A case report of porcine circovirus 3 (PCV3) reproductive disease in Iberian semi-outdoor reared sows.

IF 3.1 2区 农林科学 Q1 VETERINARY SCIENCES
Àlex Cobos, Marina Sibila, Eva Huerta, Mónica Pérez, Marcial Marcos, Rut Menjón, Marta Jiménez, Laura Gálvez, Joaquim Segalés
{"title":"A case report of porcine circovirus 3 (PCV3) reproductive disease in Iberian semi-outdoor reared sows.","authors":"Àlex Cobos, Marina Sibila, Eva Huerta, Mónica Pérez, Marcial Marcos, Rut Menjón, Marta Jiménez, Laura Gálvez, Joaquim Segalés","doi":"10.1186/s40813-024-00407-4","DOIUrl":null,"url":null,"abstract":"<p><strong>Background: </strong>Porcine circovirus 3 (PCV3) is a recently discovered swine pathogen associated with reproductive disease. To date, clinical problems linked to PCV3 have been described in intensive rearing pig farms. The present case describes an Iberian semi-outdoors sow farm affected by PCV3 reproductive disease.</p><p><strong>Case presentation: </strong>The affected farm was composed of 420 self-replaced Iberian sows, working in 3-week batches (60 sows per batch). The farm was free from porcine reproductive and respiratory syndrome virus (PRRSV) and had been previously affected by porcine circovirus 2 (PCV2) reproductive disease, which was successfully managed through sow vaccination. In spring 2022, reproductive disease was noticed with a high increase in the number of mummified foetuses and stillborn piglets from gilts as the most remarkable finding; multiparous sows were not affected. A first analysis with pooled stillborn tissues ruled out most swine reproductive pathogens and revealed detection of PCV3. To further elucidate PCV3 implication in the reproductive disease, a complete post-mortem examination of stillborn and mummified foetuses from two affected litters was conducted. Pooled tissue samples yielded high PCV3 loads by quantitative PCR. Grossly, one (out of 5) stillborn had an enlarged, flaccid heart. Histopathological evaluation revealed PCV3 lesions consisting of lymphohistiocytic and systemic periarteritis (3/5). The grossly affected heart had lymphohistiocytic myocarditis with fibrosis and lymphohistiocytic endocarditis. By in situ hybridization, high amounts of PCV3 genome were observed within histological lesions. Moreover, immunohistochemistry against PRRSV and PCV2 resulted negative in the same tissues.</p><p><strong>Conclusions: </strong>This is the first report of PCV3 reproductive disease in a semi-extensive production Iberian pig farm, affecting exclusively gilts. Moreover, this is the first description of grossly apparent myocarditis associated to PCV3 infection. Therefore, PCV3 should be considered within the differential diagnostic list of swine reproductive problems in non-intensive pig rearing production.</p>","PeriodicalId":20352,"journal":{"name":"Porcine Health Management","volume":"10 1","pages":"52"},"PeriodicalIF":3.1000,"publicationDate":"2024-11-21","publicationTypes":"Journal Article","fieldsOfStudy":null,"isOpenAccess":false,"openAccessPdf":"https://www.ncbi.nlm.nih.gov/pmc/articles/PMC11580343/pdf/","citationCount":"0","resultStr":null,"platform":"Semanticscholar","paperid":null,"PeriodicalName":"Porcine Health Management","FirstCategoryId":"97","ListUrlMain":"https://doi.org/10.1186/s40813-024-00407-4","RegionNum":2,"RegionCategory":"农林科学","ArticlePicture":[],"TitleCN":null,"AbstractTextCN":null,"PMCID":null,"EPubDate":"","PubModel":"","JCR":"Q1","JCRName":"VETERINARY SCIENCES","Score":null,"Total":0}
引用次数: 0

Abstract

Background: Porcine circovirus 3 (PCV3) is a recently discovered swine pathogen associated with reproductive disease. To date, clinical problems linked to PCV3 have been described in intensive rearing pig farms. The present case describes an Iberian semi-outdoors sow farm affected by PCV3 reproductive disease.

