An unusual finding of schwannoma in the mammary gland of a dog.

IF 0.8 4区 农林科学 Q3 VETERINARY SCIENCES
Veterinarni Medicina Pub Date : 2024-10-30 eCollection Date: 2024-10-01 DOI:10.17221/41/2024-VETMED
Maria Makovicka, Peter Bolgac, Karol Kajo, Peter Makovicky, Pavol Svorc
{"title":"An unusual finding of schwannoma in the mammary gland of a dog.","authors":"Maria Makovicka, Peter Bolgac, Karol Kajo, Peter Makovicky, Pavol Svorc","doi":"10.17221/41/2024-VETMED","DOIUrl":null,"url":null,"abstract":"<p><p>Peripheral nerve sheath tumours (PNSTs) are rare in the mammary glands of dogs. Here, we report a case of a schwannoma, composed of two parts, of the mammary gland of a dog. The first part consists of clusters of uncircumscribed, alternating, more concentrated and looser regions. In the more concentrated parts, typical fascicularly arranged schwannoma intermingle in plexiform arrangement, more subtle in appearance than in neuronal tumour areas. The second part undergoes regression consisting predominantly of residual shorter rosettes of cells with the presence of a peculiar variably sized swirling of target-like formations consisting of compact, thicker, pinkish lamellae also with occasional adjacent cells. Immunohistochemically, the tumour cells are positive for evidence of vimentin and neuro-specific enolase. They exhibit the variable expression of the S-100 protein, show mild CD56 positivity, and focally mildly accentuated proliferative activity as assessed by Ki-67. The tumour elements are negative for evidence of cytokeratin 7, cytokeratin 20, and oestrogen receptors. Hybrid tumours may change their morphology in combination with atypical localisation and may be underdiagnosed in veterinary biopsy practice. They differ from epithelial tumours prognostically, as well as in their development and behaviour, therefore it is essential to clearly differentiate them.</p>","PeriodicalId":23532,"journal":{"name":"Veterinarni Medicina","volume":"69 10","pages":"362-368"},"PeriodicalIF":0.8000,"publicationDate":"2024-10-30","publicationTypes":"Journal Article","fieldsOfStudy":null,"isOpenAccess":false,"openAccessPdf":"https://www.ncbi.nlm.nih.gov/pmc/articles/PMC11581468/pdf/","citationCount":"0","resultStr":null,"platform":"Semanticscholar","paperid":null,"PeriodicalName":"Veterinarni Medicina","FirstCategoryId":"97","ListUrlMain":"https://doi.org/10.17221/41/2024-VETMED","RegionNum":4,"RegionCategory":"农林科学","ArticlePicture":[],"TitleCN":null,"AbstractTextCN":null,"PMCID":null,"EPubDate":"2024/10/1 0:00:00","PubModel":"eCollection","JCR":"Q3","JCRName":"VETERINARY SCIENCES","Score":null,"Total":0}
引用次数: 0

Abstract

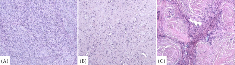
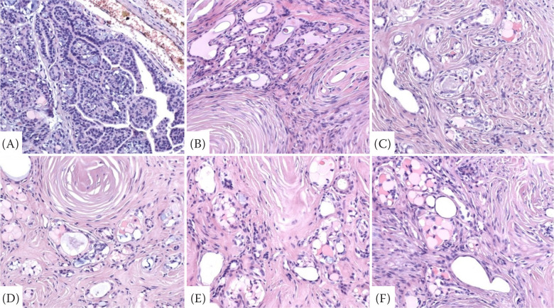
Peripheral nerve sheath tumours (PNSTs) are rare in the mammary glands of dogs. Here, we report a case of a schwannoma, composed of two parts, of the mammary gland of a dog. The first part consists of clusters of uncircumscribed, alternating, more concentrated and looser regions. In the more concentrated parts, typical fascicularly arranged schwannoma intermingle in plexiform arrangement, more subtle in appearance than in neuronal tumour areas. The second part undergoes regression consisting predominantly of residual shorter rosettes of cells with the presence of a peculiar variably sized swirling of target-like formations consisting of compact, thicker, pinkish lamellae also with occasional adjacent cells. Immunohistochemically, the tumour cells are positive for evidence of vimentin and neuro-specific enolase. They exhibit the variable expression of the S-100 protein, show mild CD56 positivity, and focally mildly accentuated proliferative activity as assessed by Ki-67. The tumour elements are negative for evidence of cytokeratin 7, cytokeratin 20, and oestrogen receptors. Hybrid tumours may change their morphology in combination with atypical localisation and may be underdiagnosed in veterinary biopsy practice. They differ from epithelial tumours prognostically, as well as in their development and behaviour, therefore it is essential to clearly differentiate them.

Abstract Image

Abstract Image

Abstract Image

一只狗的乳腺中发现了不寻常的分裂瘤。
周围神经鞘瘤(PNST)在狗的乳腺中非常罕见。在此,我们报告了一例由两部分组成的犬乳腺分裂瘤病例。第一部分由一簇簇无包膜、交替出现的较集中和较松散的区域组成。在较集中的区域,典型的束状分裂瘤以丛状排列相互交错,外观比神经元肿瘤区域更为细微。第二部分则主要由残留的较短的细胞簇组成,并出现一种奇特的大小不一的漩涡状靶样形态,由紧密、较厚、带粉红色的薄片组成,偶尔也有邻近的细胞。免疫组化显示,肿瘤细胞的波形蛋白和神经特异性烯醇化酶呈阳性。它们表现出不同的 S-100 蛋白表达,轻度 CD56 阳性,根据 Ki-67 的评估,增殖活性局部轻度增强。细胞角蛋白 7、细胞角蛋白 20 和雌激素受体均呈阴性。混合瘤的形态可能会发生变化,并伴有不典型的定位,在兽医活检实践中可能会被漏诊。混合瘤与上皮性肿瘤在预后、发展和行为上都有所不同,因此必须将它们明确区分开来。
本文章由计算机程序翻译,如有差异,请以英文原文为准。
求助全文
约1分钟内获得全文 求助全文
来源期刊
Veterinarni Medicina
Veterinarni Medicina Veterinary Sciences-兽医学
CiteScore
1.30
自引率
0.00%
发文量
62
审稿时长
18-36 weeks
期刊介绍: The journal Veterinarni Medicina publishes in English original papers, short communications, critical reviews and case reports from all fields of veterinary and biomedical sciences.
×
引用
GB/T 7714-2015
复制
MLA
复制
APA
复制
导出至
BibTeX EndNote RefMan NoteFirst NoteExpress
×
提示
您的信息不完整,为了账户安全,请先补充。
现在去补充
×
提示
您因"违规操作"
具体请查看互助需知
我知道了
×
提示
确定
请完成安全验证×
copy
已复制链接
快去分享给好友吧!
我知道了
右上角分享
点击右上角分享
0
联系我们:info@booksci.cn Book学术提供免费学术资源搜索服务,方便国内外学者检索中英文文献。致力于提供最便捷和优质的服务体验。 Copyright © 2023 布克学术 All rights reserved.
京ICP备2023020795号-1
ghs 京公网安备 11010802042870号
Book学术文献互助
Book学术文献互助群
群 号:604180095
Book学术官方微信