Adrenocortical insufficiency after bilateral adrenal hemorrhage due to anticoagulation and chronic immunothrombocytopenia.

IF 0.7 Q4 ENDOCRINOLOGY & METABOLISM
Sophie Charlotte Hintze, Felix Beuschlein
{"title":"Adrenocortical insufficiency after bilateral adrenal hemorrhage due to anticoagulation and chronic immunothrombocytopenia.","authors":"Sophie Charlotte Hintze, Felix Beuschlein","doi":"10.1530/EDM-24-0034","DOIUrl":null,"url":null,"abstract":"<p><strong>Summary: </strong>Adrenocortical insufficiency is defined as the clinical manifestation of chronic glucocorticoid and/or mineralocorticoid deficiency due to failure of the adrenal cortex. It may result in an adrenal crisis, which is a life-threatening disease; thus, prompt initiation of therapy with hydrocortisone is necessary. Symptoms such as hypotension, weight loss, or fatigue are not specific, which is why diagnosis is delayed in many cases. Our patient suffered from immune thrombocytopenia (ITP), an acquired thrombocytopenia caused by an autoimmune reaction against platelets and megakaryocytes. Primary ITP, in which no triggering cause can be identified, must be distinguished from secondary forms (e.g. in the context of systemic autoimmune diseases, lymphomas, or (rarely) by drugs). Patients may be asymptomatic at presentation or may present with a range of mild mucocutaneous to life-threatening bleeding. Here, we report on a 43-year-old woman who had developed adrenocortical insufficiency due to bilateral hemorrhage in the adrenal glands. Because of anticoagulation with phenprocoumon after pulmonary embolism and thrombocytopenia on the basis of ITP, the patient had an increased risk of bleeding. Due to the nonspecific and ambiguous symptoms of adrenocortical insufficiency, prompt diagnosis remains a challenge.</p><p><strong>Learning points: </strong>Hypocortisolism or adrenal crisis with nonspecific symptoms, especially abdominal and gastrointestinal, is often misinterpreted. Diagnosis of adrenal insufficiency is often delayed because of the initial ambiguous presentation; physicians must be aware to avoid adrenal crisis. Especially in patients with several risk factors for bleeding, unusual bleeding manifestations, such as adrenal hemorrhage, must be considered. Immediate treatment is necessary by substituting hydrocortisone in a higher dosage, and in most cases, fludrocortisone. During the course of treatment, the amount of hydrocortisone can be reduced to a substitution dosage (15-25 mg/day divided into two to three doses/day). Fludrocortisone should be continued at a dosage of 0.05-0.1 mg/day, depending on blood pressure and sodium and potassium levels. All patients should carry a medical alert notification or a steroid emergency card. In the case of trauma, surgery, or other stressful events, hydrocortisone must be administered in higher dosages (e.g. 100 mg i.v.).</p>","PeriodicalId":37467,"journal":{"name":"Endocrinology, Diabetes and Metabolism Case Reports","volume":"2024 4","pages":""},"PeriodicalIF":0.7000,"publicationDate":"2024-11-20","publicationTypes":"Journal Article","fieldsOfStudy":null,"isOpenAccess":false,"openAccessPdf":"https://www.ncbi.nlm.nih.gov/pmc/articles/PMC11623252/pdf/","citationCount":"0","resultStr":null,"platform":"Semanticscholar","paperid":null,"PeriodicalName":"Endocrinology, Diabetes and Metabolism Case Reports","FirstCategoryId":"1085","ListUrlMain":"https://doi.org/10.1530/EDM-24-0034","RegionNum":0,"RegionCategory":null,"ArticlePicture":[],"TitleCN":null,"AbstractTextCN":null,"PMCID":null,"EPubDate":"2024/10/1 0:00:00","PubModel":"Print","JCR":"Q4","JCRName":"ENDOCRINOLOGY & METABOLISM","Score":null,"Total":0}
引用次数: 0

Abstract

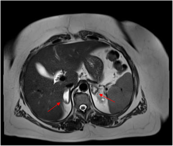
Summary: Adrenocortical insufficiency is defined as the clinical manifestation of chronic glucocorticoid and/or mineralocorticoid deficiency due to failure of the adrenal cortex. It may result in an adrenal crisis, which is a life-threatening disease; thus, prompt initiation of therapy with hydrocortisone is necessary. Symptoms such as hypotension, weight loss, or fatigue are not specific, which is why diagnosis is delayed in many cases. Our patient suffered from immune thrombocytopenia (ITP), an acquired thrombocytopenia caused by an autoimmune reaction against platelets and megakaryocytes. Primary ITP, in which no triggering cause can be identified, must be distinguished from secondary forms (e.g. in the context of systemic autoimmune diseases, lymphomas, or (rarely) by drugs). Patients may be asymptomatic at presentation or may present with a range of mild mucocutaneous to life-threatening bleeding. Here, we report on a 43-year-old woman who had developed adrenocortical insufficiency due to bilateral hemorrhage in the adrenal glands. Because of anticoagulation with phenprocoumon after pulmonary embolism and thrombocytopenia on the basis of ITP, the patient had an increased risk of bleeding. Due to the nonspecific and ambiguous symptoms of adrenocortical insufficiency, prompt diagnosis remains a challenge.

