Correlation of enlarged perivascular spaces in basal ganglion and cancer-associated stroke: a case-control study in China.

IF 4.9 1区 医学
Jielong Wu, Ganji Hong, Liangcheng Zheng, Jiedong Zhao, Lu Yu, Chuya Jing, Qiuhong Zhang, Chen Wang, Xiaodong Yuan, Qing Lin, Zhanxiang Wang, Qilin Ma, Jie Fang
{"title":"Correlation of enlarged perivascular spaces in basal ganglion and cancer-associated stroke: a case-control study in China.","authors":"Jielong Wu, Ganji Hong, Liangcheng Zheng, Jiedong Zhao, Lu Yu, Chuya Jing, Qiuhong Zhang, Chen Wang, Xiaodong Yuan, Qing Lin, Zhanxiang Wang, Qilin Ma, Jie Fang","doi":"10.1136/svn-2024-003287","DOIUrl":null,"url":null,"abstract":"<p><strong>Introduction: </strong>The incidence of cancer-associated ischaemic stroke (IS) is increasingly prevalent. This study aimed to assess the levels of enlarged perivascular spaces in basal ganglion (BG-EPVS) in cancer-associated patients who had a stroke compared with the control group, and to investigate the diagnostic utility of BG-EPVS in the context of cancer-associated stroke.</p><p><strong>Method: </strong>A matched case-control study was conducted in Xiamen, China. A total of 184 IS patients (cancer vs control=1:1) were recruited. The severity of BG-EPVS was graded using high-resolution MRI. Patients' gender, age, clinical risk factors, other imaging changes and laboratory findings information at admission were collected. Logistic regression models were constructed and subgroup analysis by cancer treatment.</p><p><strong>Result: </strong>Overall, 65.22% of the 184 subjects were male, with a mean (SD) age of 68.83±10.52 years. BG-EPVS had a significant influence on cancer-associated stroke (OR=1.85 (95% CI 1.29, 2.71), p=0.001) after adjusting for gender, age, clinical risk factors, other imaging changes and laboratory findings. The area under the curve of the diagnosis model that combined BG-EPVS and other factors was 0.848 (95% CI 0.787, 0.896), significantly higher than the other three models. Subgroup analysis suggested a heightened association between BG-EPVS and cancer-associated stroke within the cancer treatment group.</p><p><strong>Conclusion: </strong>In conclusion, this is the first study to assess the diagnosis values of BG-EPVS on cancer-associated stroke and helps us understand the pathogenesis of cancer-associated stroke. Our findings demonstrate the effectiveness of BG-EPVS in diagnosing IS patients who may carry underlying cancer.</p>","PeriodicalId":48733,"journal":{"name":"Journal of Investigative Medicine","volume":" ","pages":"441-451"},"PeriodicalIF":4.9000,"publicationDate":"2025-08-26","publicationTypes":"Journal Article","fieldsOfStudy":null,"isOpenAccess":false,"openAccessPdf":"https://www.ncbi.nlm.nih.gov/pmc/articles/PMC12415650/pdf/","citationCount":"0","resultStr":null,"platform":"Semanticscholar","paperid":null,"PeriodicalName":"Journal of Investigative Medicine","FirstCategoryId":"3","ListUrlMain":"https://doi.org/10.1136/svn-2024-003287","RegionNum":1,"RegionCategory":"医学","ArticlePicture":[],"TitleCN":null,"AbstractTextCN":null,"PMCID":null,"EPubDate":"","PubModel":"","JCR":"","JCRName":"","Score":null,"Total":0}
引用次数: 0

Abstract

Introduction: The incidence of cancer-associated ischaemic stroke (IS) is increasingly prevalent. This study aimed to assess the levels of enlarged perivascular spaces in basal ganglion (BG-EPVS) in cancer-associated patients who had a stroke compared with the control group, and to investigate the diagnostic utility of BG-EPVS in the context of cancer-associated stroke.

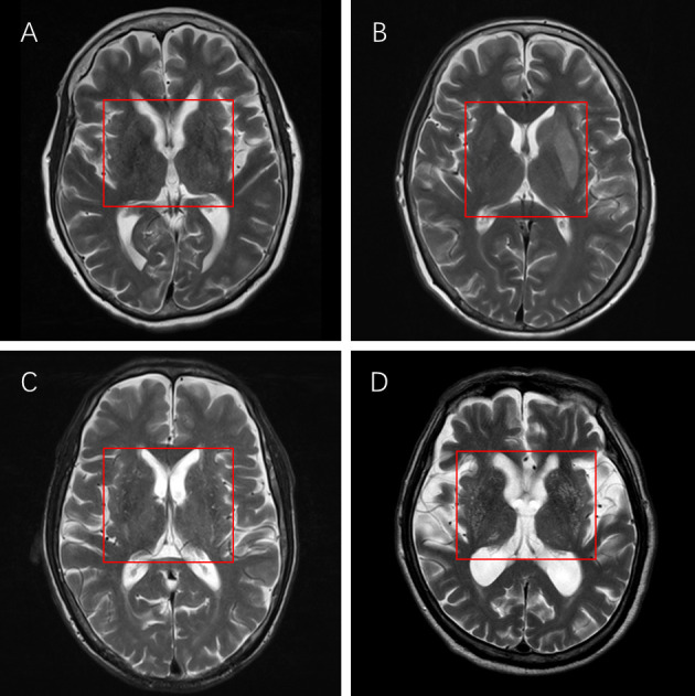
Method: A matched case-control study was conducted in Xiamen, China. A total of 184 IS patients (cancer vs control=1:1) were recruited. The severity of BG-EPVS was graded using high-resolution MRI. Patients' gender, age, clinical risk factors, other imaging changes and laboratory findings information at admission were collected. Logistic regression models were constructed and subgroup analysis by cancer treatment.

