Intra-Parotid Recurrent Nasopharyngeal Carcinoma Following Intensity-Modulated Radiation Therapy: A Case Report.

IF 0.6 Q3 MEDICINE, GENERAL & INTERNAL
Clinical Medicine Insights. Case Reports Pub Date : 2024-11-07 eCollection Date: 2024-01-01 DOI:10.1177/11795476241295723
Abderrahim Bourial, Othmane Nourallah Laraqui, Chirwa Abdillahi Mahamoud, Hiba Elhani, Reyzane Elmjabber, Loubna Taali, Said Anajar, Mustapha Essaadi, Khalid Snoussi, Zineb Dahbi, Amal Hajjij
{"title":"Intra-Parotid Recurrent Nasopharyngeal Carcinoma Following Intensity-Modulated Radiation Therapy: A Case Report.","authors":"Abderrahim Bourial, Othmane Nourallah Laraqui, Chirwa Abdillahi Mahamoud, Hiba Elhani, Reyzane Elmjabber, Loubna Taali, Said Anajar, Mustapha Essaadi, Khalid Snoussi, Zineb Dahbi, Amal Hajjij","doi":"10.1177/11795476241295723","DOIUrl":null,"url":null,"abstract":"<p><strong>Introduction: </strong>Intra-parotid metastasis refers to the spread of cancerous cells from a primary tumor to the lymph nodes within the parotid gland. To our best knowledge, we report the first described case in the literature of a patient who received IMRT for nasopharyngeal carcinoma (UCNT) without sparing the parotid gland and still experienced a recurrence.</p><p><strong>Case presentation: </strong>A 57-year-old male patient of north African origin presented with a left parotid mass that had been evolving for 6 months. He was previously diagnosed with and treated for nasopharyngeal carcinoma 2 years prior to admission, with Intensity-Modulated Radiotherapy (IMRT) without sparing the parotid gland, as well as chemotherapy. Medical imaging was suggestive of recurrence of nasopharyngeal carcinoma and metastasis due to the patient's medical history. The patient benefited from a total parotidectomy; The histopathological analysis of the surgical specimen confirmed the presence of a poorly differentiated carcinoma (UCNT) with nodal metastasis.</p><p><strong>Conclusion: </strong>Intensity-Modulated Radiation Therapy (IMRT) holds great promise as an alternative treatment option. However, it should be reserved for specific cases with minimal lymph node involvement, and always preceded by a thorough clinical and radiological examination.</p>","PeriodicalId":10357,"journal":{"name":"Clinical Medicine Insights. Case Reports","volume":"17 ","pages":"11795476241295723"},"PeriodicalIF":0.6000,"publicationDate":"2024-11-07","publicationTypes":"Journal Article","fieldsOfStudy":null,"isOpenAccess":false,"openAccessPdf":"https://www.ncbi.nlm.nih.gov/pmc/articles/PMC11544682/pdf/","citationCount":"0","resultStr":null,"platform":"Semanticscholar","paperid":null,"PeriodicalName":"Clinical Medicine Insights. Case Reports","FirstCategoryId":"1085","ListUrlMain":"https://doi.org/10.1177/11795476241295723","RegionNum":0,"RegionCategory":null,"ArticlePicture":[],"TitleCN":null,"AbstractTextCN":null,"PMCID":null,"EPubDate":"2024/1/1 0:00:00","PubModel":"eCollection","JCR":"Q3","JCRName":"MEDICINE, GENERAL & INTERNAL","Score":null,"Total":0}
引用次数: 0

Abstract

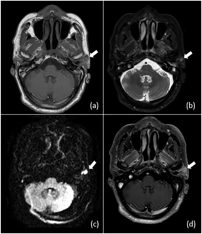
Introduction: Intra-parotid metastasis refers to the spread of cancerous cells from a primary tumor to the lymph nodes within the parotid gland. To our best knowledge, we report the first described case in the literature of a patient who received IMRT for nasopharyngeal carcinoma (UCNT) without sparing the parotid gland and still experienced a recurrence.

Case presentation: A 57-year-old male patient of north African origin presented with a left parotid mass that had been evolving for 6 months. He was previously diagnosed with and treated for nasopharyngeal carcinoma 2 years prior to admission, with Intensity-Modulated Radiotherapy (IMRT) without sparing the parotid gland, as well as chemotherapy. Medical imaging was suggestive of recurrence of nasopharyngeal carcinoma and metastasis due to the patient's medical history. The patient benefited from a total parotidectomy; The histopathological analysis of the surgical specimen confirmed the presence of a poorly differentiated carcinoma (UCNT) with nodal metastasis.

Conclusion: Intensity-Modulated Radiation Therapy (IMRT) holds great promise as an alternative treatment option. However, it should be reserved for specific cases with minimal lymph node involvement, and always preceded by a thorough clinical and radiological examination.

Abstract Image

Abstract Image

Abstract Image

调强放射治疗后腮腺内复发性鼻咽癌:病例报告。
导言腮腺内转移是指癌细胞从原发肿瘤扩散到腮腺内的淋巴结。据我们所知,我们报告了文献中描述的第一例鼻咽癌(UCNT)IMRT 患者,该患者接受了 IMRT 治疗,但没有保留腮腺,结果仍然复发:一名 57 岁的北非裔男性患者因左侧腮腺肿块就诊,该肿块已发展了 6 个月。入院前两年,他曾被诊断为鼻咽癌,并接受了强度调制放疗(IMRT)和化疗,但未保留腮腺。根据患者的病史,医学影像提示鼻咽癌复发和转移。患者接受了腮腺全切除术;手术标本的组织病理学分析证实,患者患有分化不良癌(UCNT),并伴有结节转移:结论:强度调制放射治疗(IMRT)作为一种替代疗法前景广阔。结论:强度调制放射治疗(IMRT)作为一种替代疗法前景广阔,但应仅限于淋巴结受累程度极低的特殊病例,而且在使用前必须进行全面的临床和放射学检查。
本文章由计算机程序翻译,如有差异,请以英文原文为准。
求助全文
约1分钟内获得全文 求助全文
来源期刊
Clinical Medicine Insights. Case Reports
Clinical Medicine Insights. Case Reports MEDICINE, GENERAL & INTERNAL-
CiteScore
1.10
自引率
0.00%
发文量
57
审稿时长
8 weeks
×
引用
GB/T 7714-2015
复制
MLA
复制
APA
复制
导出至
BibTeX EndNote RefMan NoteFirst NoteExpress
×
提示
您的信息不完整,为了账户安全,请先补充。
现在去补充
×
提示
您因"违规操作"
具体请查看互助需知
我知道了
×
提示
确定
请完成安全验证×
copy
已复制链接
快去分享给好友吧!
我知道了
右上角分享
点击右上角分享
0
联系我们:info@booksci.cn Book学术提供免费学术资源搜索服务,方便国内外学者检索中英文文献。致力于提供最便捷和优质的服务体验。 Copyright © 2023 布克学术 All rights reserved.
京ICP备2023020795号-1
ghs 京公网安备 11010802042870号
Book学术文献互助
Book学术文献互助群
群 号:604180095
Book学术官方微信