a "don't eat me" signal by interacting with signal-regulatory protein-α on the macrophage surface. Some cancer cells express CD47 protein and can evade macrophage phagocytosis. Herein, we evaluated the feasibility of targeting CD47 for osteosarcoma by analyzing its expression patterns, clinicopathological correlations, and immunotherapeutic potential. We performed a retrospective analysis on 24 biopsy samples from patients with osteosarcoma to investigate correlations between CD47 protein positivity and clinicopathological characteristics. CD47 protein expression was detected in 20.8% of the biopsy samples. CD47 positivity correlated with metastasis at diagnosis. Patients with CD47-positive tumors were older than those with CD47-negative tumors. However, CD47 protein expression was not associated with sex, tumor size, or histologic response to preoperative chemotherapy. In vitro, CD47 antibody (B6H12) did not affect osteosarcoma cell viability or apoptosis. In a wound-healing assay, CD47 inhibited the migration of osteosarcoma cells. Differentiated macrophages exhibited higher phagocytic activity against osteosarcoma cells when pretreated with B6H12 compared with the isotype control. Our preliminary data suggest a possible interaction between CD47 protein and macrophage phagocytosis in osteosarcoma metastasis. A better understanding of the role of CD47 is necessary to develop an innovative immunotherapeutic approach against osteosarcoma.

Abstract Image

Abstract Image

Abstract Image

骨肉瘤中的 CD47:骨肉瘤中的 CD47:与转移和巨噬细胞介导的吞噬作用的相关性
CD47 表达于细胞表面,通过与巨噬细胞表面的信号调节蛋白-α 相互作用,发出 "别吃我 "的信号。一些癌细胞表达 CD47 蛋白,可以逃避巨噬细胞的吞噬。在此,我们通过分析 CD47 的表达模式、临床病理相关性和免疫治疗潜力,评估了针对骨肉瘤靶向 CD47 的可行性。我们对 24 例骨肉瘤患者的活检样本进行了回顾性分析,研究 CD47 蛋白阳性与临床病理特征之间的相关性。20.8%的活检样本检测到CD47蛋白表达。CD47 阳性与诊断时的转移相关。CD47阳性肿瘤患者的年龄大于CD47阴性肿瘤患者。不过,CD47蛋白的表达与性别、肿瘤大小或术前化疗的组织学反应无关。在体外,CD47抗体(B6H12)不会影响骨肉瘤细胞的活力或凋亡。在伤口愈合试验中,CD47抑制了骨肉瘤细胞的迁移。与同型对照相比,用 B6H12 预处理的分化巨噬细胞对骨肉瘤细胞表现出更高的吞噬活性。我们的初步数据表明,在骨肉瘤转移过程中,CD47 蛋白与巨噬细胞吞噬功能之间可能存在相互作用。要开发一种创新的骨肉瘤免疫治疗方法,就必须更好地了解 CD47 的作用。
本文章由计算机程序翻译,如有差异,请以英文原文为准。
求助全文
约1分钟内获得全文 求助全文
来源期刊
Cells
Cells Biochemistry, Genetics and Molecular Biology-Biochemistry, Genetics and Molecular Biology (all)
CiteScore
9.90
自引率
5.00%
发文量
3472
审稿时长
16 days
期刊介绍: Cells (ISSN 2073-4409) is an international, peer-reviewed open access journal which provides an advanced forum for studies related to cell biology, molecular biology and biophysics. It publishes reviews, research articles, communications and technical notes. Our aim is to encourage scientists to publish their experimental and theoretical results in as much detail as possible. There is no restriction on the length of the papers. Full experimental and/or methodical details must be provided.
×
引用
GB/T 7714-2015
复制
MLA
复制
APA
复制
导出至
BibTeX EndNote RefMan NoteFirst NoteExpress
×
提示
您的信息不完整,为了账户安全,请先补充。
现在去补充
×
提示
您因"违规操作"
具体请查看互助需知
我知道了
×
提示
确定
请完成安全验证×
copy
已复制链接
快去分享给好友吧!
我知道了
右上角分享
点击右上角分享
0
联系我们:info@booksci.cn Book学术提供免费学术资源搜索服务,方便国内外学者检索中英文文献。致力于提供最便捷和优质的服务体验。 Copyright © 2023 布克学术 All rights reserved.
京ICP备2023020795号-1
ghs 京公网安备 11010802042870号
Book学术文献互助
Book学术文献互助群
群 号:604180095
Book学术官方微信