Outcome and Complications Following Medial Patellar Luxation Corrective Surgery with Tibial Tuberosity Transposition Using a Locking Plate and a Pin Fixation: 45 Unilateral and 20 Single-Session Bilateral Procedures.

IF 1.1 2区 农林科学 Q3 VETERINARY SCIENCES
Esa V Eskelinen, Ari P Suhonen, Juha V Virolainen, William D Liska
{"title":"Outcome and Complications Following Medial Patellar Luxation Corrective Surgery with Tibial Tuberosity Transposition Using a Locking Plate and a Pin Fixation: 45 Unilateral and 20 Single-Session Bilateral Procedures.","authors":"Esa V Eskelinen, Ari P Suhonen, Juha V Virolainen, William D Liska","doi":"10.1055/s-0044-1795087","DOIUrl":null,"url":null,"abstract":"<p><strong>Objectives: </strong> To evaluate the outcome and complications in dogs with medial patellar luxation (MPL) undergoing tibial tuberosity transposition (TTT) with a locking plate and pin fixation (Plate-Pin).</p><p><strong>Methods: </strong> This retrospective multicenter study included 65 consecutive MPL stifle surgeries using tibial tuberosity (TT) fixation with a 5-hole locking plate and a pin. The median weight of the dogs was 6.2 kg. The grade of luxation was 2/4 in 50 stifles and 3/4 in 15 stifles. Outcomes were assessed during follow-up examinations 33 to 648 days after surgery with clinical examination and radiography. Canine Orthopedic Index questionnaires were sent to owners 6 to 39 months after surgery.</p><p><strong>Results: </strong> Complications were reported in 14/65 stifles, of which 8/14 were minor and 6/14 were major. After treatment of the major complications, lameness was resolved in all cases and the MPL was resolved in 64/65 stifles.</p><p><strong>Clinical significance: </strong> When the surgery was performed as described in this article, Plate-Pin fixation for TT during MPL surgery is a feasible technique with a lower incidence of luxation recurrence, TT avulsion, and fractures compared with recent retrospective studies with pin and tension band wire TT fixation. Further development of the locking plate TT fixation is indicated to resolve pin-related complications and to determine if fixation including a pin is necessary.</p>","PeriodicalId":51204,"journal":{"name":"Veterinary and Comparative Orthopaedics and Traumatology","volume":" ","pages":"186-193"},"PeriodicalIF":1.1000,"publicationDate":"2025-07-01","publicationTypes":"Journal Article","fieldsOfStudy":null,"isOpenAccess":false,"openAccessPdf":"https://www.ncbi.nlm.nih.gov/pmc/articles/PMC12263244/pdf/","citationCount":"0","resultStr":null,"platform":"Semanticscholar","paperid":null,"PeriodicalName":"Veterinary and Comparative Orthopaedics and Traumatology","FirstCategoryId":"97","ListUrlMain":"https://doi.org/10.1055/s-0044-1795087","RegionNum":2,"RegionCategory":"农林科学","ArticlePicture":[],"TitleCN":null,"AbstractTextCN":null,"PMCID":null,"EPubDate":"2024/11/21 0:00:00","PubModel":"Epub","JCR":"Q3","JCRName":"VETERINARY SCIENCES","Score":null,"Total":0}
引用次数: 0

Abstract

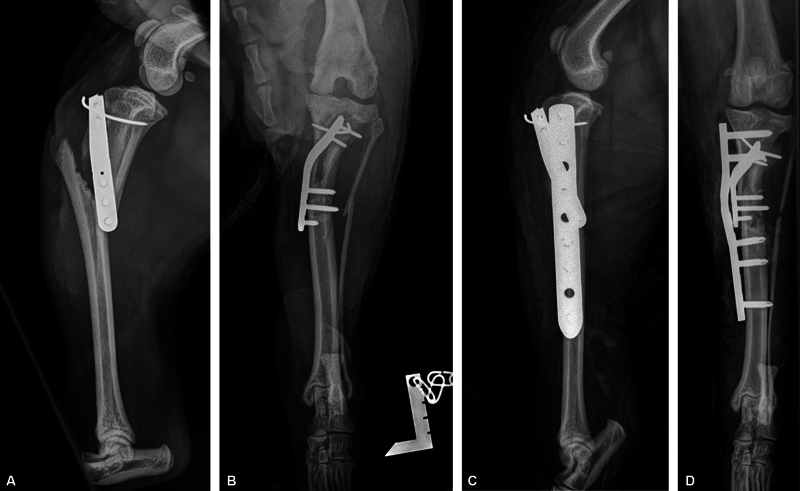
Objectives:  To evaluate the outcome and complications in dogs with medial patellar luxation (MPL) undergoing tibial tuberosity transposition (TTT) with a locking plate and pin fixation (Plate-Pin).

