Volumetric changes of porcine collagen matrix and free gingival grafts for soft-tissue grafting to increase the width of keratinized tissue around dental implants: a retrospective clinical study.

IF 4 3区 医学 Q1 DENTISTRY, ORAL SURGERY & MEDICINE
Ausra Ramanauskaite, Katharina Melissa Müller, Carla Schliephake, Karina Obreja, Amira Begic, Iulia Dahmer, Puria Parvini, Frank Schwarz
{"title":"Volumetric changes of porcine collagen matrix and free gingival grafts for soft-tissue grafting to increase the width of keratinized tissue around dental implants: a retrospective clinical study.","authors":"Ausra Ramanauskaite, Katharina Melissa Müller, Carla Schliephake, Karina Obreja, Amira Begic, Iulia Dahmer, Puria Parvini, Frank Schwarz","doi":"10.1186/s40729-024-00575-6","DOIUrl":null,"url":null,"abstract":"<p><strong>Aim: </strong>To compare three-dimensional changes of aporcine derived collagen matrix (CM) and free gingival grafts (FGG) for increasing keratinized tissue (KT) at dental implants over a 24-month follow-up period.</p><p><strong>Materials and methods: </strong>This retrospective study enrolled 25 patients exhibiting 41 implants with deficient KT width (i.e., < 2 mm) who underwent soft tissue augmentation using either CM (11 patients/15 implants) or FGG (14 patients/26 implants). The primary outcome was tissue thickness change (mm) at treated implant sites between 1- (S0), 12- (S1), and 24-months (S2). Secondary outcome was the changes of KT width over a 24-month follow-up period.</p><p><strong>Results: </strong>Dimensional analyses from S0 to S1 and from S0 to S2 revealed a mean decrease in tissue thickness of -0.05 ± 0.35 mm and - 0.31 ± 0.41 mm in the CM group, and - 0.23 ± 0.38 mm and - 0.22 ± 0.81 mm in the FGG group, with no significant differences found between the groups (S0-S1: p = 0.14, S0-S2: p = 0.58). Within S1 and S2, the CM and FGG groups displayed comparable tissue thickness reduction (CM: -0.32 ± 0.53 mm, FGG: -0.02 ± 0.21 mm; p = 0.07). The FGG group exhibited a significantly greater KT gain 24-months compared to the CM group (CM: 1.50 ± 1.14 mm, FGG: 4.04 ± 1.65 mm; p < 0.001).</p><p><strong>Conclusions: </strong>CM and FGG were associated with comparable three-dimensional thickness changes over a period of 24 months. A significantly wider KT band could be established in the FGG group.</p>","PeriodicalId":14076,"journal":{"name":"International Journal of Implant Dentistry","volume":"10 1","pages":"52"},"PeriodicalIF":4.0000,"publicationDate":"2024-11-12","publicationTypes":"Journal Article","fieldsOfStudy":null,"isOpenAccess":false,"openAccessPdf":"https://www.ncbi.nlm.nih.gov/pmc/articles/PMC11557777/pdf/","citationCount":"0","resultStr":null,"platform":"Semanticscholar","paperid":null,"PeriodicalName":"International Journal of Implant Dentistry","FirstCategoryId":"3","ListUrlMain":"https://doi.org/10.1186/s40729-024-00575-6","RegionNum":3,"RegionCategory":"医学","ArticlePicture":[],"TitleCN":null,"AbstractTextCN":null,"PMCID":null,"EPubDate":"","PubModel":"","JCR":"Q1","JCRName":"DENTISTRY, ORAL SURGERY & MEDICINE","Score":null,"Total":0}
引用次数: 0

Abstract

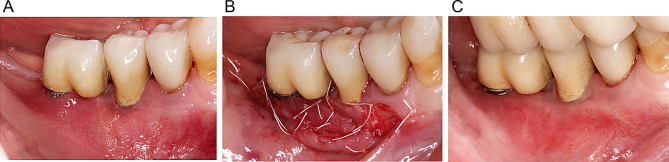
Aim: To compare three-dimensional changes of aporcine derived collagen matrix (CM) and free gingival grafts (FGG) for increasing keratinized tissue (KT) at dental implants over a 24-month follow-up period.

Materials and methods: This retrospective study enrolled 25 patients exhibiting 41 implants with deficient KT width (i.e., < 2 mm) who underwent soft tissue augmentation using either CM (11 patients/15 implants) or FGG (14 patients/26 implants). The primary outcome was tissue thickness change (mm) at treated implant sites between 1- (S0), 12- (S1), and 24-months (S2). Secondary outcome was the changes of KT width over a 24-month follow-up period.

