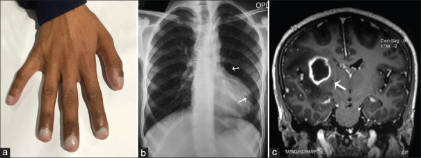
Triad of Clubbing, Boot-shaped Heart, and Brain Abscess in Tetralogy of Fallot.

IF 0.7 Q3 EMERGENCY MEDICINE
Journal of Emergencies, Trauma, and Shock Pub Date : 2024-07-01 Epub Date: 2024-08-02 DOI:10.4103/jets.jets_21_24
Anterpreet Kaur, Harpreet Singh, Deba Prasad Dhibar
{"title":"Triad of Clubbing, Boot-shaped Heart, and Brain Abscess in Tetralogy of Fallot.","authors":"Anterpreet Kaur, Harpreet Singh, Deba Prasad Dhibar","doi":"10.4103/jets.jets_21_24","DOIUrl":null,"url":null,"abstract":"","PeriodicalId":15692,"journal":{"name":"Journal of Emergencies, Trauma, and Shock","volume":"17 3","pages":"187-188"},"PeriodicalIF":0.7000,"publicationDate":"2024-07-01","publicationTypes":"Journal Article","fieldsOfStudy":null,"isOpenAccess":false,"openAccessPdf":"https://www.ncbi.nlm.nih.gov/pmc/articles/PMC11563229/pdf/","citationCount":"0","resultStr":null,"platform":"Semanticscholar","paperid":null,"PeriodicalName":"Journal of Emergencies, Trauma, and Shock","FirstCategoryId":"1085","ListUrlMain":"https://doi.org/10.4103/jets.jets_21_24","RegionNum":0,"RegionCategory":null,"ArticlePicture":[],"TitleCN":null,"AbstractTextCN":null,"PMCID":null,"EPubDate":"2024/8/2 0:00:00","PubModel":"Epub","JCR":"Q3","JCRName":"EMERGENCY MEDICINE","Score":null,"Total":0}
引用次数: 0

Abstract Image

法洛氏四联症的三联症:跛行、靴状心和脑脓肿。
本文章由计算机程序翻译,如有差异,请以英文原文为准。
求助全文
约1分钟内获得全文 求助全文
来源期刊
CiteScore
2.90
自引率
7.10%
发文量
52
审稿时长
39 weeks
×
引用
GB/T 7714-2015
复制
MLA
复制
APA
复制
导出至
BibTeX EndNote RefMan NoteFirst NoteExpress
×
提示
您的信息不完整,为了账户安全,请先补充。
现在去补充
×
提示
您因"违规操作"
具体请查看互助需知
我知道了
×
提示
确定
请完成安全验证×
copy
已复制链接
快去分享给好友吧!
我知道了
右上角分享
点击右上角分享
0
联系我们:info@booksci.cn Book学术提供免费学术资源搜索服务,方便国内外学者检索中英文文献。致力于提供最便捷和优质的服务体验。 Copyright © 2023 布克学术 All rights reserved.
京ICP备2023020795号-1
ghs 京公网安备 11010802042870号
Book学术文献互助
Book学术文献互助群
群 号:604180095
Book学术官方微信