Subsidence of the Corail stem in total hip arthroplasty: no influence of bony contact.

IF 3.7 2区 医学 Q1 ORTHOPEDICS
Filippo Migliorini, Nicola Maffulli, Marco Pilone, Daniel Kämmer, Ulf Krister Hofmann, Andrea Nobili, Erlis Velaj, Andreas Bell
{"title":"Subsidence of the Corail stem in total hip arthroplasty: no influence of bony contact.","authors":"Filippo Migliorini, Nicola Maffulli, Marco Pilone, Daniel Kämmer, Ulf Krister Hofmann, Andrea Nobili, Erlis Velaj, Andreas Bell","doi":"10.1186/s10195-024-00794-y","DOIUrl":null,"url":null,"abstract":"<p><strong>Introduction: </strong>This study investigated stem subsidence following primary total hip arthroplasty (THA) with a Corail stem in patients who underwent two-staged bilateral THA. The second outcome of interest was to investigate whether a specific single cortical bone contact point might reduce postoperative stem subsidence.</p><p><strong>Methods: </strong>The present study was conducted following the STROBE guidelines. The records of patients who underwent THA between 2016 and 2023 were accessed. All patients who underwent two-staged bilateral THA were retrieved. The direct contact between the stem and the cortical bone was assessed at various points in the metaphysis and the distal portion of the stem (diaphysis) in both anteroposterior radiographs of the pelvis (medial and lateral bone contact) and a Lauenstein view of the hip (anterior and posterior bone contact). The following parameters were measured and compared to assess stem subsidence: distance from the proximal femur at the stem bone interface and the tip of the lesser trochanter (distance A); distance from the tip of the lesser trochanter and the tip of the femoral stem (distance B).</p><p><strong>Results: </strong>In total, 250 patients were included, 45% (149 of 250 patients) were women and 61% (153 of 250 THAs) were implanted primarily on the right side. The mean age of patients at the time of the first THA was 64.3 ± 10.0 years and the mean body mass index (BMI) was 28.0 ± 4.9 kg/m<sup>2</sup>. The mean length of the follow-up was 14.1 ± 10.8 months. The overall stem subsidence following THA was 2.8 ± 0.7 mm (P < 0.006). A direct cortical bone-implant contact did not exert a statistically significant difference in subsidence of the THA stem at the metaphysis and diaphysis (P > 0.5). Stem subsidence following THA with a collarless cementless Corail stem was approximately 2.8 mm at 14 months.</p><p><strong>Conclusions: </strong>Direct cortical bone contact of the stem at diaphysis and metaphysis seems not to influence stem subsidence following THA using the Corail stem.</p>","PeriodicalId":48603,"journal":{"name":"Journal of Orthopaedics and Traumatology","volume":"25 1","pages":"53"},"PeriodicalIF":3.7000,"publicationDate":"2024-11-10","publicationTypes":"Journal Article","fieldsOfStudy":null,"isOpenAccess":false,"openAccessPdf":"https://www.ncbi.nlm.nih.gov/pmc/articles/PMC11551085/pdf/","citationCount":"0","resultStr":null,"platform":"Semanticscholar","paperid":null,"PeriodicalName":"Journal of Orthopaedics and Traumatology","FirstCategoryId":"3","ListUrlMain":"https://doi.org/10.1186/s10195-024-00794-y","RegionNum":2,"RegionCategory":"医学","ArticlePicture":[],"TitleCN":null,"AbstractTextCN":null,"PMCID":null,"EPubDate":"","PubModel":"","JCR":"Q1","JCRName":"ORTHOPEDICS","Score":null,"Total":0}
引用次数: 0

Abstract

Introduction: This study investigated stem subsidence following primary total hip arthroplasty (THA) with a Corail stem in patients who underwent two-staged bilateral THA. The second outcome of interest was to investigate whether a specific single cortical bone contact point might reduce postoperative stem subsidence.

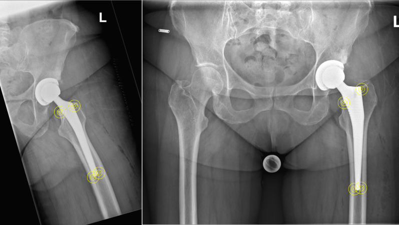
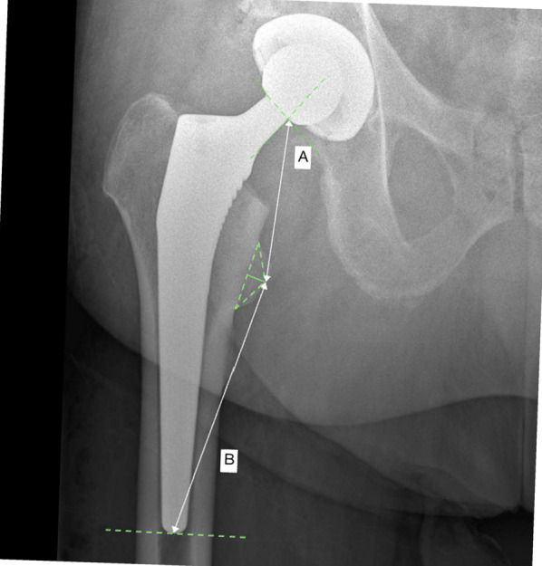
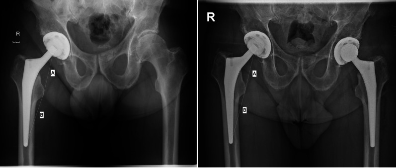
Methods: The present study was conducted following the STROBE guidelines. The records of patients who underwent THA between 2016 and 2023 were accessed. All patients who underwent two-staged bilateral THA were retrieved. The direct contact between the stem and the cortical bone was assessed at various points in the metaphysis and the distal portion of the stem (diaphysis) in both anteroposterior radiographs of the pelvis (medial and lateral bone contact) and a Lauenstein view of the hip (anterior and posterior bone contact). The following parameters were measured and compared to assess stem subsidence: distance from the proximal femur at the stem bone interface and the tip of the lesser trochanter (distance A); distance from the tip of the lesser trochanter and the tip of the femoral stem (distance B).

