Rhodococcus equi, an Unusual Human Pathogen That Causes Cavitating Pneumonia in Patients With AIDS.

IF 0.8 Q4 INFECTIOUS DISEASES
Case Reports in Infectious Diseases Pub Date : 2024-11-07 eCollection Date: 2024-01-01 DOI:10.1155/2024/5570186
J Vandersnickt, Pee J Van, S Vandamme, C Kenyon, E Florence, S Van Ierssel, E Vlieghe, C Theunissen
{"title":"<i>Rhodococcus equi</i>, an Unusual Human Pathogen That Causes Cavitating Pneumonia in Patients With AIDS.","authors":"J Vandersnickt, Pee J Van, S Vandamme, C Kenyon, E Florence, S Van Ierssel, E Vlieghe, C Theunissen","doi":"10.1155/2024/5570186","DOIUrl":null,"url":null,"abstract":"<p><p><i>Rhodococcus equi</i> is a rare human opportunistic pathogen that has been increasingly reported in recent decades. It mainly affects immunosuppressed patients, and in particular human immunodeficiency virus (HIV)-infected patients, where it typically presents as cavitary pneumonia. Early treatment with combined and effective antimicrobials and antiretroviral therapy after prompt diagnosis is essential to ensure an optimal outcome. We present a case series of three human <i>Rhodococcus equi</i> infections in HIV-infected patients with advanced immune suppression, treated at the University Hospital of Antwerp, Belgium.</p>","PeriodicalId":9608,"journal":{"name":"Case Reports in Infectious Diseases","volume":"2024 ","pages":"5570186"},"PeriodicalIF":0.8000,"publicationDate":"2024-11-07","publicationTypes":"Journal Article","fieldsOfStudy":null,"isOpenAccess":false,"openAccessPdf":"https://www.ncbi.nlm.nih.gov/pmc/articles/PMC11563711/pdf/","citationCount":"0","resultStr":null,"platform":"Semanticscholar","paperid":null,"PeriodicalName":"Case Reports in Infectious Diseases","FirstCategoryId":"1085","ListUrlMain":"https://doi.org/10.1155/2024/5570186","RegionNum":0,"RegionCategory":null,"ArticlePicture":[],"TitleCN":null,"AbstractTextCN":null,"PMCID":null,"EPubDate":"2024/1/1 0:00:00","PubModel":"eCollection","JCR":"Q4","JCRName":"INFECTIOUS DISEASES","Score":null,"Total":0}
引用次数: 0

Abstract

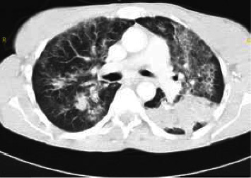
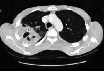
Rhodococcus equi is a rare human opportunistic pathogen that has been increasingly reported in recent decades. It mainly affects immunosuppressed patients, and in particular human immunodeficiency virus (HIV)-infected patients, where it typically presents as cavitary pneumonia. Early treatment with combined and effective antimicrobials and antiretroviral therapy after prompt diagnosis is essential to ensure an optimal outcome. We present a case series of three human Rhodococcus equi infections in HIV-infected patients with advanced immune suppression, treated at the University Hospital of Antwerp, Belgium.

Abstract Image

Abstract Image

Abstract Image

在艾滋病患者中引起空洞性肺炎的一种非同寻常的人类病原体--马尾红球菌(Rhodococcus equi)。
马尾红球菌是一种罕见的人类机会性病原体,近几十年来有关它的报道越来越多。它主要影响免疫抑制患者,尤其是人类免疫缺陷病毒(HIV)感染者,通常表现为空洞性肺炎。在得到及时诊断后,使用有效的抗菌药物和抗逆转录病毒疗法进行早期治疗对确保最佳治疗效果至关重要。我们介绍了比利时安特卫普大学医院收治的三例晚期免疫抑制艾滋病病毒感染者马尾罗杆菌感染的系列病例。
本文章由计算机程序翻译,如有差异,请以英文原文为准。
求助全文
约1分钟内获得全文 求助全文
来源期刊
自引率
0.00%
发文量
64
审稿时长
13 weeks
×
引用
GB/T 7714-2015
复制
MLA
复制
APA
复制
导出至
BibTeX EndNote RefMan NoteFirst NoteExpress
×
提示
您的信息不完整,为了账户安全,请先补充。
现在去补充
×
提示
您因"违规操作"
具体请查看互助需知
我知道了
×
提示
确定
请完成安全验证×
copy
已复制链接
快去分享给好友吧!
我知道了
右上角分享
点击右上角分享
0
联系我们:info@booksci.cn Book学术提供免费学术资源搜索服务,方便国内外学者检索中英文文献。致力于提供最便捷和优质的服务体验。 Copyright © 2023 布克学术 All rights reserved.
京ICP备2023020795号-1
ghs 京公网安备 11010802042870号
Book学术文献互助
Book学术文献互助群
群 号:604180095
Book学术官方微信