Results: Dimensional analyses from S0 to S1 and from S0 to S2 revealed a mean decrease in tissue thickness of -0.05 ± 0.35 mm and - 0.31 ± 0.41 mm in the CM group, and - 0.23 ± 0.38 mm and - 0.22 ± 0.81 mm in the FGG group, with no significant differences found between the groups (S0-S1: p = 0.14, S0-S2: p = 0.58). Within S1 and S2, the CM and FGG groups displayed comparable tissue thickness reduction (CM: -0.32 ± 0.53 mm, FGG: -0.02 ± 0.21 mm; p = 0.07). The FGG group exhibited a significantly greater KT gain 24-months compared to the CM group (CM: 1.50 ± 1.14 mm, FGG: 4.04 ± 1.65 mm; p < 0.001).

Conclusions: CM and FGG were associated with comparable three-dimensional thickness changes over a period of 24 months. A significantly wider KT band could be established in the FGG group.

Abstract Image

Abstract Image

Abstract Image

用于软组织移植的猪胶原基质和游离牙龈移植物的体积变化,以增加牙种植体周围角化组织的宽度:一项回顾性临床研究。
目的:比较茯苓胶原基质(CM)和游离龈移植物(FGG)在 24 个月随访期内增加种植体角化组织(KT)的三维变化:这项回顾性研究共纳入了 25 名患者,他们共种植了 41 颗牙,但 KT 宽度不足(即小于 2 毫米),这些患者接受了 CM(11 名患者/15 颗种植体)或 FGG(14 名患者/26 颗种植体)软组织增量术。主要结果是治疗后植入部位的组织厚度在 1 个月(S0)、12 个月(S1)和 24 个月(S2)之间的变化(毫米)。次要结果是 24 个月随访期间 KT 宽度的变化:从 S0 到 S1 以及从 S0 到 S2 的尺寸分析显示,CM 组的组织厚度平均减少了 -0.05 ± 0.35 毫米和 - 0.31 ± 0.41 毫米,FGG 组的组织厚度平均减少了 - 0.23 ± 0.38 毫米和 - 0.22 ± 0.81 毫米,组间无显著差异(S0-S1:P = 0.14,S0-S2:P = 0.58)。在 S1 和 S2 中,CM 组和 FGG 组的组织厚度减少幅度相当(CM:-0.32 ± 0.53 mm,FGG:-0.02 ± 0.21 mm;p = 0.07)。与 CM 组相比,FGG 组在 24 个月后的 KT 增厚明显更大(CM:1.50 ± 1.14 mm,FGG:4.04 ± 1.65 mm;p 结论:CM 和 FGG 与 KT 增厚相关:在 24 个月期间,CM 和 FGG 的三维厚度变化相当。FGG 组的 KT 带明显更宽。
本文章由计算机程序翻译,如有差异,请以英文原文为准。
求助全文
约1分钟内获得全文 求助全文
来源期刊
International Journal of Implant Dentistry
International Journal of Implant Dentistry DENTISTRY, ORAL SURGERY & MEDICINE-
CiteScore
1.70
自引率
7.40%
发文量
53
审稿时长
13 weeks
期刊介绍: The International Journal of Implant Dentistry is a peer-reviewed open access journal published under the SpringerOpen brand. The journal is dedicated to promoting the exchange and discussion of all research areas relevant to implant dentistry in the form of systematic literature or invited reviews, prospective and retrospective clinical studies, clinical case reports, basic laboratory and animal research, and articles on material research and engineering.
×
引用
GB/T 7714-2015
复制
MLA
复制
APA
复制
导出至
BibTeX EndNote RefMan NoteFirst NoteExpress
×
提示
您的信息不完整,为了账户安全,请先补充。
现在去补充
×
提示
您因"违规操作"
具体请查看互助需知
我知道了
×
提示
确定
请完成安全验证×
copy
已复制链接
快去分享给好友吧!
我知道了
右上角分享
点击右上角分享
0
联系我们:info@booksci.cn Book学术提供免费学术资源搜索服务,方便国内外学者检索中英文文献。致力于提供最便捷和优质的服务体验。 Copyright © 2023 布克学术 All rights reserved.
京ICP备2023020795号-1
ghs 京公网安备 11010802042870号
Book学术文献互助
Book学术文献互助群
群 号:604180095
Book学术官方微信