CD38 ligation in sepsis promotes nicotinamide phosphoribosyltransferase-mediated IL-6 production in kidney stromal cells.

IF 5.6 2区 医学 Q1 TRANSPLANTATION
Yuya Suzuki, Tadashi Otsuka, Yusuke Takahashi, Shingo Maruyama, Alexey Annenkov, Yasuhiro Kanda, Tomoya Katakai, Hirofumi Watanabe, Riuko Ohashi, Yoshikatsu Kaneko, Ichiei Narita
{"title":"CD38 ligation in sepsis promotes nicotinamide phosphoribosyltransferase-mediated IL-6 production in kidney stromal cells.","authors":"Yuya Suzuki, Tadashi Otsuka, Yusuke Takahashi, Shingo Maruyama, Alexey Annenkov, Yasuhiro Kanda, Tomoya Katakai, Hirofumi Watanabe, Riuko Ohashi, Yoshikatsu Kaneko, Ichiei Narita","doi":"10.1093/ndt/gfae269","DOIUrl":null,"url":null,"abstract":"<p><strong>Background: </strong>Activated macrophages, pivotal for driving the immune response in sepsis, express high levels of CD38. Although the circulating levels of its ligand, CD31, increase in sepsis, the functions of CD38 and its ligation remain elusive. This study aimed to elucidate the impact of CD38 ligation on sepsis using single-cell and single-nucleus RNA sequencing (scRNA-seq and snRNA-seq, respectively) to identify a novel therapeutic target for severe sepsis.</p><p><strong>Methods: </strong>We performed scRNA-seq analysis of mouse peritoneal immune cells to precisely identify cell types exhibiting increased CD38 expression upon exposure to lipopolysaccharide (LPS). Subsequently we induced CD38 ligation using a well-established agonistic anti-CD38 antibody in a mouse model of LPS-induced sepsis. We analysed its pathophysiological effects using kidney snRNA-seq. Finally, we performed histological analysis of septic tissues collected from patients to ensure consistency of our findings between mice and humans.</p><p><strong>Results: </strong>LPS stimulation upregulated CD38 expression in peritoneal macrophages. CD38 ligation significantly exacerbated LPS-induced inflammation in vivo, particularly in the kidneys. Kidney snRNA-seq analysis revealed that CD38 ligation induced interleukin (IL)-6 production in renal stromal cells via nicotinamide phosphoribosyltransferase (NAMPT) signalling originating from CD38-positive macrophages. NAMPT inhibition significantly ameliorated LPS-induced IL-6 production and kidney injury. Histological analysis of human septic tissues demonstrated upregulation of IL6 messenger RNA and NAMPT in renal stromal cells and CD38-positive macrophages, respectively.</p><p><strong>Conclusion: </strong>Our findings elucidate the implications of CD38 ligation in an LPS-induced sepsis model and uncover shared signalling pathways between mice and human sepsis. NAMPT signalling identified in this study may be a novel therapeutic target for mitigating systemic inflammation and kidney injury associated with severe sepsis.</p>","PeriodicalId":19078,"journal":{"name":"Nephrology Dialysis Transplantation","volume":" ","pages":"1310-1321"},"PeriodicalIF":5.6000,"publicationDate":"2025-06-30","publicationTypes":"Journal Article","fieldsOfStudy":null,"isOpenAccess":false,"openAccessPdf":"https://www.ncbi.nlm.nih.gov/pmc/articles/PMC12207605/pdf/","citationCount":"0","resultStr":null,"platform":"Semanticscholar","paperid":null,"PeriodicalName":"Nephrology Dialysis Transplantation","FirstCategoryId":"3","ListUrlMain":"https://doi.org/10.1093/ndt/gfae269","RegionNum":2,"RegionCategory":"医学","ArticlePicture":[],"TitleCN":null,"AbstractTextCN":null,"PMCID":null,"EPubDate":"","PubModel":"","JCR":"Q1","JCRName":"TRANSPLANTATION","Score":null,"Total":0}
引用次数: 0

Abstract

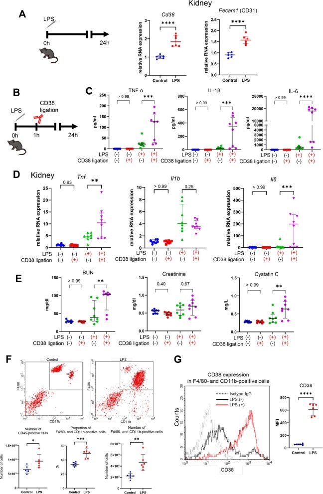
Background: Activated macrophages, pivotal for driving the immune response in sepsis, express high levels of CD38. Although the circulating levels of its ligand, CD31, increase in sepsis, the functions of CD38 and its ligation remain elusive. This study aimed to elucidate the impact of CD38 ligation on sepsis using single-cell and single-nucleus RNA sequencing (scRNA-seq and snRNA-seq, respectively) to identify a novel therapeutic target for severe sepsis.

