[Early onset leukoencephalopathy with vanishing white matter].

IF 0.8 4区 医学 Q4 CLINICAL NEUROLOGY
L Barrachina-Jordá, C Villar-Vera, L Monfort-Belenguer, J L León-Guijarro, A Piolatti-Luna
{"title":"[Early onset leukoencephalopathy with vanishing white matter].","authors":"L Barrachina-Jordá, C Villar-Vera, L Monfort-Belenguer, J L León-Guijarro, A Piolatti-Luna","doi":"10.33588/rn.7909.2024312","DOIUrl":null,"url":null,"abstract":"<p><strong>Introduction: </strong>Leukodystrophies are a group of developmental disorders of the white matter in the central nervous system. Their differential diagnosis is very broad, and as such information from neuroimaging can be very useful. We present the case of an infant diagnosed with leukoencephalopathy with vanishing white matter following neurological regression.</p><p><strong>Case report: </strong>A 7-month-old male infant with no relevant history was admitted to a tertiary hospital as a result of vomiting, refusing food, and neurological symptoms. The episode was diagnosed as subacute rhombencephalitis based on the clinical findings and brain magnetic resonance imaging. Treatment with corticotherapy was undertaken, and led to gradual improvement. The patient was admitted once again three months later, due to an evident neurological regression after vaccination. A further MRI brain scan showed findings compatible with leukodystrophy, which was diagnosed as leukoencephalopathy with vanishing white matter after a genetic study. Treatment of symptoms was undertaken with follow-up by the home hospitalisation unit. However, the patient finally died at 15 months of age as a consequence of the evolution of his condition.</p><p><strong>Conclusions: </strong>Dealing with neurological regression in paediatric patients is challenging, and neuroimaging may be very useful for an initial diagnosis. There is no curative treatment for most leukodystrophies and the prognosis is usually poor. The patient's comfort must therefore be optimised, and genetic counselling must be provided.</p>","PeriodicalId":21281,"journal":{"name":"Revista de neurologia","volume":"79 9","pages":"259-262"},"PeriodicalIF":0.8000,"publicationDate":"2024-11-01","publicationTypes":"Journal Article","fieldsOfStudy":null,"isOpenAccess":false,"openAccessPdf":"https://www.ncbi.nlm.nih.gov/pmc/articles/PMC11605907/pdf/","citationCount":"0","resultStr":null,"platform":"Semanticscholar","paperid":null,"PeriodicalName":"Revista de neurologia","FirstCategoryId":"3","ListUrlMain":"https://doi.org/10.33588/rn.7909.2024312","RegionNum":4,"RegionCategory":"医学","ArticlePicture":[],"TitleCN":null,"AbstractTextCN":null,"PMCID":null,"EPubDate":"","PubModel":"","JCR":"Q4","JCRName":"CLINICAL NEUROLOGY","Score":null,"Total":0}
引用次数: 0

Abstract

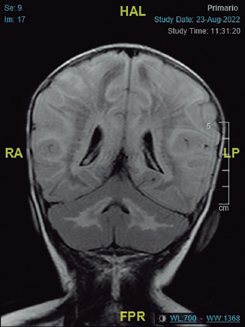
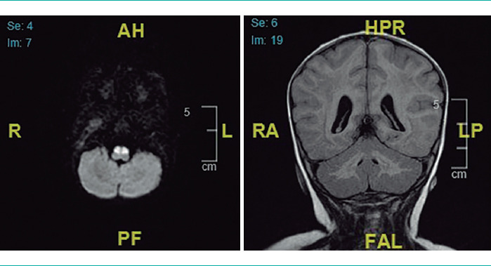
Introduction: Leukodystrophies are a group of developmental disorders of the white matter in the central nervous system. Their differential diagnosis is very broad, and as such information from neuroimaging can be very useful. We present the case of an infant diagnosed with leukoencephalopathy with vanishing white matter following neurological regression.

Case report: A 7-month-old male infant with no relevant history was admitted to a tertiary hospital as a result of vomiting, refusing food, and neurological symptoms. The episode was diagnosed as subacute rhombencephalitis based on the clinical findings and brain magnetic resonance imaging. Treatment with corticotherapy was undertaken, and led to gradual improvement. The patient was admitted once again three months later, due to an evident neurological regression after vaccination. A further MRI brain scan showed findings compatible with leukodystrophy, which was diagnosed as leukoencephalopathy with vanishing white matter after a genetic study. Treatment of symptoms was undertaken with follow-up by the home hospitalisation unit. However, the patient finally died at 15 months of age as a consequence of the evolution of his condition.

Conclusions: Dealing with neurological regression in paediatric patients is challenging, and neuroimaging may be very useful for an initial diagnosis. There is no curative treatment for most leukodystrophies and the prognosis is usually poor. The patient's comfort must therefore be optimised, and genetic counselling must be provided.

Abstract Image

Abstract Image

[白质消失的早发性白质脑病]。
导言白质营养不良症是一组中枢神经系统白质发育障碍性疾病。其鉴别诊断非常广泛,因此神经影像学信息非常有用。我们介绍了一例在神经系统退化后被诊断为白质消失型白质脑病的婴儿病例:病例报告:一名 7 个月大的无相关病史的男婴因呕吐、拒食和神经症状被送入一家三甲医院。根据临床表现和脑磁共振成像,诊断为亚急性菱形脑炎。患者接受了皮质激素治疗,病情逐渐好转。三个月后,由于接种疫苗后神经功能明显减退,患者再次入院。进一步的核磁共振脑部扫描结果显示与白质营养不良症相符,经遗传学研究后诊断为白质消失性脑病。患者的症状得到了治疗,并由家庭住院部进行了随访。然而,由于病情的发展,患者最终在 15 个月大时死亡:处理儿科患者的神经退行性疾病具有挑战性,神经影像学检查对初步诊断非常有用。大多数白质营养不良症都无法治愈,预后通常很差。因此,必须让患者感到舒适,并提供遗传咨询。
本文章由计算机程序翻译,如有差异,请以英文原文为准。
求助全文
约1分钟内获得全文 求助全文
来源期刊
Revista de neurologia
Revista de neurologia 医学-临床神经学
CiteScore
2.50
自引率
8.30%
发文量
117
审稿时长
3-8 weeks
期刊介绍: Revista de Neurología fomenta y difunde el conocimiento generado en lengua española sobre neurociencia, tanto clínica como experimental.
×
引用
GB/T 7714-2015
复制
MLA
复制
APA
复制
导出至
BibTeX EndNote RefMan NoteFirst NoteExpress
×
提示
您的信息不完整,为了账户安全,请先补充。
现在去补充
×
提示
您因"违规操作"
具体请查看互助需知
我知道了
×
提示
确定
请完成安全验证×
copy
已复制链接
快去分享给好友吧!
我知道了
右上角分享
点击右上角分享
0
联系我们:info@booksci.cn Book学术提供免费学术资源搜索服务,方便国内外学者检索中英文文献。致力于提供最便捷和优质的服务体验。 Copyright © 2023 布克学术 All rights reserved.
京ICP备2023020795号-1
ghs 京公网安备 11010802042870号
Book学术文献互助
Book学术文献互助群
群 号:604180095
Book学术官方微信