Three main portal veins: A very rare case of portal vein anomaly.

IF 1.3 Q3 RADIOLOGY, NUCLEAR MEDICINE & MEDICAL IMAGING
Journal of Clinical Imaging Science Pub Date : 2024-10-28 eCollection Date: 2024-01-01 DOI:10.25259/JCIS_107_2024
Guilong Liu, Linfeng Song, Youquan Li, Lin Jiang
{"title":"Three main portal veins: A very rare case of portal vein anomaly.","authors":"Guilong Liu, Linfeng Song, Youquan Li, Lin Jiang","doi":"10.25259/JCIS_107_2024","DOIUrl":null,"url":null,"abstract":"<p><p>Portal vein (PV) anomalies are rare during embryonic development, with very few cases of duplicated PVs reported. This case reveals a new PV trunk anomaly, where computed tomography venography imaging shows three portal veins. The superior mesenteric vein and inferior mesenteric vein join to form a trunk that divides into two branches: One entering the liver (PV1) and the other ascending to join the splenic vein. The splenic vein then divides into two branches in the neck of the pancreas (PV2 and PV3), both entering the liver. The three PVs vary in thickness and all enter the liver through the first hepatic portal. Understanding the normal structure and anatomy of the PV is important for successful surgical planning. This case involves three main trunks of the PV, which is an extremely rare type of PV duplication anomaly. Reporting this case aims to enhance the awareness and understanding of PV duplication anomalies among clinicians and radiologists.</p>","PeriodicalId":15512,"journal":{"name":"Journal of Clinical Imaging Science","volume":"14 ","pages":"41"},"PeriodicalIF":1.3000,"publicationDate":"2024-10-28","publicationTypes":"Journal Article","fieldsOfStudy":null,"isOpenAccess":false,"openAccessPdf":"https://www.ncbi.nlm.nih.gov/pmc/articles/PMC11545131/pdf/","citationCount":"0","resultStr":null,"platform":"Semanticscholar","paperid":null,"PeriodicalName":"Journal of Clinical Imaging Science","FirstCategoryId":"1085","ListUrlMain":"https://doi.org/10.25259/JCIS_107_2024","RegionNum":0,"RegionCategory":null,"ArticlePicture":[],"TitleCN":null,"AbstractTextCN":null,"PMCID":null,"EPubDate":"2024/1/1 0:00:00","PubModel":"eCollection","JCR":"Q3","JCRName":"RADIOLOGY, NUCLEAR MEDICINE & MEDICAL IMAGING","Score":null,"Total":0}
引用次数: 0

Abstract

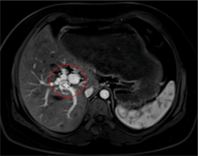
Portal vein (PV) anomalies are rare during embryonic development, with very few cases of duplicated PVs reported. This case reveals a new PV trunk anomaly, where computed tomography venography imaging shows three portal veins. The superior mesenteric vein and inferior mesenteric vein join to form a trunk that divides into two branches: One entering the liver (PV1) and the other ascending to join the splenic vein. The splenic vein then divides into two branches in the neck of the pancreas (PV2 and PV3), both entering the liver. The three PVs vary in thickness and all enter the liver through the first hepatic portal. Understanding the normal structure and anatomy of the PV is important for successful surgical planning. This case involves three main trunks of the PV, which is an extremely rare type of PV duplication anomaly. Reporting this case aims to enhance the awareness and understanding of PV duplication anomalies among clinicians and radiologists.

Abstract Image

Abstract Image

Abstract Image

三条主要门静脉一个非常罕见的门静脉异常病例。
门静脉(PV)异常在胚胎发育过程中非常罕见,很少有门静脉重复的报道。本病例显示了一种新的门静脉主干异常,计算机断层扫描静脉成像显示有三条门静脉。肠系膜上静脉和肠系膜下静脉汇合形成一条主干,主干分为两条分支:一条进入肝脏(PV1),另一条上升汇入脾静脉。然后,脾静脉在胰腺颈部分为两支(PV2 和 PV3),均进入肝脏。三条肝静脉粗细不同,都通过第一肝门进入肝脏。了解 PV 的正常结构和解剖对于成功制定手术计划非常重要。本病例涉及三条主干的肝静脉,是极其罕见的肝静脉重复异常类型。报告此病例的目的是提高临床医生和放射科医生对外周静脉重复畸形的认识和理解。
本文章由计算机程序翻译,如有差异,请以英文原文为准。
求助全文
约1分钟内获得全文 求助全文
来源期刊
Journal of Clinical Imaging Science
Journal of Clinical Imaging Science RADIOLOGY, NUCLEAR MEDICINE & MEDICAL IMAGING-
CiteScore
2.00
自引率
0.00%
发文量
65
期刊介绍: The Journal of Clinical Imaging Science (JCIS) is an open access peer-reviewed journal committed to publishing high-quality articles in the field of Imaging Science. The journal aims to present Imaging Science and relevant clinical information in an understandable and useful format. The journal is owned and published by the Scientific Scholar. Audience Our audience includes Radiologists, Researchers, Clinicians, medical professionals and students. Review process JCIS has a highly rigorous peer-review process that makes sure that manuscripts are scientifically accurate, relevant, novel and important. Authors disclose all conflicts, affiliations and financial associations such that the published content is not biased.
×
引用
GB/T 7714-2015
复制
MLA
复制
APA
复制
导出至
BibTeX EndNote RefMan NoteFirst NoteExpress
×
提示
您的信息不完整,为了账户安全,请先补充。
现在去补充
×
提示
您因"违规操作"
具体请查看互助需知
我知道了
×
提示
确定
请完成安全验证×
copy
已复制链接
快去分享给好友吧!
我知道了
右上角分享
点击右上角分享
0
联系我们:info@booksci.cn Book学术提供免费学术资源搜索服务,方便国内外学者检索中英文文献。致力于提供最便捷和优质的服务体验。 Copyright © 2023 布克学术 All rights reserved.
京ICP备2023020795号-1
ghs 京公网安备 11010802042870号
Book学术文献互助
Book学术文献互助群
群 号:604180095
Book学术官方微信