The Histopathology of Abemaciclib-Induced Interstitial Lung Disease: A First Case Report With Transbronchial Lung Cryobiopsy.

IF 1.9 Q3 ONCOLOGY
Breast Cancer : Basic and Clinical Research Pub Date : 2024-11-25 eCollection Date: 2024-01-01 DOI:10.1177/11782234241301314
Shota Kaburaki, Toru Tanaka, Akari Murata, Koichiro Kamio, Yosuke Tanaka, Yasuhiro Terasaki, Kazuo Kasahara, Masahiro Seike
{"title":"The Histopathology of Abemaciclib-Induced Interstitial Lung Disease: A First Case Report With Transbronchial Lung Cryobiopsy.","authors":"Shota Kaburaki, Toru Tanaka, Akari Murata, Koichiro Kamio, Yosuke Tanaka, Yasuhiro Terasaki, Kazuo Kasahara, Masahiro Seike","doi":"10.1177/11782234241301314","DOIUrl":null,"url":null,"abstract":"<p><p>Abemaciclib, a cyclin-dependent kinase 4/6 inhibitor, is crucial in treating hormone receptor-positive, human epidermal growth factor receptor 2-negative metastatic or recurrent breast cancer. However, its association with drug-induced interstitial lung disease (DI-ILD) is concerning. We present an 82-year-old woman with breast cancer receiving abemaciclib, who developed persistent cough and malaise. Initial diagnostics suggested pneumonia, supported by ground-glass opacities and consolidations on chest high-resolution computed tomography. Suspecting DI-ILD, a transbronchial lung cryobiopsy (TBLC) was performed, revealing fibrosing organizing pneumonia and confirming abemaciclib-induced ILD. Discontinuing abemaciclib led to significant symptom improvement, supporting the diagnosis. This case report describes the clinical presentation and diagnostic approach in a patient with suspected abemaciclib-induced ILD, including the use. To our knowledge, this is the first reported case of fibrosing organizing pneumonia as a histopathological pattern in abemaciclib-induced ILD, expanding knowledge of this therapy's pulmonary adverse events. Histopathological features included diffuse lymphocytic infiltration, polypoid intra-alveolar fibrosis, intraluminal granulation tissue plugs with dense hyalinization, hyalinized fibrotic alveolar septa lesions, and obliterative fibrotic processes affecting alveolar ducts. Our case suggests that TBLC might be useful in recognizing DI-ILD by providing detailed lung tissue examination, which can facilitate early diagnosis and guide management. Identifying fibrosing organizing pneumonia indicated a potentially corticosteroid-responsive pathology, suggesting a more favorable prognosis compared with patterns like diffuse alveolar damage. This case highlights the potential for abemaciclib-induced ILD to occur even after prolonged treatment periods, emphasizing the importance of vigilance and consideration of diagnostic intervention for patients on cyclin-dependent kinase 4/6 inhibitors presenting with respiratory symptoms. Timely recognition and appropriate management may mitigate adverse outcomes. Further studies are needed to confirm these findings and to better understand the role of TBLC and histopathological examination in diagnosing and managing abemaciclib-induced ILD.</p>","PeriodicalId":9163,"journal":{"name":"Breast Cancer : Basic and Clinical Research","volume":"18 ","pages":"11782234241301314"},"PeriodicalIF":1.9000,"publicationDate":"2024-11-25","publicationTypes":"Journal Article","fieldsOfStudy":null,"isOpenAccess":false,"openAccessPdf":"https://www.ncbi.nlm.nih.gov/pmc/articles/PMC11587177/pdf/","citationCount":"0","resultStr":null,"platform":"Semanticscholar","paperid":null,"PeriodicalName":"Breast Cancer : Basic and Clinical Research","FirstCategoryId":"1085","ListUrlMain":"https://doi.org/10.1177/11782234241301314","RegionNum":0,"RegionCategory":null,"ArticlePicture":[],"TitleCN":null,"AbstractTextCN":null,"PMCID":null,"EPubDate":"2024/1/1 0:00:00","PubModel":"eCollection","JCR":"Q3","JCRName":"ONCOLOGY","Score":null,"Total":0}
引用次数: 0

