Diagnostic confusion caused by tension gastrothorax - Case series.

IF 2.3 Q3 EMERGENCY MEDICINE
Mehmet Emin Boleken, Tansel Günendi, Mehmet Çakmak, Veysel Kaya, Osman Hakan Kocaman
{"title":"Diagnostic confusion caused by tension gastrothorax - Case series.","authors":"Mehmet Emin Boleken, Tansel Günendi, Mehmet Çakmak, Veysel Kaya, Osman Hakan Kocaman","doi":"10.4103/tjem.tjem_251_23","DOIUrl":null,"url":null,"abstract":"<p><p>The presence of the stomach in the thorax is called gastrothorax. If excessive dilatation occurs due to a valve mechanism in the stomach which then is herniated into the thorax, it is called tension gastrothorax and the situation can be life-threatening. In late presentation, congenital diaphragmatic hernias or traumatic diaphragmatic hernias, if the stomach located in the thorax is severely distended, it can be confused with tension pneumothorax or pleural effusion/empyema. We presented tension gastrothorax in two patients with distended stomach in the thorax, in which tension pneumothorax and pleural effusion/empyema-like images were created, based on plain X-rays taken at the first admission in the emergency department, which may cause diagnostic confusion. The tension gastrothorax can cause mediastinal shift, which can lead to respiratory distress and eventually cardiac arrest secondary to obstructive shock. In case of mediastinal shift, it should reduce the tension of the stomach located in the thorax by inserting a nasogastric catheter, and if this fails, by aspiration with a needle.</p>","PeriodicalId":46536,"journal":{"name":"Turkish Journal of Emergency Medicine","volume":"24 4","pages":"252-254"},"PeriodicalIF":2.3000,"publicationDate":"2024-10-01","publicationTypes":"Journal Article","fieldsOfStudy":null,"isOpenAccess":false,"openAccessPdf":"https://www.ncbi.nlm.nih.gov/pmc/articles/PMC11573175/pdf/","citationCount":"0","resultStr":null,"platform":"Semanticscholar","paperid":null,"PeriodicalName":"Turkish Journal of Emergency Medicine","FirstCategoryId":"1085","ListUrlMain":"https://doi.org/10.4103/tjem.tjem_251_23","RegionNum":0,"RegionCategory":null,"ArticlePicture":[],"TitleCN":null,"AbstractTextCN":null,"PMCID":null,"EPubDate":"","PubModel":"","JCR":"Q3","JCRName":"EMERGENCY MEDICINE","Score":null,"Total":0}
引用次数: 0

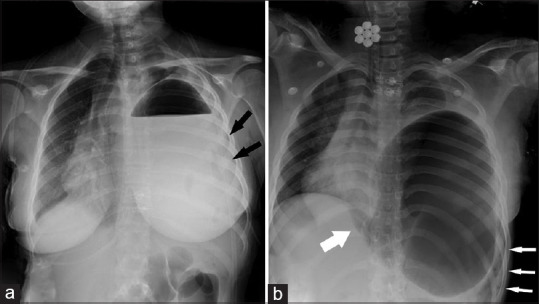
Abstract

The presence of the stomach in the thorax is called gastrothorax. If excessive dilatation occurs due to a valve mechanism in the stomach which then is herniated into the thorax, it is called tension gastrothorax and the situation can be life-threatening. In late presentation, congenital diaphragmatic hernias or traumatic diaphragmatic hernias, if the stomach located in the thorax is severely distended, it can be confused with tension pneumothorax or pleural effusion/empyema. We presented tension gastrothorax in two patients with distended stomach in the thorax, in which tension pneumothorax and pleural effusion/empyema-like images were created, based on plain X-rays taken at the first admission in the emergency department, which may cause diagnostic confusion. The tension gastrothorax can cause mediastinal shift, which can lead to respiratory distress and eventually cardiac arrest secondary to obstructive shock. In case of mediastinal shift, it should reduce the tension of the stomach located in the thorax by inserting a nasogastric catheter, and if this fails, by aspiration with a needle.

Abstract Image

张力性胃胸塞引起的诊断混乱--病例系列。
胃位于胸腔内称为胃胸。如果胃的瓣膜机制导致胃过度扩张,然后疝入胸腔,则称为张力性胃胸(tension gastrothorax),这种情况可能危及生命。在晚期表现、先天性膈疝或外伤性膈疝中,如果位于胸腔内的胃严重胀大,则可能与张力性气胸或胸腔积液/水肿相混淆。我们在急诊科首次入院时拍摄的 X 光平片显示,有两名患者胸腔内胃部胀满,出现了张力性气胸和类似胸腔积液/水肿的图像,这可能会造成诊断上的混淆。张力性胃胸可引起纵隔移位,从而导致呼吸窘迫,最终因阻塞性休克而心跳骤停。在纵隔移位的情况下,应通过插入鼻胃导管来降低位于胸腔内胃的张力,如果无效,则用针头抽吸。
本文章由计算机程序翻译,如有差异,请以英文原文为准。
求助全文
约1分钟内获得全文 求助全文
来源期刊
CiteScore
1.70
自引率
0.00%
发文量
30
审稿时长
22 weeks
期刊介绍: The Turkish Journal of Emergency Medicine (Turk J Emerg Med) is an International, peer-reviewed, open-access journal that publishes clinical and experimental trials, case reports, invited reviews, case images, letters to the Editor, and interesting research conducted in all fields of Emergency Medicine. The Journal is the official scientific publication of the Emergency Medicine Association of Turkey (EMAT) and is printed four times a year, in January, April, July and October. The language of the journal is English. The Journal is based on independent and unbiased double-blinded peer-reviewed principles. Only unpublished papers that are not under review for publication elsewhere can be submitted. The authors are responsible for the scientific content of the material to be published. The Turkish Journal of Emergency Medicine reserves the right to request any research materials on which the paper is based. The Editorial Board of the Turkish Journal of Emergency Medicine and the Publisher adheres to the principles of the International Council of Medical Journal Editors, the World Association of Medical Editors, the Council of Science Editors, the Committee on Publication Ethics, the US National Library of Medicine, the US Office of Research Integrity, the European Association of Science Editors, and the International Society of Managing and Technical Editors.
×
引用
GB/T 7714-2015
复制
MLA
复制
APA
复制
导出至
BibTeX EndNote RefMan NoteFirst NoteExpress
×
提示
您的信息不完整,为了账户安全,请先补充。
现在去补充
×
提示
您因"违规操作"
具体请查看互助需知
我知道了
×
提示
确定
请完成安全验证×
copy
已复制链接
快去分享给好友吧!
我知道了
右上角分享
点击右上角分享
0
联系我们:info@booksci.cn Book学术提供免费学术资源搜索服务,方便国内外学者检索中英文文献。致力于提供最便捷和优质的服务体验。 Copyright © 2023 布克学术 All rights reserved.
京ICP备2023020795号-1
ghs 京公网安备 11010802042870号
Book学术文献互助
Book学术文献互助群
群 号:604180095
Book学术官方微信