Ocular Coherence Tomography Unveils Alport Syndrome: A Critical Tool in Detecting Collagen IV Nephropathies.

Case Reports in Nephrology Pub Date : 2024-11-16 eCollection Date: 2024-01-01 DOI:10.1155/crin/5087883
Abdelrahman Ibrahim, Zena Altawallbeh, Monica Patricia Revelo, Martin Gregory, Laith Al-Rabadi
{"title":"Ocular Coherence Tomography Unveils Alport Syndrome: A Critical Tool in Detecting Collagen IV Nephropathies.","authors":"Abdelrahman Ibrahim, Zena Altawallbeh, Monica Patricia Revelo, Martin Gregory, Laith Al-Rabadi","doi":"10.1155/crin/5087883","DOIUrl":null,"url":null,"abstract":"<p><p>Collagen IV pathogenic variants are present in Alport syndrome (AS) and some forms of familial focal segmental glomerulosclerosis (FSGS). These conditions pose diagnostic challenges due to overlapping clinical, histological, and genetic features. Ocular coherence tomography (OCT) has emerged as a pivotal diagnostic tool by revealing ocular manifestations characteristic of AS. Here, we present two cases initially diagnosed with primary FSGS but later found to harbor collagen IV pathogenic variants. Both cases progressed to end-stage kidney disease (ESKD) needing transplantation. OCT revealed severe temporal macular thinning consistent with AS in both cases. Our findings highlight the critical role of OCT in distinguishing the subtle differences in the presentation of collagen IV nephropathies. OCT proves valuable for clinicians, particularly when <i>COL4</i> nephropathies present ambiguous or overlapping features. In such instances, OCT serves to establish precise diagnoses, preventing unnecessary immune suppression. Therefore, incorporating OCT alongside genetic and histological evaluations is crucial for accurate diagnosis, management, and appropriate genetic counseling. Furthermore, recognizing the prevalence of AS accurately is pivotal for conducting population-based studies, which are essential for advancing our understanding of the condition, improving patient care, and informing future research initiatives.</p>","PeriodicalId":9604,"journal":{"name":"Case Reports in Nephrology","volume":"2024 ","pages":"5087883"},"PeriodicalIF":0.0000,"publicationDate":"2024-11-16","publicationTypes":"Journal Article","fieldsOfStudy":null,"isOpenAccess":false,"openAccessPdf":"https://www.ncbi.nlm.nih.gov/pmc/articles/PMC11588406/pdf/","citationCount":"0","resultStr":null,"platform":"Semanticscholar","paperid":null,"PeriodicalName":"Case Reports in Nephrology","FirstCategoryId":"1085","ListUrlMain":"https://doi.org/10.1155/crin/5087883","RegionNum":0,"RegionCategory":null,"ArticlePicture":[],"TitleCN":null,"AbstractTextCN":null,"PMCID":null,"EPubDate":"2024/1/1 0:00:00","PubModel":"eCollection","JCR":"","JCRName":"","Score":null,"Total":0}
引用次数: 0

