Glenohumeral joint septic arthritis and osteomyelitis caused by Moraxella catarrhalis after arthroscopic rotator cuff repair: case report and literature review.

IF 2.8 Q3 INFECTIOUS DISEASES
Journal of Bone and Joint Infection Pub Date : 2024-10-18 eCollection Date: 2024-01-01 DOI:10.5194/jbji-9-225-2024
Yong-Beom Kim, Jinjae Kim, Min Gon Song, Tae Hyong Kim, Tae-Yoon Choi, Gi-Won Seo
{"title":"Glenohumeral joint septic arthritis and osteomyelitis caused by <i>Moraxella catarrhalis</i> after arthroscopic rotator cuff repair: case report and literature review.","authors":"Yong-Beom Kim, Jinjae Kim, Min Gon Song, Tae Hyong Kim, Tae-Yoon Choi, Gi-Won Seo","doi":"10.5194/jbji-9-225-2024","DOIUrl":null,"url":null,"abstract":"<p><p><i>Moraxella catarrhalis</i> commonly colonizes the upper respiratory tract of humans, but infection caused by <i>M. catarrhalis</i> after orthopedic surgery is rare. Here, we report the first case of septic arthritis of the shoulder caused by an <i>M. catarrhalis</i> infection and outline the diagnosis and treatment steps as well as differences compared with other cases.</p>","PeriodicalId":15271,"journal":{"name":"Journal of Bone and Joint Infection","volume":"9 5","pages":"225-230"},"PeriodicalIF":2.8000,"publicationDate":"2024-10-18","publicationTypes":"Journal Article","fieldsOfStudy":null,"isOpenAccess":false,"openAccessPdf":"https://www.ncbi.nlm.nih.gov/pmc/articles/PMC11554717/pdf/","citationCount":"0","resultStr":null,"platform":"Semanticscholar","paperid":null,"PeriodicalName":"Journal of Bone and Joint Infection","FirstCategoryId":"1085","ListUrlMain":"https://doi.org/10.5194/jbji-9-225-2024","RegionNum":0,"RegionCategory":null,"ArticlePicture":[],"TitleCN":null,"AbstractTextCN":null,"PMCID":null,"EPubDate":"2024/1/1 0:00:00","PubModel":"eCollection","JCR":"Q3","JCRName":"INFECTIOUS DISEASES","Score":null,"Total":0}
引用次数: 0

Abstract

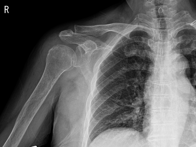
Moraxella catarrhalis commonly colonizes the upper respiratory tract of humans, but infection caused by M. catarrhalis after orthopedic surgery is rare. Here, we report the first case of septic arthritis of the shoulder caused by an M. catarrhalis infection and outline the diagnosis and treatment steps as well as differences compared with other cases.

Abstract Image

Abstract Image

Abstract Image

关节镜下肩袖修复术后莫拉菌引起的盂肱关节化脓性关节炎和骨髓炎:病例报告和文献综述。
卡他沙雷氏菌通常定植于人类的上呼吸道,但骨科手术后由卡他沙雷氏菌引起的感染并不多见。在此,我们报告了首例由卡他沙雷氏菌感染引起的肩关节化脓性关节炎病例,并概述了诊断和治疗步骤以及与其他病例的不同之处。
本文章由计算机程序翻译,如有差异,请以英文原文为准。
求助全文
约1分钟内获得全文 求助全文
来源期刊
CiteScore
3.70
自引率
0.00%
发文量
29
审稿时长
12 weeks
×
引用
GB/T 7714-2015
复制
MLA
复制
APA
复制
导出至
BibTeX EndNote RefMan NoteFirst NoteExpress
×
提示
您的信息不完整,为了账户安全,请先补充。
现在去补充
×
提示
您因"违规操作"
具体请查看互助需知
我知道了
×
提示
确定
请完成安全验证×
copy
已复制链接
快去分享给好友吧!
我知道了
右上角分享
点击右上角分享
0
联系我们:info@booksci.cn Book学术提供免费学术资源搜索服务,方便国内外学者检索中英文文献。致力于提供最便捷和优质的服务体验。 Copyright © 2023 布克学术 All rights reserved.
京ICP备2023020795号-1
ghs 京公网安备 11010802042870号
Book学术文献互助
Book学术文献互助群
群 号:604180095
Book学术官方微信