Result: Overall, 65.22% of the 184 subjects were male, with a mean (SD) age of 68.83±10.52 years. BG-EPVS had a significant influence on cancer-associated stroke (OR=1.85 (95% CI 1.29, 2.71), p=0.001) after adjusting for gender, age, clinical risk factors, other imaging changes and laboratory findings. The area under the curve of the diagnosis model that combined BG-EPVS and other factors was 0.848 (95% CI 0.787, 0.896), significantly higher than the other three models. Subgroup analysis suggested a heightened association between BG-EPVS and cancer-associated stroke within the cancer treatment group.

Conclusion: In conclusion, this is the first study to assess the diagnosis values of BG-EPVS on cancer-associated stroke and helps us understand the pathogenesis of cancer-associated stroke. Our findings demonstrate the effectiveness of BG-EPVS in diagnosing IS patients who may carry underlying cancer.

Abstract Image

Abstract Image

Abstract Image

基底节血管周围间隙增大与癌症相关中风的相关性:一项中国病例对照研究。
导言:癌症相关缺血性脑卒中(IS)的发病率越来越高。本研究旨在评估与对照组相比,癌症相关脑卒中患者基底节血管周围间隙增大(BG-EPVS)的水平,并探讨 BG-EPVS 在癌症相关脑卒中中的诊断作用:方法:在中国厦门进行了一项匹配病例对照研究。方法:在中国厦门进行了一项匹配病例对照研究,共招募了 184 名 IS 患者(癌症与对照组的比例为 1:1)。采用高分辨率磁共振成像对 BG-EPVS 的严重程度进行分级。收集了患者的性别、年龄、临床风险因素、其他影像学变化以及入院时的实验室检查结果等信息。建立逻辑回归模型,并按癌症治疗方法进行亚组分析:184名受试者中男性占65.22%,平均(标清)年龄为(68.83±10.52)岁。在调整性别、年龄、临床危险因素、其他影像学变化和实验室结果后,BG-EPVS 对癌症相关性卒中有显著影响(OR=1.85 (95% CI 1.29, 2.71),P=0.001)。结合 BG-EPVS 和其他因素的诊断模型的曲线下面积为 0.848(95% CI 0.787,0.896),明显高于其他三个模型。亚组分析表明,在癌症治疗组中,BG-EPVS 与癌症相关中风的相关性更高:总之,这是首个评估 BG-EPVS 对癌症相关性卒中诊断价值的研究,有助于我们了解癌症相关性卒中的发病机制。我们的研究结果证明了 BG-EPVS 在诊断可能患有潜在癌症的 IS 患者方面的有效性。
本文章由计算机程序翻译,如有差异,请以英文原文为准。
求助全文
约1分钟内获得全文 求助全文
来源期刊
Journal of Investigative Medicine
Journal of Investigative Medicine MEDICINE, GENERAL & INTERNALMEDICINE, RESE-MEDICINE, RESEARCH & EXPERIMENTAL
自引率
0.00%
发文量
111
期刊介绍: Journal of Investigative Medicine (JIM) is the official publication of the American Federation for Medical Research. The journal is peer-reviewed and publishes high-quality original articles and reviews in the areas of basic, clinical, and translational medical research. JIM publishes on all topics and specialty areas that are critical to the conduct of the entire spectrum of biomedical research: from the translation of clinical observations at the bedside, to basic and animal research to clinical research and the implementation of innovative medical care.
×
引用
GB/T 7714-2015
复制
MLA
复制
APA
复制
导出至
BibTeX EndNote RefMan NoteFirst NoteExpress
×
提示
您的信息不完整,为了账户安全,请先补充。
现在去补充
×
提示
您因"违规操作"
具体请查看互助需知
我知道了
×
提示
确定
请完成安全验证×
copy
已复制链接
快去分享给好友吧!
我知道了
右上角分享
点击右上角分享
0
联系我们:info@booksci.cn Book学术提供免费学术资源搜索服务,方便国内外学者检索中英文文献。致力于提供最便捷和优质的服务体验。 Copyright © 2023 布克学术 All rights reserved.
京ICP备2023020795号-1
ghs 京公网安备 11010802042870号
Book学术文献互助
Book学术文献互助群
群 号:604180095
Book学术官方微信