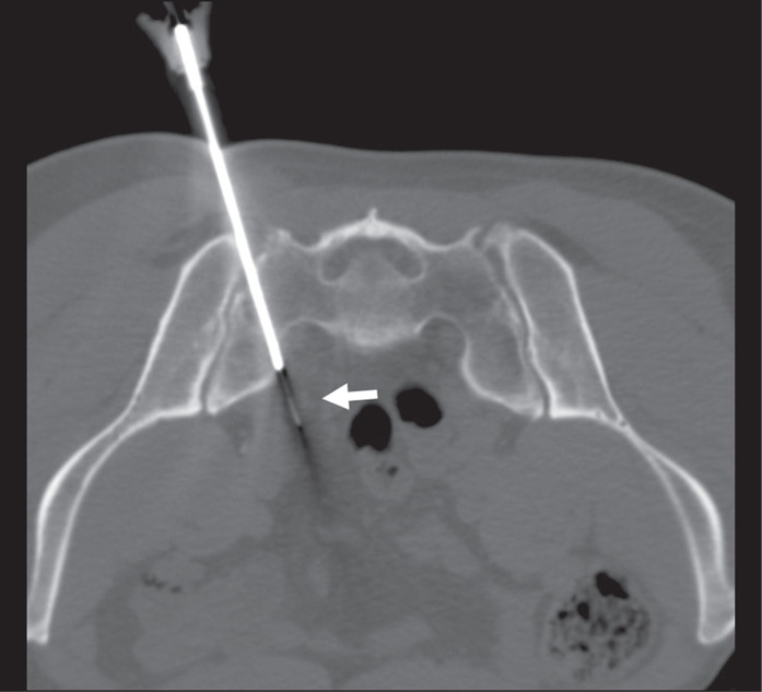
Computed tomography-guided preoperative charcoal tattooing in patients with recurrent prostate cancer after prostatectomy and undergoing pelvic salvage lymphadenectomy.

Q3 Medicine
Radiologia Brasileira Pub Date : 2024-11-18 eCollection Date: 2024-01-01 DOI:10.1590/0100-3984.2024.0038
Juan Bautista Del Valle, Sebastian Gustavo Tirapegui, Juan Cruz Liyo, Matías Adrián Borensztein
{"title":"Computed tomography-guided preoperative charcoal tattooing in patients with recurrent prostate cancer after prostatectomy and undergoing pelvic salvage lymphadenectomy.","authors":"Juan Bautista Del Valle, Sebastian Gustavo Tirapegui, Juan Cruz Liyo, Matías Adrián Borensztein","doi":"10.1590/0100-3984.2024.0038","DOIUrl":null,"url":null,"abstract":"","PeriodicalId":20842,"journal":{"name":"Radiologia Brasileira","volume":"57 ","pages":"e20240038"},"PeriodicalIF":0.0000,"publicationDate":"2024-11-18","publicationTypes":"Journal Article","fieldsOfStudy":null,"isOpenAccess":false,"openAccessPdf":"https://www.ncbi.nlm.nih.gov/pmc/articles/PMC11575846/pdf/","citationCount":"0","resultStr":null,"platform":"Semanticscholar","paperid":null,"PeriodicalName":"Radiologia Brasileira","FirstCategoryId":"1085","ListUrlMain":"https://doi.org/10.1590/0100-3984.2024.0038","RegionNum":0,"RegionCategory":null,"ArticlePicture":[],"TitleCN":null,"AbstractTextCN":null,"PMCID":null,"EPubDate":"2024/1/1 0:00:00","PubModel":"eCollection","JCR":"Q3","JCRName":"Medicine","Score":null,"Total":0}
引用次数: 0

Abstract Image

Abstract Image

Abstract Image

在计算机断层扫描引导下,对前列腺切除术后复发并接受盆腔挽救性淋巴结切除术的前列腺癌患者进行术前炭化纹身。
本文章由计算机程序翻译,如有差异,请以英文原文为准。
求助全文
约1分钟内获得全文 求助全文
来源期刊
Radiologia Brasileira
Radiologia Brasileira Medicine-Radiology, Nuclear Medicine and Imaging
CiteScore
2.60
自引率
0.00%
发文量
75
审稿时长
28 weeks
×
引用
GB/T 7714-2015
复制
MLA
复制
APA
复制
导出至
BibTeX EndNote RefMan NoteFirst NoteExpress
×
提示
您的信息不完整,为了账户安全,请先补充。
现在去补充
×
提示
您因"违规操作"
具体请查看互助需知
我知道了
×
提示
确定
请完成安全验证×
copy
已复制链接
快去分享给好友吧!
我知道了
右上角分享
点击右上角分享
0
联系我们:info@booksci.cn Book学术提供免费学术资源搜索服务,方便国内外学者检索中英文文献。致力于提供最便捷和优质的服务体验。 Copyright © 2023 布克学术 All rights reserved.
京ICP备2023020795号-1
ghs 京公网安备 11010802042870号
Book学术文献互助
Book学术文献互助群
群 号:604180095
Book学术官方微信