Methods:  This retrospective multicenter study included 65 consecutive MPL stifle surgeries using tibial tuberosity (TT) fixation with a 5-hole locking plate and a pin. The median weight of the dogs was 6.2 kg. The grade of luxation was 2/4 in 50 stifles and 3/4 in 15 stifles. Outcomes were assessed during follow-up examinations 33 to 648 days after surgery with clinical examination and radiography. Canine Orthopedic Index questionnaires were sent to owners 6 to 39 months after surgery.

Results:  Complications were reported in 14/65 stifles, of which 8/14 were minor and 6/14 were major. After treatment of the major complications, lameness was resolved in all cases and the MPL was resolved in 64/65 stifles.

Clinical significance:  When the surgery was performed as described in this article, Plate-Pin fixation for TT during MPL surgery is a feasible technique with a lower incidence of luxation recurrence, TT avulsion, and fractures compared with recent retrospective studies with pin and tension band wire TT fixation. Further development of the locking plate TT fixation is indicated to resolve pin-related complications and to determine if fixation including a pin is necessary.

Abstract Image

Abstract Image

Abstract Image

使用锁定钢板和钢钉固定进行胫骨结节移位的髌骨内侧外翻矫正手术后的效果和并发症:45例单侧手术和20例单次双侧手术。
目的评估髌骨内侧松弛症(MPL)犬接受胫骨结节转位术(TTT)和锁定钢板及销钉固定术(Plate-Pin)的疗效和并发症:这项回顾性多中心研究包括65例连续的MPL跗关节手术,采用5孔锁定钢板和销钉固定胫骨结节(TT)。狗的中位体重为6.2公斤。50只跗关节松弛等级为2/4,15只为3/4。在术后33天至648天的随访检查中,通过临床检查和X光检查对结果进行了评估。术后6至39个月,向犬主人发送犬矫形指数调查问卷:14/65的胫骨出现并发症,其中8/14为轻微并发症,6/14为严重并发症。在治疗了主要并发症后,所有病例的跛足问题都得到了解决,64/65 的跗关节 MPL 都得到了解决:临床意义:按照本文所述方法进行手术时,MPL手术中的板针固定TT是一种可行的技术,与近期使用针和张力带钢丝固定TT的回顾性研究相比,其关节松动复发、TT撕脱和骨折的发生率较低。锁定钢板TT固定技术的进一步发展有助于解决与钢针相关的并发症,并确定是否有必要使用钢针进行固定。
本文章由计算机程序翻译,如有差异,请以英文原文为准。
求助全文
约1分钟内获得全文 求助全文
来源期刊
CiteScore
2.00
自引率
15.40%
发文量
49
审稿时长
18-36 weeks
期刊介绍: Veterinary and Comparative Orthopaedics and Traumatology (VCOT) is the most important single source for clinically relevant information in orthopaedics and neurosurgery available anywhere in the world today. It is unique in that it is truly comparative and there is an unrivalled mix of review articles and basic science amid the information that is immediately clinically relevant in veterinary surgery today.
×
引用
GB/T 7714-2015
复制
MLA
复制
APA
复制
导出至
BibTeX EndNote RefMan NoteFirst NoteExpress
×
提示
您的信息不完整,为了账户安全,请先补充。
现在去补充
×
提示
您因"违规操作"
具体请查看互助需知
我知道了
×
提示
确定
请完成安全验证×
copy
已复制链接
快去分享给好友吧!
我知道了
右上角分享
点击右上角分享
0
联系我们:info@booksci.cn Book学术提供免费学术资源搜索服务,方便国内外学者检索中英文文献。致力于提供最便捷和优质的服务体验。 Copyright © 2023 布克学术 All rights reserved.
京ICP备2023020795号-1
ghs 京公网安备 11010802042870号
Book学术文献互助
Book学术文献互助群
群 号:604180095
Book学术官方微信