Granulomatous prostatitis following Bacillus Calmette-Guérin therapy.

IF 1.3 Q3 RADIOLOGY, NUCLEAR MEDICINE & MEDICAL IMAGING
Journal of Clinical Imaging Science Pub Date : 2024-10-17 eCollection Date: 2024-01-01 DOI:10.25259/JCIS_47_2023
Siddhi Hegde, Dhairya A Lakhani, Ion Prisneac, Brian Markovich
{"title":"Granulomatous prostatitis following Bacillus Calmette-Guérin therapy.","authors":"Siddhi Hegde, Dhairya A Lakhani, Ion Prisneac, Brian Markovich","doi":"10.25259/JCIS_47_2023","DOIUrl":null,"url":null,"abstract":"<p><p>Granulomatous prostatitis (GP) is a rare form of chronic prostatitis with reported incidence of 0.65-1.5%. Radiological features of GP overlap with those of prostate adenocarcinoma. The following magnetic resonance imaging characteristics can suggest the diagnosis in an appropriate clinical setting: Diffuse or focal nodular low T2 signal, high signal on diffusion-weighted imaging with corresponding low apparent diffusion coefficient signal, and post-contrast imaging with lesion enhancement or rim-enhancing in the setting of caseous necrosis or abscess formation. Even with suspicion on imaging, the overlapping imaging features with prostate adenocarcinoma necessitate biopsy for confirmatory diagnosis. Here, we report a case of a 70-year-old man with GP in the setting of prior intravesicle bacillus Calmette-Guérin administration.</p>","PeriodicalId":15512,"journal":{"name":"Journal of Clinical Imaging Science","volume":"14 ","pages":"39"},"PeriodicalIF":1.3000,"publicationDate":"2024-10-17","publicationTypes":"Journal Article","fieldsOfStudy":null,"isOpenAccess":false,"openAccessPdf":"https://www.ncbi.nlm.nih.gov/pmc/articles/PMC11450486/pdf/","citationCount":"0","resultStr":null,"platform":"Semanticscholar","paperid":null,"PeriodicalName":"Journal of Clinical Imaging Science","FirstCategoryId":"1085","ListUrlMain":"https://doi.org/10.25259/JCIS_47_2023","RegionNum":0,"RegionCategory":null,"ArticlePicture":[],"TitleCN":null,"AbstractTextCN":null,"PMCID":null,"EPubDate":"2024/1/1 0:00:00","PubModel":"eCollection","JCR":"Q3","JCRName":"RADIOLOGY, NUCLEAR MEDICINE & MEDICAL IMAGING","Score":null,"Total":0}
引用次数: 0

Abstract

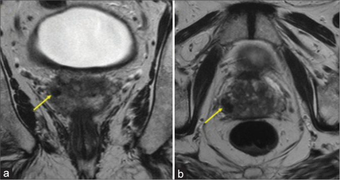
Granulomatous prostatitis (GP) is a rare form of chronic prostatitis with reported incidence of 0.65-1.5%. Radiological features of GP overlap with those of prostate adenocarcinoma. The following magnetic resonance imaging characteristics can suggest the diagnosis in an appropriate clinical setting: Diffuse or focal nodular low T2 signal, high signal on diffusion-weighted imaging with corresponding low apparent diffusion coefficient signal, and post-contrast imaging with lesion enhancement or rim-enhancing in the setting of caseous necrosis or abscess formation. Even with suspicion on imaging, the overlapping imaging features with prostate adenocarcinoma necessitate biopsy for confirmatory diagnosis. Here, we report a case of a 70-year-old man with GP in the setting of prior intravesicle bacillus Calmette-Guérin administration.

Abstract Image

Abstract Image

Abstract Image

卡介苗治疗后的肉芽肿性前列腺炎
肉芽肿性前列腺炎(GP)是一种罕见的慢性前列腺炎,据报道发病率为 0.65%-1.5%。肉芽肿性前列腺炎的放射学特征与前列腺腺癌重叠。在适当的临床环境下,以下磁共振成像特征可提示诊断:弥漫性或局灶性结节性低 T2 信号,弥散加权成像高信号并伴有相应的低表观弥散系数信号,对比成像后病灶增强或在病理坏死或脓肿形成时边缘增强。即使在影像学上有所怀疑,但由于影像学特征与前列腺腺癌重叠,仍有必要进行活检以确诊。在此,我们报告了一例 70 岁男性 GP 患者的病例,患者曾在膀胱内注射卡介苗。
本文章由计算机程序翻译,如有差异,请以英文原文为准。
求助全文
约1分钟内获得全文 求助全文
来源期刊
Journal of Clinical Imaging Science
Journal of Clinical Imaging Science RADIOLOGY, NUCLEAR MEDICINE & MEDICAL IMAGING-
CiteScore
2.00
自引率
0.00%
发文量
65
期刊介绍: The Journal of Clinical Imaging Science (JCIS) is an open access peer-reviewed journal committed to publishing high-quality articles in the field of Imaging Science. The journal aims to present Imaging Science and relevant clinical information in an understandable and useful format. The journal is owned and published by the Scientific Scholar. Audience Our audience includes Radiologists, Researchers, Clinicians, medical professionals and students. Review process JCIS has a highly rigorous peer-review process that makes sure that manuscripts are scientifically accurate, relevant, novel and important. Authors disclose all conflicts, affiliations and financial associations such that the published content is not biased.
×
引用
GB/T 7714-2015
复制
MLA
复制
APA
复制
导出至
BibTeX EndNote RefMan NoteFirst NoteExpress
×
提示
您的信息不完整,为了账户安全,请先补充。
现在去补充
×
提示
您因"违规操作"
具体请查看互助需知
我知道了
×
提示
确定
请完成安全验证×
copy
已复制链接
快去分享给好友吧!
我知道了
右上角分享
点击右上角分享
0
联系我们:info@booksci.cn Book学术提供免费学术资源搜索服务,方便国内外学者检索中英文文献。致力于提供最便捷和优质的服务体验。 Copyright © 2023 布克学术 All rights reserved.
京ICP备2023020795号-1
ghs 京公网安备 11010802042870号
Book学术文献互助
Book学术文献互助群
群 号:604180095
Book学术官方微信