Results: In total, 250 patients were included, 45% (149 of 250 patients) were women and 61% (153 of 250 THAs) were implanted primarily on the right side. The mean age of patients at the time of the first THA was 64.3 ± 10.0 years and the mean body mass index (BMI) was 28.0 ± 4.9 kg/m2. The mean length of the follow-up was 14.1 ± 10.8 months. The overall stem subsidence following THA was 2.8 ± 0.7 mm (P < 0.006). A direct cortical bone-implant contact did not exert a statistically significant difference in subsidence of the THA stem at the metaphysis and diaphysis (P > 0.5). Stem subsidence following THA with a collarless cementless Corail stem was approximately 2.8 mm at 14 months.

Conclusions: Direct cortical bone contact of the stem at diaphysis and metaphysis seems not to influence stem subsidence following THA using the Corail stem.

Abstract Image

Abstract Image

Abstract Image

全髋关节置换术中 Corail 茎的下沉:骨骼接触没有影响。
简介:这项研究调查了接受两阶段双侧全髋关节置换术(THA)的患者在使用Corail柄进行初级全髋关节置换术(THA)后的柄下沉情况。第二项研究结果是探讨特定的单一皮质骨接触点是否可减少术后柄下沉:本研究根据STROBE指南进行。方法:本研究按照STROBE指南进行。研究人员查阅了2016年至2023年间接受THA手术的患者记录。检索了所有接受两阶段双侧 THA 的患者。在骨盆的前正位X光片(内侧和外侧骨接触)和髋关节的Lauenstein视图(前方和后方骨接触)中,对骨骺和骨干远端(干骺端)各点的骨干和皮质骨之间的直接接触进行了评估。测量并比较以下参数以评估股骨柄下沉:股骨柄骨界面处股骨近端到小转子顶端的距离(距离A);小转子顶端到股骨柄顶端的距离(距离B):共纳入250名患者,其中45%(250名患者中的149名)为女性,61%(250名THA患者中的153名)主要植入右侧。患者首次接受 THA 时的平均年龄为 64.3 ± 10.0 岁,平均体重指数(BMI)为 28.0 ± 4.9 kg/m2。平均随访时间为(14.1 ± 10.8)个月。THA 术后的总体骨干下沉为 2.8 ± 0.7 毫米(P 0.5)。使用无领无骨水泥Corail柄进行THA后,14个月时柄下沉约为2.8毫米:结论:使用Corail骨干进行THA后,骨干在干骺端和干骺端的直接皮质骨接触似乎不会影响骨干下沉。
本文章由计算机程序翻译,如有差异,请以英文原文为准。
求助全文
约1分钟内获得全文 求助全文
来源期刊
Journal of Orthopaedics and Traumatology
Journal of Orthopaedics and Traumatology Medicine-Orthopedics and Sports Medicine
CiteScore
4.30
自引率
0.00%
发文量
56
审稿时长
13 weeks
期刊介绍: The Journal of Orthopaedics and Traumatology, the official open access peer-reviewed journal of the Italian Society of Orthopaedics and Traumatology, publishes original papers reporting basic or clinical research in the field of orthopaedic and traumatologic surgery, as well as systematic reviews, brief communications, case reports and letters to the Editor. Narrative instructional reviews and commentaries to original articles may be commissioned by Editors from eminent colleagues. The Journal of Orthopaedics and Traumatology aims to be an international forum for the communication and exchange of ideas concerning the various aspects of orthopaedics and musculoskeletal trauma.
×
引用
GB/T 7714-2015
复制
MLA
复制
APA
复制
导出至
BibTeX EndNote RefMan NoteFirst NoteExpress
×
提示
您的信息不完整,为了账户安全,请先补充。
现在去补充
×
提示
您因"违规操作"
具体请查看互助需知
我知道了
×
提示
确定
请完成安全验证×
copy
已复制链接
快去分享给好友吧!
我知道了
右上角分享
点击右上角分享
0
联系我们:info@booksci.cn Book学术提供免费学术资源搜索服务,方便国内外学者检索中英文文献。致力于提供最便捷和优质的服务体验。 Copyright © 2023 布克学术 All rights reserved.
京ICP备2023020795号-1
ghs 京公网安备 11010802042870号
Book学术文献互助
Book学术文献互助群
群 号:604180095
Book学术官方微信