Isolated hydatid cyst in the medial rectus muscle: unveiling a rare orbital occurrence.

IF 2.3 Q1 OPHTHALMOLOGY
Alireza Attar, Behzad Khademi, Mohammad Hassan Jalalpour
{"title":"Isolated hydatid cyst in the medial rectus muscle: unveiling a rare orbital occurrence.","authors":"Alireza Attar, Behzad Khademi, Mohammad Hassan Jalalpour","doi":"10.1186/s12348-024-00436-8","DOIUrl":null,"url":null,"abstract":"<p><strong>Background: </strong>Orbital hydatid disease, while rare, should be included in the differential diagnosis of unilateral proptosis, particularly in endemic areas. Accurate diagnosis and comprehensive management are essential for effective treatment and favorable long-term outcomes.</p><p><strong>Case presentation: </strong>A 12-year-old boy presented with a one-month history of diplopia and left-sided proptosis. A CT scan revealed a cystic mass within the left medial rectus muscle. Surgical intervention confirmed the presence of a hydatid cyst following cyst rupture and irrigation with hypertonic saline. The patient underwent a two-month course of albendazole therapy. Initially, the patient experienced persistent exotropia and diplopia, but at the three-year follow-up, he exhibited no diplopia or proptosis and only mild residual exotropia.</p><p><strong>Conclusion: </strong>This case underscores the importance of considering orbital hydatid cysts in the differential diagnosis of unilateral proptosis in endemic regions. Heightened awareness, accurate diagnosis, and a tailored therapeutic approach, including surgical removal and antiparasitic treatment, are crucial for successful management and improved long-term outcomes.</p>","PeriodicalId":16600,"journal":{"name":"Journal of Ophthalmic Inflammation and Infection","volume":"14 1","pages":"59"},"PeriodicalIF":2.3000,"publicationDate":"2024-11-12","publicationTypes":"Journal Article","fieldsOfStudy":null,"isOpenAccess":false,"openAccessPdf":"https://www.ncbi.nlm.nih.gov/pmc/articles/PMC11557816/pdf/","citationCount":"0","resultStr":null,"platform":"Semanticscholar","paperid":null,"PeriodicalName":"Journal of Ophthalmic Inflammation and Infection","FirstCategoryId":"1085","ListUrlMain":"https://doi.org/10.1186/s12348-024-00436-8","RegionNum":0,"RegionCategory":null,"ArticlePicture":[],"TitleCN":null,"AbstractTextCN":null,"PMCID":null,"EPubDate":"","PubModel":"","JCR":"Q1","JCRName":"OPHTHALMOLOGY","Score":null,"Total":0}
引用次数: 0

Abstract

Background: Orbital hydatid disease, while rare, should be included in the differential diagnosis of unilateral proptosis, particularly in endemic areas. Accurate diagnosis and comprehensive management are essential for effective treatment and favorable long-term outcomes.

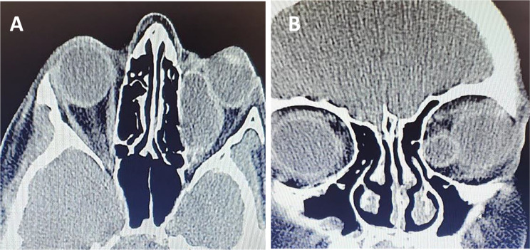
Case presentation: A 12-year-old boy presented with a one-month history of diplopia and left-sided proptosis. A CT scan revealed a cystic mass within the left medial rectus muscle. Surgical intervention confirmed the presence of a hydatid cyst following cyst rupture and irrigation with hypertonic saline. The patient underwent a two-month course of albendazole therapy. Initially, the patient experienced persistent exotropia and diplopia, but at the three-year follow-up, he exhibited no diplopia or proptosis and only mild residual exotropia.

Conclusion: This case underscores the importance of considering orbital hydatid cysts in the differential diagnosis of unilateral proptosis in endemic regions. Heightened awareness, accurate diagnosis, and a tailored therapeutic approach, including surgical removal and antiparasitic treatment, are crucial for successful management and improved long-term outcomes.

Abstract Image

Abstract Image

Abstract Image

内侧直肌孤立性水瘤囊肿:揭开罕见眼眶病的面纱。
背景:眼眶包虫病虽然罕见,但应列入单侧突眼的鉴别诊断中,特别是在流行地区。准确诊断和综合治疗对有效治疗和长期预后至关重要:一名 12 岁男孩因复视和左侧眼球突出就诊一个月。CT 扫描显示左侧内侧直肌内有一个囊性肿块。在囊肿破裂并用高渗盐水冲洗后,手术治疗证实了水瘤囊肿的存在。患者接受了为期两个月的阿苯达唑治疗。最初,患者出现持续性外斜和复视,但在三年的随访中,他没有出现复视或突眼,仅有轻度残余外斜:本病例强调了在地方病流行地区鉴别诊断单侧突眼时考虑眼眶水瘤囊肿的重要性。提高意识、准确诊断和有针对性的治疗方法(包括手术切除和抗寄生虫治疗)是成功治疗和改善长期预后的关键。
本文章由计算机程序翻译,如有差异,请以英文原文为准。
求助全文
约1分钟内获得全文 求助全文
来源期刊
CiteScore
3.80
自引率
3.40%
发文量
39
审稿时长
13 weeks
×
引用
GB/T 7714-2015
复制
MLA
复制
APA
复制
导出至
BibTeX EndNote RefMan NoteFirst NoteExpress
×
提示
您的信息不完整,为了账户安全,请先补充。
现在去补充
×
提示
您因"违规操作"
具体请查看互助需知
我知道了
×
提示
确定
请完成安全验证×
copy
已复制链接
快去分享给好友吧!
我知道了
右上角分享
点击右上角分享
0
联系我们:info@booksci.cn Book学术提供免费学术资源搜索服务,方便国内外学者检索中英文文献。致力于提供最便捷和优质的服务体验。 Copyright © 2023 布克学术 All rights reserved.
京ICP备2023020795号-1
ghs 京公网安备 11010802042870号
Book学术文献互助
Book学术文献互助群
群 号:604180095
Book学术官方微信