Methods: We performed scRNA-seq analysis of mouse peritoneal immune cells to precisely identify cell types exhibiting increased CD38 expression upon exposure to lipopolysaccharide (LPS). Subsequently we induced CD38 ligation using a well-established agonistic anti-CD38 antibody in a mouse model of LPS-induced sepsis. We analysed its pathophysiological effects using kidney snRNA-seq. Finally, we performed histological analysis of septic tissues collected from patients to ensure consistency of our findings between mice and humans.

Results: LPS stimulation upregulated CD38 expression in peritoneal macrophages. CD38 ligation significantly exacerbated LPS-induced inflammation in vivo, particularly in the kidneys. Kidney snRNA-seq analysis revealed that CD38 ligation induced interleukin (IL)-6 production in renal stromal cells via nicotinamide phosphoribosyltransferase (NAMPT) signalling originating from CD38-positive macrophages. NAMPT inhibition significantly ameliorated LPS-induced IL-6 production and kidney injury. Histological analysis of human septic tissues demonstrated upregulation of IL6 messenger RNA and NAMPT in renal stromal cells and CD38-positive macrophages, respectively.

Conclusion: Our findings elucidate the implications of CD38 ligation in an LPS-induced sepsis model and uncover shared signalling pathways between mice and human sepsis. NAMPT signalling identified in this study may be a novel therapeutic target for mitigating systemic inflammation and kidney injury associated with severe sepsis.

Abstract Image

Abstract Image

Abstract Image

脓毒症中的 CD38 结扎可促进肾脏基质细胞中烟酰胺磷酸核糖转移酶介导的 IL-6 生成。
背景与假设:活化的巨噬细胞是驱动脓毒症免疫反应的关键,它表达高水平的 CD38。虽然其配体 CD31 的循环水平在脓毒症中会升高,但 CD38 及其结扎的功能仍然难以捉摸。本研究旨在利用单细胞和单核 RNA 测序(分别为 scRNA-seq 和 snRNA-seq)阐明 CD38 结扎对脓毒症的影响,从而确定治疗严重脓毒症的新靶点:我们对小鼠腹膜免疫细胞进行了scRNA-seq分析,以精确鉴定暴露于脂多糖(LPS)时CD38表达增加的细胞类型。随后,我们在 LPS 诱导的败血症小鼠模型中使用一种成熟的激动型抗 CD38 抗体诱导 CD38 结扎。我们利用肾脏 snRNA 序列分析了其病理生理效应。最后,我们对收集自患者的败血症组织进行了组织学分析,以确保我们的研究结果在小鼠和人类之间的一致性:结果:LPS刺激可上调腹腔巨噬细胞中CD38的表达。CD38结扎会明显加剧LPS诱导的体内炎症,尤其是在肾脏。肾脏 snRNA-seq 分析显示,CD38 结扎可通过源自 CD38 阳性巨噬细胞的烟酰胺磷酸核糖转移酶(NAMPT)信号诱导肾脏基质细胞产生白细胞介素(IL)-6。抑制 NAMPT 能明显改善 LPS 诱导的 IL-6 生成和肾损伤。人体败血症组织的组织学分析表明,肾基质细胞和 CD38 阳性巨噬细胞中的 IL6 mRNA 和 NAMPT 分别上调:我们的研究结果阐明了 CD38 结扎在 LPS 诱导的败血症模型中的意义,并发现了小鼠和人类败血症之间共享的信号通路。本研究中发现的 NAMPT 信号转导可能是减轻与严重败血症相关的全身炎症和肾损伤的新型治疗靶点。
本文章由计算机程序翻译,如有差异,请以英文原文为准。
求助全文
约1分钟内获得全文 求助全文
来源期刊
Nephrology Dialysis Transplantation
Nephrology Dialysis Transplantation 医学-泌尿学与肾脏学
CiteScore
10.10
自引率
4.90%
发文量
1431
审稿时长
1.7 months
期刊介绍: Nephrology Dialysis Transplantation (ndt) is the leading nephrology journal in Europe and renowned worldwide, devoted to original clinical and laboratory research in nephrology, dialysis and transplantation. ndt is an official journal of the [ERA-EDTA](http://www.era-edta.org/) (European Renal Association-European Dialysis and Transplant Association). Published monthly, the journal provides an essential resource for researchers and clinicians throughout the world. All research articles in this journal have undergone peer review. Print ISSN: 0931-0509.
×
引用
GB/T 7714-2015
复制
MLA
复制
APA
复制
导出至
BibTeX EndNote RefMan NoteFirst NoteExpress
×
提示
您的信息不完整,为了账户安全,请先补充。
现在去补充
×
提示
您因"违规操作"
具体请查看互助需知
我知道了
×
提示
确定
请完成安全验证×
copy
已复制链接
快去分享给好友吧!
我知道了
右上角分享
点击右上角分享
0
联系我们:info@booksci.cn Book学术提供免费学术资源搜索服务,方便国内外学者检索中英文文献。致力于提供最便捷和优质的服务体验。 Copyright © 2023 布克学术 All rights reserved.
京ICP备2023020795号-1
ghs 京公网安备 11010802042870号
Book学术文献互助
Book学术文献互助群
群 号:604180095
Book学术官方微信