Abstract

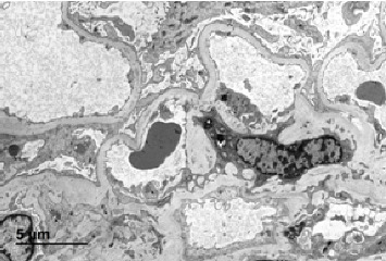
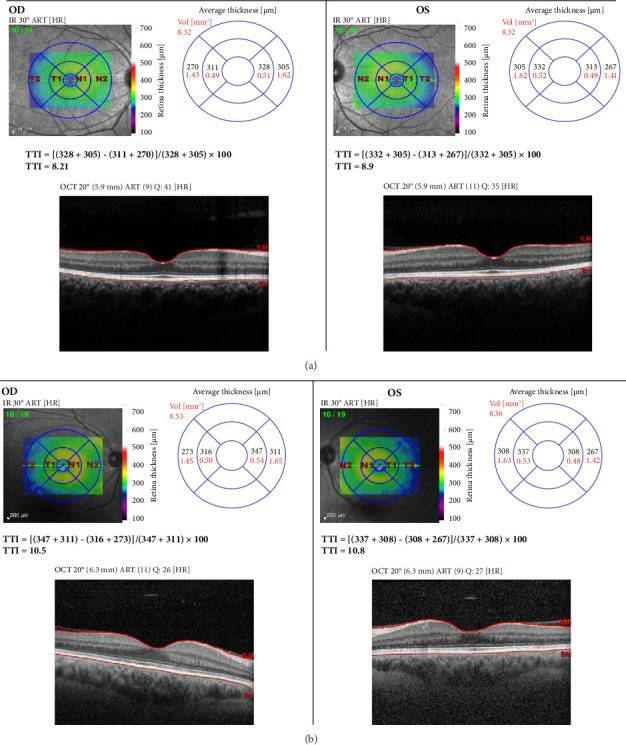
Collagen IV pathogenic variants are present in Alport syndrome (AS) and some forms of familial focal segmental glomerulosclerosis (FSGS). These conditions pose diagnostic challenges due to overlapping clinical, histological, and genetic features. Ocular coherence tomography (OCT) has emerged as a pivotal diagnostic tool by revealing ocular manifestations characteristic of AS. Here, we present two cases initially diagnosed with primary FSGS but later found to harbor collagen IV pathogenic variants. Both cases progressed to end-stage kidney disease (ESKD) needing transplantation. OCT revealed severe temporal macular thinning consistent with AS in both cases. Our findings highlight the critical role of OCT in distinguishing the subtle differences in the presentation of collagen IV nephropathies. OCT proves valuable for clinicians, particularly when COL4 nephropathies present ambiguous or overlapping features. In such instances, OCT serves to establish precise diagnoses, preventing unnecessary immune suppression. Therefore, incorporating OCT alongside genetic and histological evaluations is crucial for accurate diagnosis, management, and appropriate genetic counseling. Furthermore, recognizing the prevalence of AS accurately is pivotal for conducting population-based studies, which are essential for advancing our understanding of the condition, improving patient care, and informing future research initiatives.

Abstract Image

Abstract Image

眼相干断层扫描揭示阿尔波特综合征:检测胶原 IV 型肾病的重要工具。
Alport 综合征(AS)和某些形式的家族性局灶节段性肾小球硬化症(FSGS)中存在胶原蛋白 IV 致病变体。由于临床、组织学和遗传学特征的重叠,这些疾病给诊断带来了挑战。眼相干断层扫描(OCT)通过显示强直性脊柱炎的特征性眼部表现,已成为一种重要的诊断工具。在这里,我们介绍了两例最初被诊断为原发性 FSGS 的病例,但后来发现他们携带胶原蛋白 IV 致病变体。这两个病例均发展为终末期肾病(ESKD),需要接受移植手术。OCT 显示这两个病例的颞侧黄斑严重变薄,与 AS 一致。我们的研究结果凸显了 OCT 在区分胶原 IV 型肾病表现的细微差别方面的关键作用。OCT 对临床医生很有价值,尤其是当 COL4 肾病表现出模糊或重叠的特征时。在这种情况下,OCT 可以确定精确的诊断,避免不必要的免疫抑制。因此,将 OCT 与遗传学和组织学评估结合起来,对于准确诊断、管理和适当的遗传咨询至关重要。此外,准确认识强直性脊柱炎的发病率对于开展基于人群的研究至关重要,而这些研究对于增进我们对该疾病的了解、改善患者护理以及为未来的研究计划提供信息至关重要。
本文章由计算机程序翻译,如有差异,请以英文原文为准。
求助全文
约1分钟内获得全文 求助全文
来源期刊
Case Reports in Nephrology
Case Reports in Nephrology Medicine-Nephrology
CiteScore
1.70
自引率
0.00%
发文量
32
×
引用
GB/T 7714-2015
复制
MLA
复制
APA
复制
导出至
BibTeX EndNote RefMan NoteFirst NoteExpress
×
提示
您的信息不完整,为了账户安全,请先补充。
现在去补充
×
提示
您因"违规操作"
具体请查看互助需知
我知道了
×
提示
确定
请完成安全验证×
copy
已复制链接
快去分享给好友吧!
我知道了
右上角分享
点击右上角分享
0
联系我们:info@booksci.cn Book学术提供免费学术资源搜索服务,方便国内外学者检索中英文文献。致力于提供最便捷和优质的服务体验。 Copyright © 2023 布克学术 All rights reserved.
京ICP备2023020795号-1
ghs 京公网安备 11010802042870号
Book学术文献互助
Book学术文献互助群
群 号:604180095
Book学术官方微信