Fetal ductal constriction: An ominous but treatable entity!

IF 0.7 Q4 CARDIAC & CARDIOVASCULAR SYSTEMS
Annals of Pediatric Cardiology Pub Date : 2024-05-01 Epub Date: 2024-10-01 DOI:10.4103/apc.apc_99_24
Lamk Kadiyani, Anubhuti Rana, Vatsla Dadhwal, Saurabh Kumar Gupta
{"title":"Fetal ductal constriction: An ominous but treatable entity!","authors":"Lamk Kadiyani, Anubhuti Rana, Vatsla Dadhwal, Saurabh Kumar Gupta","doi":"10.4103/apc.apc_99_24","DOIUrl":null,"url":null,"abstract":"","PeriodicalId":8026,"journal":{"name":"Annals of Pediatric Cardiology","volume":"17 3","pages":"227-228"},"PeriodicalIF":0.7000,"publicationDate":"2024-05-01","publicationTypes":"Journal Article","fieldsOfStudy":null,"isOpenAccess":false,"openAccessPdf":"https://www.ncbi.nlm.nih.gov/pmc/articles/PMC11573192/pdf/","citationCount":"0","resultStr":null,"platform":"Semanticscholar","paperid":null,"PeriodicalName":"Annals of Pediatric Cardiology","FirstCategoryId":"1085","ListUrlMain":"https://doi.org/10.4103/apc.apc_99_24","RegionNum":0,"RegionCategory":null,"ArticlePicture":[],"TitleCN":null,"AbstractTextCN":null,"PMCID":null,"EPubDate":"2024/10/1 0:00:00","PubModel":"Epub","JCR":"Q4","JCRName":"CARDIAC & CARDIOVASCULAR SYSTEMS","Score":null,"Total":0}
引用次数: 0

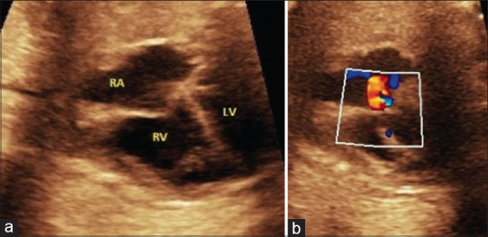
Abstract Image

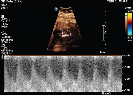
Abstract Image

胎儿导管收缩:一个不祥但可治疗的实体!
本文章由计算机程序翻译,如有差异,请以英文原文为准。
求助全文
约1分钟内获得全文 求助全文
来源期刊
Annals of Pediatric Cardiology
Annals of Pediatric Cardiology CARDIAC & CARDIOVASCULAR SYSTEMS-
CiteScore
1.40
自引率
14.30%
发文量
51
审稿时长
23 weeks
×
引用
GB/T 7714-2015
复制
MLA
复制
APA
复制
导出至
BibTeX EndNote RefMan NoteFirst NoteExpress
×
提示
您的信息不完整,为了账户安全,请先补充。
现在去补充
×
提示
您因"违规操作"
具体请查看互助需知
我知道了
×
提示
确定
请完成安全验证×
copy
已复制链接
快去分享给好友吧!
我知道了
右上角分享
点击右上角分享
0
联系我们:info@booksci.cn Book学术提供免费学术资源搜索服务,方便国内外学者检索中英文文献。致力于提供最便捷和优质的服务体验。 Copyright © 2023 布克学术 All rights reserved.
京ICP备2023020795号-1
ghs 京公网安备 11010802042870号
Book学术文献互助
Book学术文献互助群
群 号:604180095
Book学术官方微信