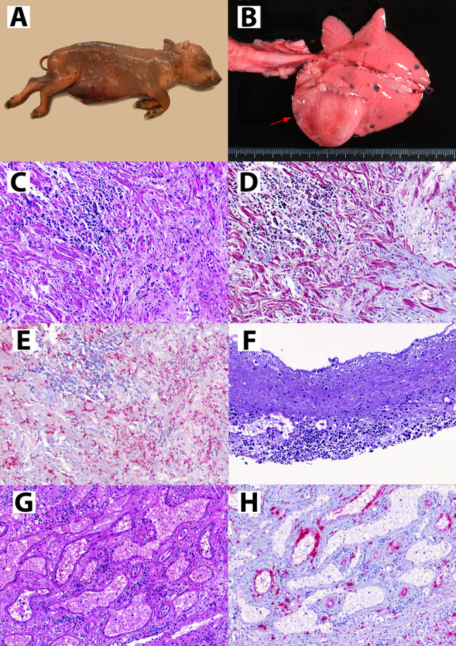
Case presentation: The affected farm was composed of 420 self-replaced Iberian sows, working in 3-week batches (60 sows per batch). The farm was free from porcine reproductive and respiratory syndrome virus (PRRSV) and had been previously affected by porcine circovirus 2 (PCV2) reproductive disease, which was successfully managed through sow vaccination. In spring 2022, reproductive disease was noticed with a high increase in the number of mummified foetuses and stillborn piglets from gilts as the most remarkable finding; multiparous sows were not affected. A first analysis with pooled stillborn tissues ruled out most swine reproductive pathogens and revealed detection of PCV3. To further elucidate PCV3 implication in the reproductive disease, a complete post-mortem examination of stillborn and mummified foetuses from two affected litters was conducted. Pooled tissue samples yielded high PCV3 loads by quantitative PCR. Grossly, one (out of 5) stillborn had an enlarged, flaccid heart. Histopathological evaluation revealed PCV3 lesions consisting of lymphohistiocytic and systemic periarteritis (3/5). The grossly affected heart had lymphohistiocytic myocarditis with fibrosis and lymphohistiocytic endocarditis. By in situ hybridization, high amounts of PCV3 genome were observed within histological lesions. Moreover, immunohistochemistry against PRRSV and PCV2 resulted negative in the same tissues.

Conclusions: This is the first report of PCV3 reproductive disease in a semi-extensive production Iberian pig farm, affecting exclusively gilts. Moreover, this is the first description of grossly apparent myocarditis associated to PCV3 infection. Therefore, PCV3 should be considered within the differential diagnostic list of swine reproductive problems in non-intensive pig rearing production.

Abstract Image

伊比利亚半户外饲养母猪感染猪圆环病毒 3 (PCV3) 生殖疾病的病例报告。
背景:猪圆环病毒 3(PCV3)是最近发现的一种与繁殖疾病相关的猪病原体。迄今为止,与 PCV3 相关的临床问题主要出现在集约化饲养的猪场。本病例描述了一个伊比利亚半室外母猪场感染 PCV3 繁殖病的情况:受影响的猪场由 420 头自繁自养的伊比利亚母猪组成,每 3 周为一批(每批 60 头母猪)。该猪场未感染猪繁殖与呼吸综合征病毒(PRRSV),此前曾感染猪圆环病毒 2(PCV2)繁殖病,通过给母猪接种疫苗成功控制了该病。2022 年春季,繁殖病被发现,最显著的发现是后备母猪的木乃伊胎和死胎数量大幅增加;多胎母猪未受影响。对死胎组织进行的首次分析排除了大多数猪繁殖病原体,并检测到 PCV3。为了进一步阐明 PCV3 与繁殖疾病的关系,对两窝受影响的死胎和木乃伊胎进行了全面的尸检。通过定量 PCR 检测,汇集的组织样本中 PCV3 含量很高。从外观上看,5 个死胎中有 1 个心脏肿大、松弛。组织病理学评估显示 PCV3 病变包括淋巴组织细胞炎和系统性动脉周围炎(3/5)。受到严重影响的心脏患有伴有纤维化的淋巴组织细胞性心肌炎和淋巴组织细胞性心内膜炎。通过原位杂交,在组织学病变中观察到大量 PCV3 基因组。此外,在相同的组织中,PRRSV 和 PCV2 的免疫组化结果均为阴性:这是首次报道伊比利亚半集约化生产猪场发生 PCV3 生殖系统疾病,且仅影响后备母猪。此外,这是首次描述与 PCV3 感染相关的明显心肌炎。因此,在非集约化养猪生产中,猪繁殖问题的鉴别诊断清单中应考虑 PCV3。
本文章由计算机程序翻译,如有差异,请以英文原文为准。
求助全文
约1分钟内获得全文 求助全文
来源期刊
Porcine Health Management
Porcine Health Management Veterinary-Food Animals
CiteScore
5.40
自引率
5.90%
发文量
49
审稿时长
14 weeks
期刊介绍: Porcine Health Management (PHM) is an open access peer-reviewed journal that aims to publish relevant, novel and revised information regarding all aspects of swine health medicine and production.
×
引用
GB/T 7714-2015
复制
MLA
复制
APA
复制
导出至
BibTeX EndNote RefMan NoteFirst NoteExpress
×
提示
您的信息不完整,为了账户安全,请先补充。
现在去补充
×
提示
您因"违规操作"
具体请查看互助需知
我知道了
×
提示
确定
请完成安全验证×
copy
已复制链接
快去分享给好友吧!
我知道了
右上角分享
点击右上角分享
0
联系我们:info@booksci.cn Book学术提供免费学术资源搜索服务,方便国内外学者检索中英文文献。致力于提供最便捷和优质的服务体验。 Copyright © 2023 布克学术 All rights reserved.
京ICP备2023020795号-1
ghs 京公网安备 11010802042870号
Book学术文献互助
Book学术文献互助群
群 号:604180095
Book学术官方微信