Abstract

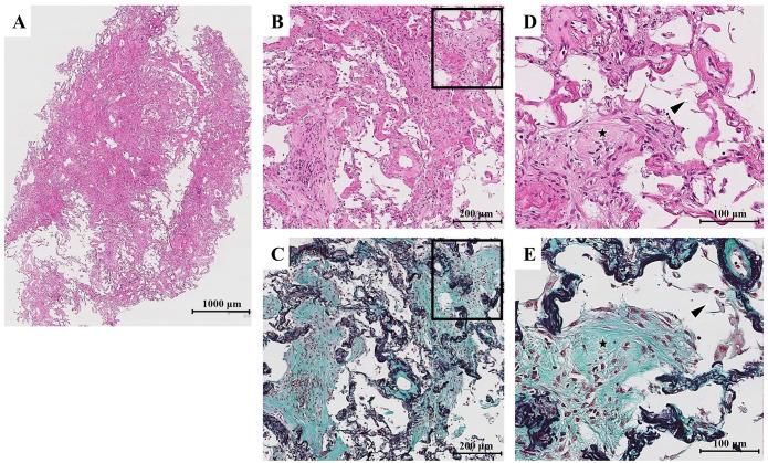
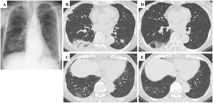
Abemaciclib, a cyclin-dependent kinase 4/6 inhibitor, is crucial in treating hormone receptor-positive, human epidermal growth factor receptor 2-negative metastatic or recurrent breast cancer. However, its association with drug-induced interstitial lung disease (DI-ILD) is concerning. We present an 82-year-old woman with breast cancer receiving abemaciclib, who developed persistent cough and malaise. Initial diagnostics suggested pneumonia, supported by ground-glass opacities and consolidations on chest high-resolution computed tomography. Suspecting DI-ILD, a transbronchial lung cryobiopsy (TBLC) was performed, revealing fibrosing organizing pneumonia and confirming abemaciclib-induced ILD. Discontinuing abemaciclib led to significant symptom improvement, supporting the diagnosis. This case report describes the clinical presentation and diagnostic approach in a patient with suspected abemaciclib-induced ILD, including the use. To our knowledge, this is the first reported case of fibrosing organizing pneumonia as a histopathological pattern in abemaciclib-induced ILD, expanding knowledge of this therapy's pulmonary adverse events. Histopathological features included diffuse lymphocytic infiltration, polypoid intra-alveolar fibrosis, intraluminal granulation tissue plugs with dense hyalinization, hyalinized fibrotic alveolar septa lesions, and obliterative fibrotic processes affecting alveolar ducts. Our case suggests that TBLC might be useful in recognizing DI-ILD by providing detailed lung tissue examination, which can facilitate early diagnosis and guide management. Identifying fibrosing organizing pneumonia indicated a potentially corticosteroid-responsive pathology, suggesting a more favorable prognosis compared with patterns like diffuse alveolar damage. This case highlights the potential for abemaciclib-induced ILD to occur even after prolonged treatment periods, emphasizing the importance of vigilance and consideration of diagnostic intervention for patients on cyclin-dependent kinase 4/6 inhibitors presenting with respiratory symptoms. Timely recognition and appropriate management may mitigate adverse outcomes. Further studies are needed to confirm these findings and to better understand the role of TBLC and histopathological examination in diagnosing and managing abemaciclib-induced ILD.

Abstract Image

Abstract Image

Abstract Image

Abemaciclib诱发间质性肺病的组织病理学:经支气管肺冷冻生物切片检查的首例病例报告
Abemaciclib是一种细胞周期蛋白依赖性激酶4/6抑制剂,在治疗激素受体阳性、人表皮生长因子受体2阴性的转移性或复发性乳腺癌中起着至关重要的作用。然而,它与药物诱发间质性肺病(DI-ILD)的关系令人担忧。我们为您介绍一位 82 岁的女性乳腺癌患者,她在接受阿巴西利(abemaciclib)治疗后出现持续咳嗽和不适。初步诊断显示为肺炎,胸部高分辨率计算机断层扫描结果显示为磨玻璃不透明和合并症。出于对 DI-ILD 的怀疑,患者接受了经支气管肺冷冻活组织检查(TBLC),结果显示为纤维组织性肺炎,并证实了阿巴西利布诱发的 ILD。停用阿巴西利后症状明显改善,为诊断提供了支持。本病例报告描述了一名疑似阿巴西利诱导的 ILD 患者的临床表现和诊断方法,包括阿巴西利的使用。据我们所知,这是首例将纤维组织化肺炎作为阿贝昔单抗诱导的ILD的组织病理学模式的报道,拓展了对该疗法肺部不良事件的认识。组织病理学特征包括弥漫性淋巴细胞浸润、肺泡内多形性纤维化、致密透明的腔内肉芽组织栓塞、透明化的纤维化肺泡间隔病变以及影响肺泡导管的闭塞性纤维化过程。我们的病例表明,TBLC 可提供详细的肺组织检查,有助于识别 DI-ILD,从而有助于早期诊断和指导治疗。识别纤维组织性肺炎表明该病理可能对皮质类固醇有反应,与弥漫性肺泡损伤等模式相比,预后更佳。本病例强调了阿贝昔单抗诱导的ILD即使在长期治疗后仍有可能发生,并强调了对出现呼吸道症状的细胞周期蛋白依赖性激酶4/6抑制剂患者保持警惕和考虑诊断干预的重要性。及时识别和适当处理可减轻不良后果。还需要进一步的研究来证实这些发现,并更好地了解TBLC和组织病理学检查在诊断和管理阿巴西利诱导的ILD中的作用。
本文章由计算机程序翻译,如有差异,请以英文原文为准。
求助全文
约1分钟内获得全文 求助全文
来源期刊
CiteScore
5.10
自引率
3.40%
发文量
22
审稿时长
8 weeks
期刊介绍: Breast Cancer: Basic and Clinical Research is an international, open access, peer-reviewed, journal which considers manuscripts on all areas of breast cancer research and treatment. We welcome original research, short notes, case studies and review articles related to breast cancer-related research. Specific areas of interest include, but are not limited to, breast cancer sub types, pathobiology, metastasis, genetics and epigenetics, mammary gland biology, breast cancer models, prevention, detection, therapy and clinical interventions, and epidemiology and population genetics.
×
引用
GB/T 7714-2015
复制
MLA
复制
APA
复制
导出至
BibTeX EndNote RefMan NoteFirst NoteExpress
×
提示
您的信息不完整,为了账户安全,请先补充。
现在去补充
×
提示
您因"违规操作"
具体请查看互助需知
我知道了
×
提示
确定
请完成安全验证×
copy
已复制链接
快去分享给好友吧!
我知道了
右上角分享
点击右上角分享
0
联系我们:info@booksci.cn Book学术提供免费学术资源搜索服务,方便国内外学者检索中英文文献。致力于提供最便捷和优质的服务体验。 Copyright © 2023 布克学术 All rights reserved.
京ICP备2023020795号-1
ghs 京公网安备 11010802042870号
Book学术文献互助
Book学术文献互助群
群 号:604180095
Book学术官方微信