Learning points: Hypocortisolism or adrenal crisis with nonspecific symptoms, especially abdominal and gastrointestinal, is often misinterpreted. Diagnosis of adrenal insufficiency is often delayed because of the initial ambiguous presentation; physicians must be aware to avoid adrenal crisis. Especially in patients with several risk factors for bleeding, unusual bleeding manifestations, such as adrenal hemorrhage, must be considered. Immediate treatment is necessary by substituting hydrocortisone in a higher dosage, and in most cases, fludrocortisone. During the course of treatment, the amount of hydrocortisone can be reduced to a substitution dosage (15-25 mg/day divided into two to three doses/day). Fludrocortisone should be continued at a dosage of 0.05-0.1 mg/day, depending on blood pressure and sodium and potassium levels. All patients should carry a medical alert notification or a steroid emergency card. In the case of trauma, surgery, or other stressful events, hydrocortisone must be administered in higher dosages (e.g. 100 mg i.v.).

Abstract Image

Abstract Image

抗凝和慢性免疫血小板减少症导致双侧肾上腺出血后肾上腺皮质功能不全。
摘要:肾上腺皮质功能不全是指由于肾上腺皮质功能衰竭而导致的慢性糖皮质激素和/或矿质皮质激素缺乏的临床表现。肾上腺皮质功能不全可能导致肾上腺危象,这是一种危及生命的疾病;因此,必须及时开始氢化可的松治疗。低血压、体重减轻或乏力等症状并不具有特异性,这也是许多病例被延误诊断的原因。我们的患者患有免疫性血小板减少症(ITP),这是一种获得性血小板减少症,由针对血小板和巨核细胞的自身免疫反应引起。原发性免疫性血小板减少症(ITP)找不到诱因,必须与继发性免疫性血小板减少症(如全身性自身免疫性疾病、淋巴瘤或(极少数)药物引起的免疫性血小板减少症)区分开来。患者在发病时可能没有任何症状,也可能表现为从轻微的粘膜出血到危及生命的出血。在此,我们报告了一名因双侧肾上腺出血而导致肾上腺皮质功能不全的 43 岁女性患者。由于患者在肺栓塞后使用苯丙酮类药物进行抗凝治疗,并在 ITP 基础上出现血小板减少,因此出血风险增加。由于肾上腺皮质功能不全的症状非特异性且模糊不清,因此及时诊断仍是一项挑战:学习要点:皮质醇分泌过少或肾上腺危象伴有非特异性症状,尤其是腹部和胃肠道症状,常常被误诊。肾上腺功能不全的诊断往往因最初的模糊表现而被延误;医生必须注意避免肾上腺危象的发生。特别是对于有多种出血危险因素的患者,必须考虑肾上腺出血等异常出血表现。必须立即进行治疗,用更大剂量的氢化可的松替代,在大多数情况下用氟氢可的松替代。在治疗过程中,可将氢化可的松的用量减至替代剂量(15-25 毫克/天,分两至三次服用/天)。氟氢可的松的剂量应继续保持在 0.05-0.1 毫克/天,具体取决于血压和钠钾水平。所有患者都应随身携带医疗警报通知或类固醇应急卡。如果发生外伤、手术或其他应激事件,必须加大氢化可的松的用量(如 100 毫克静注)。
本文章由计算机程序翻译,如有差异,请以英文原文为准。
求助全文
约1分钟内获得全文 求助全文
来源期刊
CiteScore
1.50
自引率
0.00%
发文量
142
审稿时长
9 weeks
期刊介绍: Endocrinology, Diabetes & Metabolism Case Reports publishes case reports on common and rare conditions in all areas of clinical endocrinology, diabetes and metabolism. Articles should include clear learning points which readers can use to inform medical education or clinical practice. The types of cases of interest to Endocrinology, Diabetes & Metabolism Case Reports include: -Insight into disease pathogenesis or mechanism of therapy - Novel diagnostic procedure - Novel treatment - Unique/unexpected symptoms or presentations of a disease - New disease or syndrome: presentations/diagnosis/management - Unusual effects of medical treatment - Error in diagnosis/pitfalls and caveats
×
引用
GB/T 7714-2015
复制
MLA
复制
APA
复制
导出至
BibTeX EndNote RefMan NoteFirst NoteExpress
×
提示
您的信息不完整,为了账户安全,请先补充。
现在去补充
×
提示
您因"违规操作"
具体请查看互助需知
我知道了
×
提示
确定
请完成安全验证×
copy
已复制链接
快去分享给好友吧!
我知道了
右上角分享
点击右上角分享
0
联系我们:info@booksci.cn Book学术提供免费学术资源搜索服务,方便国内外学者检索中英文文献。致力于提供最便捷和优质的服务体验。 Copyright © 2023 布克学术 All rights reserved.
京ICP备2023020795号-1
ghs 京公网安备 11010802042870号
Book学术文献互助
Book学术文献互助群
群 号:604180095
Book学术官方微信